Introduction
Acute lymphoblastic leukemia (ALL) is the most common cause of malignancy in pediatric age, with a peak incidence between two and six years of age and a higher prevalence in males. The most common manifestations are constitutional symptoms such as fever and lymph node enlargement, organomegaly, cytopenia (anemia, leukopenia, thrombocytopenia), and/or hyperleukocytosis. Musculoskeletal manifestations have an estimated prevalence of 11.6-50%.1,2
With the exception of musculoskeletal tumors, ALL is one of the pediatric malignancies most commonly associated with musculoskeletal symptoms at initial presentation.2 Musculoskeletal involvement is more common in patients with B-cell precursor ALL, who have a better overall prognosis.2 The five-year survival rate of children with ALL is over 90%.3,4
Musculoskeletal complaints are mainly asymmetric oligoarthritis affecting the large joints of the limbs with nocturnal pain with or without with fever.5 The differential diagnosis includes several rheumatologic and orthopedic conditions, including juvenile idiopathic arthritis (JIA), osteomyelitis, and reactive and septic arthritis. As a result, 11-17% of children with ALL are initially referred to Orthopedics for diagnostic clarification, and a high index of clinical suspicion is required to avoid diagnostic delay.6
The authors report two clinical cases of children with osteoarticular pain and fever who were initially diagnosed with presumed osteoarticular infection, but whose clinical evolution led to the diagnosis of lymphoproliferative disease.
Clinical cases
Case 1
A three-year-old girl presented to the Emergency Department (ED) with a 24-hour history of right foot pain with night awakening, refusal to walk, and fever. There was no history of previous trauma, and her personal and family histories were unremarkable.
On clinical examination, the girl had claudication of the right lower limb without limitation of motion of the hips, knees, or ankles and without other signs of osteoarticular inflammation. Analytical evaluation revealed normal blood count (leukocytes 6,300/uL, neutrophils 1,900/uL, monocytes 280/uL), elevated lactate dehydrogenase (LDH; 399 U/L [normal 192-321 U/L]), C-reactive protein (CRP) 128 mg/L, and negative blood culture for aerobic bacteria. Hip ultrasound showed a small right joint effusion. The girl was hospitalized with suspected septic arthritis and started on intravenous antibiotic (flucloxacillin).
Due to persistence of complaints, a osteoarticular scintigraphy with Tc99m was performed on day 2 of hospitalization (Figure 1), which showed diffuse uptake of the radiopharmaceutical in the right tibiotarsal joint and in the bones of the right foot. At that time, fever persisted and there was a pattern of migratory pain in the lower limbs that woke the girl from sleep and led to a total refusal to walk.
On day 6 of hospitalization, after consultation with Rheumatology, blood analysis was performed and showed neutropenia (820/uL) and elevated LDH (665U/L), erythrocyte sedimentation rate (ESR; 38mm/1sth), and CRP (293 mg/L). Peripheral blood smear showed lymphocyte atypia with approximately 5% of mononuclear cells with increased size and nucleoli. Peripheral blood immunophenotyping revealed the presence of B-lymphoid blast cells (<2%). Bone marrow aspirate confirmed the diagnosis of acute lymphoblastic leukemia with 90% bone marrow infiltration by precursor B-cell lymphoblasts with hyperdiploidy. The girl started chemotherapy according to the ALLTogether1 protocol and is in complete remission two years after diagnosis.
Case 2
A five-year-old girl presented with functional limitation of the left upper limb due to elbow pain with one week of evolution. No previous trauma, fever, or constitutional symptoms were reported, except for nasopharyngitis two weeks before. There was no relevant personal or family history. The girl had been seen three times in the ED and was discharged with a diagnosis of painful pronation. Despite repeated maneuvers to reduce pronation and anti-inflammatory therapy, the evolution was unfavorable.
