Serviços Personalizados
Journal
Artigo
Indicadores
-
Citado por SciELO -
Acessos
Links relacionados
-
Similares em
SciELO
Compartilhar
Revista Portuguesa de Ortopedia e Traumatologia
versão impressa ISSN 1646-2122
Rev. Port. Ortop. Traum. vol.21 no.2 Lisboa jun. 2013
ARTIGO ORIGINAL
Protese da rótula. Estudo comparativo em artroplastias do joelho
Manuel SilvaI, II; Pedro RodriguesI, II; Artur AntunesI, II; Eurico MonteiroI, II; Nuno NevesI, II; Paulo OliveiraI, II
I. Faculdade de Medicina da Universidade do Porto. Porto. Portugal.
II. Hospital de São João. Porto. Portugal.
RESUMO
A controvérsia em relação à substituição da rótula na realização da Artroplastia Total do Joelho (ATJ), continua uma questão sem consenso na comunidade ortopédica.
O objectivo deste trabalho é avaliar os benefícios da substituição da rótula na ATJ em termos clínicos, imagiológicos e de complicações.
Trata-se de um estudo retrospectivo de pacientes sujeitos a artroplastia total do joelho entre 2003 e 2008, divididos em 2 grupos: Grupo A com substituição da rótula e Grupo B sem substituição da rótula. Para cada grupo de doentes foi calculado o Knee Society Score (KSS S) e Knee Society Score Function (KSS F) no pré operatório e no final do follow up, dor anterior do joelho e ao subir escadas no final do tempo de follow up, utilizando a Escala Analógica da Dor (VAS), e existência de reintervenções. Imagiologicamente, todos os doentes foram sujeitos a RX e TAC.
Foram avaliados 46 doentes, 11 homens e 33 mulheres, com uma idade média de 66 anos (53-79) e um follow up médio de 39 meses.
No pós operatório os indivíduos do Grupo A apresentavam KSS S 85,73 e os do Grupo B 74,65 (p=0,008). O KSS F foi 82,39 e 65,87 (p=0,006), respectivamente no Grupo A e B.
Em relação à dor anterior do joelho apresentavam VAS de 2,30 no Grupo A e 4,04 Grupo B (p=0,006) e em relação à dor ao descer escadas VAS de 3,2 no Grupo A e 5,0 no Grupo B (p=0,051).
Radiologicamente não se verificaram diferenças quanto ao eixo anatómico no pós operatório. O Indice de Insall-Salvatti foi semelhante em ambos os grupo, bem como o TKARESS. Não foi documentado nenhum caso de revisão cirúrgica por infecção. No grupo B 2 doentes foram reintervencionados para realinhamento do aparelho extensor e 5 reintervencionados para substituição da rótula. Nenhum doente do Grupo A foi revisto até à data do estudo.
Apesar de os números serem limitados e o tempo de follow up ainda escasso, estes dados vêm de encontro àquilo que é a prática clínica habitual, nomeadamente em relação a queixas persistentes de dor anterior nos doentes sujeitos a artroplastia total do joelho, resistentes ao tratamento, motivando muitas vezes reintervenção para substituição do componente rotuliano.
Atendendo aos resultados, entendemos que a substituição do componente rotuliano é recomendada e deve ser utilizada na generalidade das substituições articulares do joelho.
Palavras chave: Artroplastia do joelho, substituição da rótula, dor anterior joelho.
ABSTRACT
Controversy regarding patellar substitution in total knee arthroplasty (TKA) remains a question without consensus in the orthopedic community. The purpose of this work was to evaluate the clinical and imagiological benefits of patellar substitution in TKA, as well as the presence of complications.
The authors present a retrospective work of patients who underwent TKA between 2003 and 2008, divided in two groups: Group A with patellar substitution and Group B without.
For each group was calculated the Knee Society Score (KSS) preop and postop, anterior knee pain e pain climbing stairs using VAS scale, and the presence of reintervention. All the patients were studied with x-ray and CT 46 patients, 11 men and 33 women, with a mean age of 66 years (53-79) and a mean follow up of 39 months.
