Serviços Personalizados
Journal
Artigo
Indicadores
-
Citado por SciELO -
Acessos
Links relacionados
-
Similares em
SciELO
Compartilhar
Arquivos de Medicina
versão On-line ISSN 2183-2447
Arq Med v.23 n.3 Porto jun. 2009
Tratamento dos Cordomas Sacrais
Experiência do INCA
Eduardo Linhares*, Murilo de Almeida Luz†, Alexandre Moreira Valente‡, Leonaldson dos Santos Castro*, José Humberto Simões Corrêa*
Serviços de *Cirurgia Abdômino-Pélvica,†Cirurgia Oncológica, Instituto Nacional do Câncer (INCA), Brasil; ‡Clínica de Proctologia, Hospital Naval Marcílio Dias (HNMD), Brasil
Introdução: O cordoma é um tumor maligno da coluna vertebral que se origina nos remanescentes ectópicos de tecido notocordial, apresentando baixa prevalência na população em geral. Tem crescimento lento, mas comportamento local agressivo. Novas técnicas empregando cirurgias mais agressivas melhoraram significativamente a expectativa de vida dos pacientes portadores de cordoma. Pacientes e Métodos: Foram revisados os casos de tumor primário de sacro matriculados no Instituto Nacional do Câncer/Brasil, no período de 01/1998 a 04/2008, selecionando-se para análise retrospectiva somente aqueles com diagnóstico histopatológico de cordoma (15 doentes). Relatamos aspectos patológicos, cirúrgicos e a sobrevida. Resultados: Os tumores mediram em média 155 mm (70-300) e 08 pacientes tiveram apenas caracterização diagnóstica por biópsia. Nos casos ressecados, houve 01 de ressecção S3/S4 e 06 S1/S2. Excluído 01 óbito pós-operatório, a sobrevida variou de 5 – 60 meses (mediana 41). A qualidade de vida após ressecção analisada por performance status mostrou que, excluído o óbito por doença, 02 pacientes apresentavam PS=1; 02 PS=2 e 01 PS=3. Conclusão: Em busca do tratamento oncológico ideal para cordomas de sacro, a abordagem multidisciplinar é fundamental para obtenção de cirurgia R0, sempre, porém, julgando custo efetividade, principalmente no que se refere à qualidade de vida. Em nossa opinião, a ressecção cirúrgica ainda permanece como a melhor forma terapêutica.
Palavras-chave: cordoma; tratamento; cirurgia.
Treatment of Sacral Chordomas
Introduction: Chordomas are malignant tumors of the spine with origin in the embryonic rests of notochord. Their biological behavior is that of a slow growing tumor but locally aggressive. Extended resections improved significantly the disease free survival in patients with chordoma but may compromise the quality of life permanently. Patients and Method: We performed a retrospective analysis of our experience at the Instituto Nacional do Cancer-Brasil during the period from Jan 1998 to Apr 2008 with sacral chordomas. There were 15 patients for study. We reported pathological and surgical aspects of the cohort with an analysis of survival and performance status (PS). Results: The tumors had a median size of 155 mm (70-300 mm) and 08 patients had only biopsy for diagnosis. In the resected group, there was 01 case of resection at S3/S4 level. All others underwent S1/S2 resections. Excluding 01 case of post-operative death, the overall survival varied from 5 - 60 months (median= 41). The study of PS after surgery showed 02 patients with PS=I; 02 with PS=II and 01 with PS=III. Conclusion: In our opinion surgical resection remains the best therapeutic option. The ideal oncological surgery includes performing a R0 surgery but with good quality of life afterwards. For this goal, we strongly advise a multidisciplinary team.
Key-words: chordoma; therapeutics; surgery.
INTRODUÇÃO
O cordoma é um raro tumor ósseo que se origina no sacro, base do crânio e coluna vertebral. Apresenta dupla diferenciação mesenquimal e epitelial. Cerca de 50% se localiza na região sacral e constitui a neoplasia primária mais comum dessa região (1,2). É cerca de duas vezes mais freqüente no sexo masculino e ocorre predominantemente na 5ª - 7ª décadas de vida, apresentando crescimento lento com baixo potencial de causar metástases à distância. Sua evolução desfavorável decorre do seu comportamento local agressivo e da sua proximidade a tecidos nervosos e ao arcabouço ósseo da pélvis, o que dificulta a obtenção de margens de ressecção livres (3,4,5). Também as cirurgias alargadas nesta topografia podem estar associadas a sequelas pós-operatórias que interferem na qualidade de vida e devem ser ponderadas previamente com o paciente (6-9). Neste artigo, revisamos nossa experiência com ênfase nos resultados oncológicos.