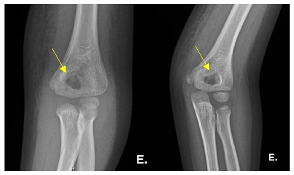
On admission, she presented in an antalgic position with semi-flexed left elbow with marked edema and slight thermal asymmetry without local flushing. Blood analysis revealed mild anemia (hemoglobin 10.3 g/dL) and neutropenia (neutrophils 1010/uL) and elevated inflammatory parameters (ESR 55 mm/1sth; CRP 46.8 mg/L). Ultrasound of the left elbow showed a joint effusion, radiography showed a periosteal reaction in the left distal humerus (Figure 2), and Tc99m scintigraphy showed an osteoblastic lesion centered on the distal end of the left humerus (Figure 3). The diagnosis of septic arthritis/osteomyelitis was established. Arthrocentesis and arthrotomy were performed with extensive washing of the elbow, and intravenous antibiotic therapy with flucloxacillin was started. Synovial fluid cytology showed 85% polymorphonuclear leukocytes. There was improvement, with resolution of symptoms and no limitation of elbow mobility. Blood and synovial fluid cultures were negative, inflammatory parameters improved, and anemia resolved. The girl was discharged asymptomatic after 11 days of oral antibiotic therapy (amoxicillin) and was referred for outpatient Orthopedic and Hematology consultations due to worsening neutropenia (min 350/uL neutrophils). Constitutional neutropenia or post-infectious neutropenia was hypothesized, but the study revealed a normal peripheral blood smear, normal peripheral blood immunophenotyping with no circulating immature cells or abnormal lymphocyte subsets, normal % fetal haemoglobin (HbF), normal serum immunoglobulins, no detectable direct anti-neutrophil antibodies (IgG/IgM) on flow cytometry, and a normal next-generation sequencing (NGS) panel for congenital neutropenia genes.

Figure 3 Osteoarticular scintigraphy with Tc99m showing a lesion at the distal end of the left humerus.
One week later, the girl was re-evaluated in the ED for recurrence of symptoms (pain and functional limitation in the left elbow). Laboratory study revealed persistent neutropenia (leukocytes 3,400/uL; neutrophils 720/uL), and ultrasonography showed persistent joint effusion in the left elbow. Magnetic resonance imaging was performed and suggested osteomyelitis of the distal humerus with endomedullary abscess collection, cortical rupture, and extension into the joint cavity (Figure 4). A new course of parenteral antibiotics (flucloxacillin) was started and subsequently escalated to piperacillin-tazobactam. Two doses of granulocyte colony-stimulating factor (G-CSF) were administered for severe neutropenia, with very poor tolerability (severe bone pain) and no documented response. A bone biopsy of the left distal humerus was performed and was consistent with chronic osteomyelitis without identification of microorganisms. Bone marrow analysis was performed with bilateral bone marrow biopsy described as normal with no maturation abnormalities or neoplasm/foreign cell infiltration. However, the simultaneous bone marrow aspirate revealed the presence of 15% abnormal immature lymphoid cells and approximately 70% lymphoblastic cells on the contralateral side. Because of persistent severe neutropenia and new symptoms (contralateral upper limb pain with edema and functional limitation), a repeat bone marrow biopsy and aspirate was performed two weeks after the first. The diagnosis of B-cell acute lymphoblastic leukemia was clearly established by immunophenotyping of the small sample obtained by aspiration (dry tap). It was also evident from the massive infiltration of B-lymphoblasts in the bone marrow trephine fragment, which showed only residual normal hematopoiesis and increased reticullin infiltration. Leukemia treatment was initiated through the ALLTogether1 protocol. Two years after diagnosis, the girl is in complete remission on anti-leukemic therapy.
Discussion
In children, musculoskeletal complaints as a manifestation of malignant disease may result from bone infiltration by neoplastic cells, bone or periarticular hemorrhage, bone infarction, paraneoplastic syndromes, among others.
Children with ALL who present with osteoarticular involvement may have few clinical signs and little evidence of the disease in laboratory parameters, potentially leading to diagnostic delays two times more frquently than in children without osteoarticular involvement.8,9
The two cases described illustrate how initial clinical conditions can complicate and delay diagnosis. In both cases, the initial diagnosis was septic arthritis, and in Case 1, the initial blood count was normal. The evoked diagnosis was JIA in the first case and chronic osteomyelitis and arthritis in the second. Similar cases have been described in the literature, showing that 2-3.6% of children may be initially diagnosed with reactive arthritis, 15% with osteomyelitis, and 6.4% with JIA.5,10 Marwaha et al. reported that 42.8% of children misdiagnosed with JIA had nocturnal pain.5 Both patients considered here presented with nocturnal pain, so this should be a warning sign to guide the workup and exclude oncologic diseases.