In the postop patients in group A presented KSS S 85,73 and group B 74,65(p=0,008). KSS F was 82,39 and 65,87 (p=0,006) respectively in groups A and B.
Regarding anterior knee pain patients in group A presented VAS 2,30 and patients in group B 4,04 (p=0,006), in pain climbing stairs the results were 3,2 and 5,0 respectively in groups A and B (p=0,051). Radiologically there were no differences between the groups.
Two patients were reoperated for patellar realignment and 5 for patellar substitution in group B, there were no reoperations in group A.
Despite these are limited numbers in terms of sample size and follow up time, these data are supportive of patellar substitution in patients who undergo TKA, specially in those with persistent anterior knee pain.
Taking these results in consideration, we recommend the performance of patellar substitution in patients who undergo TKA
Key words: Knee arthroplasty, patellar substitution, anterior knee pain.
INTRODUÇÃO
A controvérsia em relação à substituição da rótula na realização da Artroplastia Total do Joelho (ATJ), continua uma questão sem consenso na comunidade ortopédica [1]. Quando as primeiras próteses de joelho foram concebidas, a articulação femuro-patelar não foi levada em conta como uma causa importante de dor do joelho e de eventual falhanço da própria substituição articular, mesmo quando esta era realizada adequadamente.
A dor anterior do joelho é actualmente uma causa reconhecida de dor desta articulação após ATJ[2, 3], mas a atitude dos cirurgiões em relação a substituir esta parte da articulação tem variado[4].
O entusiasmo inicial pela substituição da rótula foi refreado por altas de taxas de complicações associadas ao componente, nomeadamente fractura da rótula, desgaste do componente, descolamento asséptico e problemas relacionados com o aparelho extensor[5, 6]. A melhoria das condições técnicas para o resurfacing e fixação deste componente levaram a uma redução marcada destas complicações[7-11] e a um novo entusiasmo em relação à resolução do problema da dor anterior do joelho após ATJ, apesar de ainda não existirem estudos prospectivos suficientemente robustos e taxativos no sentido de se proceder, ou não à substituição da rótula.
Actualmente a decisão de realizar ou não esta substituição é dependente da opção do cirurgião e da sua experiência pessoal, com alguns autores a considerarem que é um procedimento desnecessário sem benefício clínico para o doente[11, 12] e outros a referirem que é uma técnica que melhora os scores funcionais dos doentes, com diminuição da dor anterior e taxas de complicações mínimas[13, 14].
O objectivo deste trabalho é avaliar os benefícios da substituição da rótula na ATJ em termos clínicos, imagiológicos e de complicações.
MATERIAL E MÉTODOS
Estudo retrospectivo de pacientes sujeitos a artroplastia total do joelho entre 2003 e 2008, divididos em 2 grupos: Grupo A com substituição da rótula e Grupo B sem substituição da rótula, emparelhados para o sexo, idade, lateralidade da substituição articular, desvio axial do membro inferior, avaliação radiológica pré operatória e tempo de seguimento.
Para cada grupo de doentes foi calculado o Knee Society Score (KSS S) e Knee Society Score Function (KSS F) no pré operatório e no final do follow up, dor anterior do joelho e ao subir escadas no final do tempo de follow up, utilizando a Escala Analógica da Dor (VAS), e existência de reintervenções. Imagiologicamente, todos os doentes foram sujeitos a RX (Face, Perfil e Merchant da Rótula) e TAC, tendo sido calculado o Tilt Patelar, Indíce de Insall-Salvatti e o TKARESS (The Knee Society Total Knee Arthroplasty Roentgenographic Evaluation and Scoring System).
Todos doentes foram operados usando a via de abordagem parapatelar medial, utilizando próteses cimentadas (PFC Sygma e Advance – Wright) e sujeitos a protocolos de reabilitação semelhantes com carga parcial apoiada por canadianas nas primeiras 4 semanas, seguido de carga total. Não foram avaliadas diferenças de resultados em função das próteses utilizadas.