PACIENTES E MÉTODOS
Analisamos, retrospectivamente, todos os casos atendidos no Serviço de Cirurgia Abdômino-Pélvica, no Hospital do Câncer I, do Instituto Nacional de Câncer -INCA, no período compreendido entre Janeiro 1998 a Abril de 2008, nos quais o quadro clínico e o diagnóstico histológico eram sugestivos de cordomas, somando 36 pacientes. Foram excluídos pacientes sem confirmação histológica, cordomas de cabeça e pescoço ou do tronco (tórax, abdômen e coluna vertebralexceto sacro), tumores benignos, além de dúvidas diagnósticas. Avaliamos os casos segundo os aspectos epidemiológicos de cada paciente, características de apresentação da doença, tratamento instituído, bem como sua resposta terapêutica e evolução/prognóstico. O seguimento foi completo.
Foram observados padrões de recidiva e sobrevida global. A avaliação pré-operatória de imagem incluiu tomografia computadorizada e/ou ressonância nuclear magnética (RNM) da pélvis. As cirurgias foram classificadas conforme relato cirúrgico e histopatológico em R0 = ausência de doença residual, R1 = doença residual microscópica (limites positivos) e R2 = doença residual macroscópica. Os casos de biópsia exclusiva foram considerados cirurgia R2, ou seja, permaneceu doença residual macroscópica. Quanto ao tipo de cirurgia, dividimos em: apenas biopsia para definição histológica, sacrectomias de S3/S4 e sacrectomias de S1/S2. Definimos sobrevida global como intervalo de tempo entre a cirurgia ou a consulta deliberativa para os não operados e o óbito ou último controle. O óbito pós-operatório foi considerado morte em até 30 dias. A avaliação de qualidade de vida pós-operatória realizada através da estratificação do performance status (PS) : 0 = completamente ativo e sem restrições; I = ativo com restrição a trabalho extenuante; II = capaz de auto cuidar-se e deambulando mais que 50% do tempo; III = limitação para auto cuidar-se e limitado à cama ou cadeira mais de 50% do tempo; IV = completamente incapaz.
RESULTADOS
Após revisão dos prontuários, foram excluídos 21 doentes e alocados para a presente análise 15 com cordomas de topografia sacral histopatologicamente documentados. Nove doentes (60%) eram do sexo masculino e a idade variou 26 a 85, com mediana de 58 anos. Os principais sintomas foram dor (60%) e tumoração em região sacral. A tomografia computadorizada e a RNM (Figuras 1 e 2) foram diagnósticas em todos os casos.

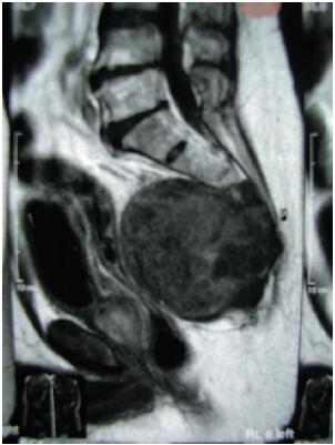
Fig. 1 - RNM de paciente do sexo masculino, no plano sagital mediano, utilizando sequência ponderada em T1. Processo expansivo centrado em S3-S4 com crescimento anterior, bem delimitado, determinando compressão e desvio ventral do reto.

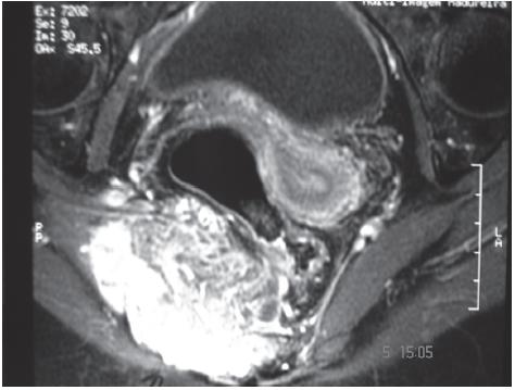
Fig. 2 - RNM de paciente do sexo feminino no plano axial utilizando sequência ponderada em T1 com supressão de gordura, após a injeção venosa de meio de contraste. Processo expansivo parassagital direito centrado em S1-S2, com extensão anterior para a pelve e fossa obturadora, de limites mal definidos, determinando desvio anterior e compressão do reto, intensamente impregnado pelo meio de contraste.