Bone involvement in ALL can be translated radiologically into osteolytic lesions, metaphyseal bands, decreased bone density, osteosclerosis, pathologic fractures, and periosteal reactions.11,16 These and other changes may occur in 41-75% of children with ALL.10,12,13) Brix et al. reported changes in 61% of children who underwent osteoarticular scintigraphy, although it has limited diagnostic value in these situations.14 The alterations on scintigraphy were also confounding factors in both cases presented.
The most characteristic hematologic and laboratory manifestations of ALL are usually a consequence of bone marrow failure and include anemia, leukopenia, thrombocytopenia, and/or translators of leukemic clone expansion (leukocytosis). However, in children whose ALL initially presents with musculoskeletal symptoms, these findings may be less frequent or even absent at initial presentation. In fact, in the first case, hematologic abnormalities were detected as the clinical situation worsened, although there was a small increase in LDH in the initial analytical evaluation. In the second case, the insidious and progressive worsening of neutropenia (Table 1) led to a reevaluation of the bone marrow, as initial investigations (including peripheral blood immunophenotype) were not consistent with a hematologic cancer diagnosis.
The presence of cytopenia and concomitant elevation of inflammatory parameters (CRP, procalcitonin, ESR) and LDH in patients with osteoarticular complaints should be a red flag for the diagnosis of hematologic cancer.8 The megakaryocytic proliferative response is hampered by an infiltrative bone marrow process, which justifies the absence of thrombocytosis that occurs in parallel with the increase in inflammatory markers present in osteoarticular inflammatory diseases. The discrepancy between ESR and platelet count should be another sign of an infiltrative rather than inflammatory process.15
Oncologic diseases such as leukemia are occult diseases whose individual signs and symptoms may be present in multiple pediatric entities. Time and a high index of clinical suspicion are essential, even in the presence of minimally altered or even normal laboratory values.
Table 1 Analytical evolution of Case 2
| First hospitalization | Second hospitalization | |||||
| D1 | D5 | Discharge | D1 | D15 | D22 | |
| Hb (g/dl) | 10.3 | 11.8 | 11.5 | 10.8 | 10.7 | 8.6 |
| Leukocytes (uL) | 4.1 | 3.7 | 2.5 | 3.4 | 2.9 | 3.0 |
| Neutrophils (uL) | 1.0 | 0.6 | 0.35 | 0.72 | 0.09 | 0.80 |
| Lymphocytes (uL) | 2.7 | 2.7 | 2.0 | 2.41 | 2.54 | 1.93 |
| Platelets (uL) | 345 | 396 | 346 | 195 | 250 | 163 |
| CRP (mg/l) | 46.8 | 3.6 | 2.4 | 8.4 | 92.3 | 20.3 |
| ESR (mm/h) | 55 | 41 | 36 | 35 | 62 | 77 |
| Notes | Treatment with G-CSF | Diagnosis of ALL | ||||
ALL: acute lymphoblastic leukemia; D: day; ED: Emergency Department; Hb: hemoglobin; CRP: C-reactive protein; ESR: erythrocyte sedimentation rate; G-CSF: granulocyte colony-stimulating factor
Conclusion
A high proportion of children with ALL present with joint involvement, and the risk of an initial rheumatologic or infectious misdiagnosis is significant. The two cases presented illustrate the diagnostic challenge that arises when less typical features are present that should be considered for an assertive and early diagnosis. A high index of clinical suspicion is essential in the evaluation of these patients, even in the presence of normal blood count at presentation.
Authorship
Catarina Cordeiro - Conceptualization; Data Curation; Investigation; Methodology; Wrintig - original draft
Catarina Teixeira - Conceptualization; Data Curation; Investigation; Methodology; Wrintig - original draft
Mónica Jerónimo - Visualization; Validation
Sónia Silva: Visualization; Validation; Writing - review & editing
Joana Azevedo - Conceptualization; Supervision; Visualization; Validation; Writing - review & editing
João Nascimento - Conceptualization; Supervision; Visualization; Validation; Writing - review & editing
Marcos Carvalho - Visualization; Validation; Writing - review & editing
Oliana Tarquini - Visualization; Validation
Cristina Alves - Conceptualization; Supervision; Visualization; Validation; Writing - review & editing
Manuel Brito - Supervision; Visualization; Validation; Writing - review & editing

