A avaliação estatística foi realizada com o SPSS [v.16.1].
RESULTADOS
Foram avaliados 46 doentes, 11 homens e 33 mulheres, com uma idade média de 66 anos (53-79) e um follow up médio de 39 meses.
O grupo A (23 pacientes) era constituído por 6 homens e 17 mulheres, com uma idade média de 66 anos (51-79) e um tempo médio de follow up de 39,8 meses (18-60 meses). 14 doentes foram intervencionados ao joelho direito e 9 ao joelho esquerdo. O grupo B (23 doentes) era constituído por 5 homens e 18 mulheres, com uma idade média de 67 anos (57-78) e um tempo médio de follow up de 38,3 meses (18-60 meses). 11 doentes foram intervencionados ao joelho direito e 12 ao joelho esquerdo. A análise estatística não revelou diferenças significativas entre as amostras nestes parâmetros (p>0,05).
De igual modo não se verificaram diferenças significativas (p>0,05) no pré operatório entre os grupos no que diz respeito à avaliação clínica (grupo A: KSS S 37,04 e KSS F 29,48; Grupo B: KSS S 41,69 e KSS F 34,95) ou radiográfica (Grupo A: eixo anatómico de 5,63º de valgo e Grupo B 3,9º de valgo).
A avaliação global do resultado funcional revelou uma melhoria significativa dos doentes com a cirurgia de substituição total do joelho independentemente de se proceder ou não à substituição da rótula: KSS S pré operatório 38,87 e pós operatório 80,93 (p<0,001) e KSS F pré operatório 32,72 e pós operatório 76,63 (p<0,001).
No pós operatório os indivíduos do Grupo A apresentavam KSS S 85,73 e os do Grupo B 74,65 (p=0,008). O KSS F foi 82,39 e 65,87 (p=0,006), respectivamente no Grupo A e B.
Em relação à dor anterior do joelho apresentavam VAS de 2,30 no Grupo A e 4,04 Grupo B (p=0,006) e em relação à dor ao descer escadas VAS de 3,2 no Grupo A e 5,0 no Grupo B (p=0,051).
Radiologicamente não se verificaram diferenças quanto ao eixo anatómico no pós operatório: 4,93º e 4,45º, respectivamente no Grupo A e B (p>0,05). O Indice de Insall-Salvatti foi semelhante em ambos os grupo (1,1), bem como o TKARESS (<4). Os doentes do Grupo A apresentavam um Tilt da rótula de 4º e os do Grupo B de 2º (p<0,05).
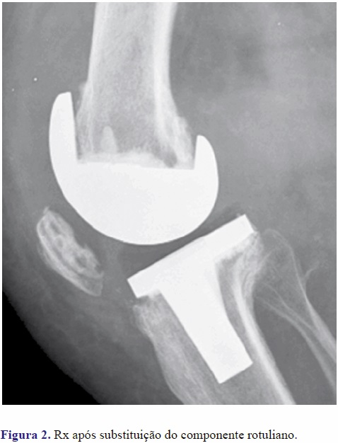
Não foi documentado nenhum caso de revisão cirúrgica por infecção. No grupo B 2 doentes foram reintervencionados para realinhamento do aparelho extensor e 5 reintervencionados para substituição da rótula (Figuras 1 e 2). Nenhum doente do Grupo A foi revisto até à data do estudo.