O tamanho em milímetros da lesão primária medido pelo exame de imagem variou de 70 a 300, com mediana de 155 mm. Dois pacientes foram submetidos à tentativa prévia de ressecção em outra instituição e em ambos realizamos resgate cirúrgico. O tipo de cirurgia realizada foi biópsia para caracterização do diagnóstico em 8 pacientes (55,5%), sacrectomia de S3/4 em 1 e de S1/2 em 6 casos (Tabela 1).
Tabela 1 -Cirurgia realizada (N=15).

Quanto à radicalidade, tivemos um caso de doença residual macroscópica (R2) e 02 de limites positivos (R1), todos com sacrectomias no nível S1/S2. Tivemos 01 óbito pós-operatório no grupo ressecado (S3/S4) por sepse tipo blood stream infection. Em um caso, realizamos sacrectomia S1/S2 associada à ressecção do reto em monobloco, devido à invasão tumoral deste órgão. Na Tabela 2 discriminamos a sobrevida dos casos de cirurgia de ressecção (N=6) em função da radicalidade, estado atual do paciente e complicações, excluído o caso de óbito pós-operatório.
Tabela 2 - Análise dos casos de Cirurgia de Ressecção (N=6).

Os casos submetidos somente à biópsia (n=8) deveu-se àqueles julgados tecnicamente irressecáveis, quer devido ao volume tumorale/ou à condição clínica precária (n=7), e à recusa à cirurgia (n=1). Dois evoluíram para óbito em 03 meses e os demais se encontram vivos com doença e mediana de sobrevida de 13 meses (6-120). Excluidos os 2 obitos por progressão de doença , todos pacientes vivos têm PS de IV associada a impossibilidade de deambulação. O paciente que recusou cirurgia era portador inicialmente de lesão pequena e representa a sobrevida longa neste grupo (120 meses).
A radioterapia externa (média de 60Gy) foi utilizada isoladamente ou em associação à cirurgia em 09 pacientes (60%), sendo em 3 de forma exclusiva, 1 neoadjuvante e 5 adjuvante. Quimioterapia não foi utilizada.
Atualmente, dos pacientes ressecados (N=6) 05 estão vivos e mostram PS= I em 02 casos; PS=II em 02 casos e PS=III em 01 caso. Conforme tabela 2 , 01 paciente teve disseminação da doença inclusive com metástase cutânea e foi a óbito.As principais sequelas observadas neste grupo foram retenção urinária grave por bexiga neurogênica (4); incontinência fecal com necessidade de colostomia definitiva (1); e deficit motor em membros inferiores (3).
DISCUSSÃO
O cordoma é uma lesão maligna que se origina nos remanescentes notocordiais e, por isso, localiza-se quase sempre no esqueleto axial (1-3). Pelo fato de todos os outros tumores malignos ósseos serem considerados sarcomas, o cordoma também é classificado desta forma (10). Aparece freqüentemente nas extremidades cefálica e caudal da coluna vertebral (11). No INCA, ocorreu número de casos semelhante com acometimento cranial (cabeça e pescoço), mas estes são objeto de outra análise. O tempo médio entre o início dos sintomas e o diagnóstico variou de 4 a 24 meses. O sintoma mais comumente produzido pelo cordoma é a dor secundária à destruição óssea e/ou compressão nervosa ou órgãos adjacentes (3-4-5). Tal sintoma foi visto com freqüência em nossos casos, e deve-se ao crescimento indolente da lesão com compressão de estruturas vizinhas e poucos sintomas sistêmicos. O crescimento lento destes tumores condicionado às barreiras anatômicas locais (fáscias e periósteo), pode justificar sua sintomatologia inicialmente pouco expressiva. Isto também leva ao raro diagnóstico precoce de tumores com dimensões menores que 5 cm em nosso meio. Apesar de serem facilmente tocados através do exame retal, não aparecem em exames clínicos de rotina, pois crescem anteriormente para dentro da pélvis. Na verdade, considerando o tamanho médio dos nossos casos fica patente o perfil de doença avançada tratada em nosso hospital. No diagnóstico, os cordomas sacrais apresentam-se como massas abaulando anteriormente a parede do reto, sem, no entanto, infiltrá-lo. Na investigação destes tumores, torna-se essencial a determinação do nível de invasão tumoral e, neste sentido, alguns trabalhos têm mostrado a superioridade da RNM em relação à tomografia. Utilizamos ambos os métodos e não observamos grande vantagem de um exame sobre o outro, havendo excelente determinação da extensão tumoral por ambos. Deve ser ressaltado que as imagens de RNM têm melhor resolução para detecção de infiltração do canal medular e da musculatura glútea (3,11). Não utilizamos a biópsia transretal, já proscrita, visto que este procedimento viola as barreiras anatômicas e favorece o implante retal de células neoplásicas 9. Nossa preferência é por biópsia por via posterior, com agulha ou mesmo incisional quando o tumor extravaza o sacro e atinge a região glútea.
Muito se discutiu sobre os critérios de ressecabilidade destas lesões, já que praticamente todas as estruturas da pelve podem ser removidas preservando a vida, mas com grande impacto na qualidade de vida. A discussão de uma ressecção subótima com menores sequelas versus excisão agressiva com aumento das morbidades funcionais motora, urinária e sexual ainda permanece. Indiscutivelmente, a literatura mostra que o principal fator relacionado à recidiva local são margens livres (11,12), pendendo em nossa opinião para uma cirurgia radical respeitados os desejos do paciente. Outro aspecto a considerar-se em favor da ressecção completa da lesão é o fato que a recidiva tumoral vem acompanhada da sintomatologia mais agressiva do que a decorrente da denervação sacral intra-operatória (3). Contudo, mesmo com o tratamento radical e eventual radioterapia adjuvante, a taxa de recidiva local ainda permanece alta, alcançando até 70% (13).
Experiências como a de Gennari et al. (14) mostraram a factibilidade da ressecção com o acesso posterior exclusivo, em uma série de 8 casos. Na escolha da via de acesso, a abordagem abdominossacral tem se mostrado segura e de melhor exposição da lesão (7-15). Nós preferimos o duplo acesso, iniciando por abordagem abdominal que nos permite realizar o controle vascular, liberação retal e dos ureteres distais, além da marcação do ponto de transsecção proximal do sacro (Figura 3).

Fig. 3 - Aspecto posterior da marcação de osteotomia sacral proximal, com hastes metálicas, colocadas durante tempo abdominal, para facilitar a exata transsecção sacral durante o tempo posterior.
Depois, pela via posterior, com o abdome fechado, realizamos a secção muscular, sacral e retirada da peça. Reservamos o acesso único posterior para lesões que exijam limite proximal de osteotomia sacral abaixo de S3, dado o risco de lesões vasculares e urinárias inadvertidas acima deste nível de sacrectomia. A tentativa de preservação do reto, à custa de dissecção romba quando a massa pré-sacral encontra-se firmemente aderida ou invadindo-o, pode levar a ruptura da pseudocápsula e disseminação de células tumorais e, portanto, deve ser evitada. A sobrevida média das séries reportadas gira em torno de 50% em 10 anos (13)
Embora a mortalidade cirúrgica das séries históricas seja baixa (3), a morbidade é mais expressiva e geralmente conseqüente à disfunção urinária, sexual e intestinal, e como se pode constatar, tais complicações são mais prováveis quando se opta por cirurgia mais radical. A preservação do controle esfincteriano anal, da função urinária e sexual e da habilidade motora está diretamente relacionada com o nível de osteotomia proximal e ressecção nervosa. Acredita-se que a preservação de ao menos uma das raízes de S3 seja suficiente para manter a função vesical (16). Eles afirmaram que, se pelo menos um terço dos nervos sacrais permanecerem intactos, a seqüela será mínima. Osteotomia no nível de S1 promove incontinência anal, necessidade de cateterismo vesical intermitente e de suportes externos para deambulação. Cerca de 50% dos pacientes submetidos a ressecções no nível de S2 ou inferiores a ele, evoluem sem alterações motoras e são capazes de manter bom controle intestinal e urinário.