DISCUSSÃO
A literatura de referência mantém-se controversa em relação aos efeitos da substituição da rótula na artroplastia total do joelho. Vários estudos em que esta substituição é feita de forma randomizada não mostram efeitos superiores na realização do resurfacing da rótula [15-17], enquanto outros estudos mostram percentagens aumentadas de dor anterior do joelho nos doentes em que a substituição da rótula não é realizada [18-20]. Os estudos prospectivos e randomizados constituem o gold standard para a avaliação adequada de métodos clínicos. Os estudos deste tipo disponíveis sobre o tema, não só são escassos como contraditórios nos resultados apresentados. Schroeder-Boersch et al [21] num estudo com 40 doentes e 2 anos de follow up demonstraram que o resurfacing está associado a melhores resultados em termos funcionais do joelho. Feller et al [22], num estudo de 40 doentes referem que embora o resurfacing não esteja associado a maiores taxas de complicações, também não está associado a nenhum benefício objectivo para os doentes a ele submetidos. Newman et al [23], num estudo de 125 doentes com seguimento mínimo de 5 anos, verificaram apenas um caso de complicação associado ao implante, e afirmaram que o resurfacing deve ser realizado de forma sistemática em todos os doentes, não podendo ser realizado apenas na avaliação subjectiva que os cirurgiões fazem baseados em RX pré operatório ou em achados intra-operatórios.
No presente estudo retrospectivo, verifica-se que os doentes melhoram significativamente e de uma forma global com a realização da artroplastia do joelho, independentemente da utilização do componente patelar.
Apesar de a substituição da rótula não constituir uma forma absoluta de eliminação de queixas de dor anterior do joelho, quando comparamos os resultados funcionais dos doentes sujeitos a artroplastia do joelho com substituição do componente rotuliano em relação aos que não a fazem, os doentes sujeitos ao resurfacing apresentam significativamente melhores resultados funcionais. Em relação à dor anterior do joelho e à dor ao descer escadas verifica-se uma diferença estatisticamente significativa apenas quanto ao primeiro parâmetro, favorável à substituição da rótula (p=0,006). Apesar de não se obter significância estatística na avaliação ao descer escadas (p=0,051), observa-se uma tendência positiva para uma melhoria com a realização da substituição da rótula. Estes resultados são semelhantes aos apresentados por Barrack et al, em que num estudo prospectivo verificam que os doentes sujeitos a resurfacing apresentam melhores resultados funcionais e em termos de dor anterior do joelho do que os indivíduos em que tal não é realizado[19].
Um dos principais argumentos dos estudos que defendem a não utilização deste tipo de implantes está relacionado com as complicações sérias classicamente a eles associadas, nomeadamente fracturas, subluxação, desgaste e descolamento do componente. A atenção aos aspectos técnicos relacionados com a substituição da rótula, e melhoria no design e tipo de fixação do implante reduziram significativamente as taxas de complicações do resurfacing da rótula. Estas complicações eram maiores nos casos de rótulas metal-backed, tendo diminuído drasticamente com a introdução dos componentes em polietileno. Também muitos dos doentes nos quais são avaliadas estas complicações são doentes com patologias inflamatórias crónicas de base, nomeadamente artrite reumatóide, o que também constitui um viés de avaliação da quantificação das complicações. Estudos recentes demonstram não existir um risco acrescido significativo associado à realização da substituição da rótula[24-29]. Também na série apresentada verifica-se que não existiram taxas de complicações ou revisões aumentadas associadas à colocação do implante. Pelo contrário, as revisões existentes verificaram-se no grupo não sujeito a resurfacing e associadas a mau alinhamento do aparelho extensor, e dor anterior refractária ao tratamento, o que é sugestivo de mais uma vantagem da substituição. A duração média de follow up foi de 39 meses, o que pode constituir um viés de avaliação, dado que a maior partes do problemas associados a descolamento asséptico e desgaste do componente podem aumentar com o tempo e aparecer somente após períodos longos de follow up.
A definição de quais são os doentes com risco acrescido para desenvolvimento de dor anterior do joelho após artroplastia, seria uma vantagem inequívoca na aplicação de uma forma selectiva do resurfacing. Desta forma poderíamos potenciar os bons resultados da substituição da rótula e minimizar os riscos associados à colocação deste implante. Uma das formas possíveis estaria relacionada com o peso e índice de massa corporal dos doentes. O facto de este critério não ter sido avaliado neste estudo constitui também uma limitação na avaliação dos resultados.