A radioterapia geralmente não é utilizada como tratamento isolado devido às grandes dimensões do tumor ao diagnóstico. Apesar disto, pode-se conseguir algum controle de doença local com o uso de radioterapia externa em pacientes sem condições clínicas para cirurgia ou que se recusem para tal. Pode também ser indicada após ressecções R1 e R2, visto que sua função é promover o controle local da neoplasia (13), mas não parece melhorar o prognóstico pós-operatório de cirurgias R03. A quimioterapia tem-se mostrado pouco eficaz no combate à recidiva tumoral sendo considerada ainda em fase de investigação (13).
O desenvolvimento médico representado pela mel-hora no diagnóstico por imagem e das técnicas cirúrgicas permitiram ressecções mais agressivas e conseqüente aumento da expectativa de vida dos pacientes portadores de cordoma. Na busca desse tratamento ideal, a abordagem multidisciplinar é essencial, porém uma perfeita conscientização e concordância do paciente é fundamental em função das prováveis sequelas pósoperatórias.
REFERÊNCIAS
1 -Boriani S, Bandiera S, Biagini R, et al. Chordoma of the Mobile Spine: Fifty years of Experience. Spine 2006;31:493-503.
[ Links ]2 -Mindell ER. Chordoma J Bone Joint Surg Am 1981;63:501-5.
3 -York JE, Kaczaraj A, Dima AS, et al. Sacral Chordoma: 40Year Experience at a Major Cancer Center Neurosurgery 1999;44:74-9.
4 -Hulen CA, Temple HT, Fox WP, Sama AA, Green BA, Eismont FJ. Oncologic and Functional Outcome Following Sacrectomy for Sacral Chordoma J Bone Joint Surg Am 2006;88:1532-9.
5 -Wuisman P, Lieshout O, Sugihara S, van Dijk M. Total Sacrectomy and Reconstruction: oncologic and funcional outcome. Clin Orthoped Relat Res 2000; 381:192-203.
6 -Anson KM, Byrne PO, Robertson ID, Gullan RW, Montgomery AC. Radical excision of sacrococcygeal tumours. Brit J Surg 1994;81:460-1.
7 -Sena KA, Queiroz FL, et al. Ressecção de Cordoma Sacral com Abaixamento de Cólon: Relato de Caso. Rev Bras Coloproct 2006;26:321-4.
8 -Huth JF, Dawson EG, Eilber FR. Abdominosacral Resection for Malignant Tumors of the Sacrum. Am J Surg 1984; 148:157-61.
9 -Samson IR, Springfield DS, Suit HD, Mankin HJ. Operative Treatment of SacrococcygealChordoma. J Bone Joint Surg Am 1993;75:1476-84.
10 -Enneking, WF. A System of Staging Musculoskeletal Neoplasm. Clin Orthoped Relat Res 1986;204:9-24.
11 -Fuchs B, Dickey ID, Yaszemski MJ, Inwards CY, Sim FH. Operative Management of Sacral Chordoma J Bone Joint Surg Am 2005;87:2211-6.
12 -Osaka S, Kodoh O, Sugita H, Osaka E, Yoshida Y, Ryu J. Clinical Significance of a wide excision policy for sacrococcygeal chordomas. J Cancer Res Clin Oncol 2006;132:213-8.
13 -Casali P, Stacchiotti S, Sangalli C, Olmi P, Gronchi A. Chordoma. Curr Opin Oncol 2007;19:367-70.
14 -Gennari L, Azzarelli A, Quagliuolo V. A Posterior Approach for the Excision of Sacral Chordoma. J Bone Joint Surg Am 1987;69:565-8.
15 -Simpson AHRW, Porter A, Davis A, Griffin A, McLeod RS, Bell RS. Cephalad Sacral Resection with a Combined Extended Ilioinguinal and Posterior Approach. J Bone joint Surg Am 1995;77:405-11.
16 -Todd LT Jr, Yaszemski MJ, Currier BL, Fuchs B, Kim CW, Sim FH. Bowel and Bladder Function After Major Sacral Resection. Clin Orthoped Relat Res 2002;397:36-9.
Correspondência:
Prof. Eduardo Linhares
Av. Alexandre Ferreira,190
Lagoa - Rio de Janeiro
RJ Brasil
CEP: 22470-220 Brasil
e-mail: eduardolinharesrm@gmail.com