Os resultados obtidos neste estudo podem também ser específicos dos tipos de próteses utilizados, e diferentes resultados podem ser descritos quando são utilizados outros implantes.
Apesar de os números serem limitados e o tempo de follow up ainda escasso, estes dados vêm de encontro àquilo que é a prática clínica habitual, nomeadamente em relação a queixas persistentes de dor anterior nos doentes sujeitos a artroplastia total do joelho, resistentes ao tratamento, motivando muitas vezes reintervenção para substituição do componente rotuliano. De outra forma, aquelas que são as limitações clássicas associadas aos componentes de substituiç&atild e;o rotuliana têm vindo a diminuir baseados na melhoria dos componentes disponíveis, melhores técnicas de implantação e fixação e melhoria técnica dos cirurgiões ao realizarem este acto.
Atendendo aos resultados, entendemos que a substituição do componente rotuliano é recomendada e deve ser utilizada na generalidade das substituições articulares do joelho.
REFERÊNCIAS BIBLIOGRÁFICAS
1. Wood DJ, Smith AJ, Collopy D, White B, Brankov B, Bulsara MK. Patellar resurfacing in total knee arthroplasty: a prospective, randomized trial. J Bone Joint Surg Am. 2002; 84: 187-193 [ Links ]
2. Boyd AD Jr, Ewald FC, Thomas WH, Poss R, Sledge CB. Long-term complications after total knee arthroplasty with or without resurfacing of the patella. J Bone Joint Surg Am. 1993; 75: 674-681 [ Links ]
3. Li PL, Zamora J, Bentley G. The results at ten years of the Insall-Burstein II total knee replacement. Clinical, radiological and survivorship studies. J Bone Joint Surg Br. 1999; 81: 647-653 [ Links ]
4. Phillips AM, Goddard NJ, Tomlinson JE. Current techniques in total knee re- placement: results of a national survey. Ann R Coll Surg Engl. 1996; 78: 515-520 [ Links ]
5. Healy WL, Wasilewski SA, Takei R, Oberlander M. Patellofemoral complications following total knee arthroplasty. Correlation with implant design and patient risk factors. J Arthroplasty. 1995; 10: 197-201 [ Links ]
6. Dennis DA. Patellofemoral complications in total knee arthroplasty: a literature review. Am J Knee Surg. 1992; 5: 156-166 [ Links ]
7. Healy WL, Wasilewski SA, Takei R, Oberlander M. Patellofemoral complications following total knee arthroplasty. Correlation with implant design and patient risk factors. J Arthroplasty. 1995; 10: 197-201 [ Links ]
8. Dennis DA. Patellofemoral complications in total knee arthroplasty: a literature review. Am J Knee Surg. 1992; 5: 156-166 [ Links ]
9. Abraham W, Buchanan JR, Daubert H, Greer RB 3rd, Keefer J. Should the patella be resurfaced in total knee arthroplasty? Efficacy of patellar resurfacing. Clin Orthop. 1988; 236: 128-134 [ Links ]
10. Feller JA, Bartlett RJ, Lang DM. Patellar resurfacing versus retention in total knee arthroplasty. J Bone Joint Surg Br. 1996; 78: 226-228 [ Links ]
11. Rand JA. Patellar resurfacing in total knee arthroplasty. Clin Orthop. 1990; 260: 110-117 [ Links ]
12. Barrack RL, Wolfe MW, Waldman DA, Milicic M, Bertot AJ, Myers L. Resurfacing of the patella in total knee arthroplasty. A prospective, randomized, double-blind study. J Bone Joint Surg Am. 1997; 79: 1121-1131 [ Links ]
13. Benjamin JB, Szivek JA, Hammond AS, Kubchandhani Z, Matthews AI Jr, Anderson P. Contact areas and pressures between native patellas and prosthetic femoral components. J Arthroplasty. 1998; 13: 693-698 [ Links ]
14. Matsuda S, Ishinishi T, Whiteside LA. Contact stresses with an unresurfaced patella in total knee arthroplasty: the effect of femoral component design. Orthopedics. 2000; 23: 213 [ Links ]
15. Feller JA, Bartlett RJ, Lang DM. Patellar resurfacing versus retention in total knee arthroplasty. J Bone Joint Surg Br. 1996; 78: 226-228 [ Links ]
16. Braakman M, Verburg AD, Bronsema G, van Leeuwen WM, Eeftinck MP. The outcome of three methods of patellar resurfacing in total knee arthroplasty. Int Orthop. 1995; 19: 7-11 [ Links ]
17. Keblish PA, Varma AK, Greenwald AS. Patellar resurfacing or retention in to- tal knee arthroplasty. A prospective study of patients with bilateral replace- ments. J Bone Joint Surg Br. 1994; 76: 930-937 [ Links ]
18. Partio E, Wirta J. Comparison of patellar resurfacing and nonresurfacing in total knee arthroplasty: a prospective randomized study. J Orthop Rheuma- tol. 1995; 8: 69-74 [ Links ]
19. Barrack RL, Wolfe MW, Waldman DA, Milicic M, Bertot AJ, Myers L. Resur- facing of the patella in total knee arthroplasty. A prospective, randomized, double-blind study. J Bone Joint Surg Am. 1997; 79: 1121-1131 [ Links ]
20. Kajino A, Yoshino S, Kameyama S, Kohda M, Nagashima S. Comparison of the results of bilateral total knee arthroplasty with and without patellar re- placement for rheumatoid arthritis. A follow-up note. J Bone Joint Surg Am. 1997; 79: 570-574 [ Links ]
21. Schroeder-Boersch H, Scheller G, Fischer J, Jani L. Advantages of patellar re- surfacing in total knee arthroplasty. Two-year results of a prospective random- ized study. Arch Orthop Trauma Surg. 1998; 117: 73-78 [ Links ]
22. Feller JA, Bartlett RJ, Lang DM. Patellar resurfacing versus retention in total knee arthroplasty. J Bone Joint Surg Br. 1996; 78: 226-228 [ Links ]
23. Newman JH, Ackroyd CE, Shah NA, Karachalios T. Should the patella be re- surfaced during total knee replacement?. Knee. 2000; 7: 17-23 [ Links ]
24. Phillips AM, Goddard NJ, Tomlinson JE. Current techniques in total knee re- placement: results of a national survey. Ann R Coll Surg Engl. 1996; 78: 515-520 [ Links ]
25. Rand JA. The patellofemoral joint in total knee arthroplasty. J Bone Joint Surg Am. 1994; 76: 612-620 [ Links ]
26. Grace JN, Sim FH. Fracture of the patella after total knee arthroplasty. Clin Orthop. 1988; 230: 168-175 [ Links ]
27. Malkani AL, Rand JA, Bryan RS, Wallrichs SL. Total knee arthroplasty with the kinematic condylar prosthesis. A ten-year follow-up study. J Bone Joint Surg Am. 1995; 77: 423-431 [ Links ]
28. Wright J, Ewald FC, Walker PS, Thomas WH, Poss R, Sledge CB. Total knee arthroplasty with the kinematic prosthesis. Results after five to nine years: a follow-up note. J Bone Joint Surg Am. 1990; 72: 1003-1009 [ Links ]
29. Kim BS, Reitman RD. Selective patellar nonresurfacing in total knee arthroplasty. 10 year results. Clin Orthop. 1999; 367: 81-88 [ Links ]
Conflito de interesse:
Nada a declarar.
Manuel Ribeiro da Silva
Rua Domingos Machado, 148, 2º Esq.
4250-090 Porto
Portugal
manuelrisilva@gmail.com
Data de Submissão: 2012-11-11
Data de Revisão: 2012-05-02
Data de Aceitação: 2013-06-03













