SciELO - Scientific Electronic Library Online

 
vol.32 número1Tumor Neuroectodérmico Primitivo Periférico do Recto: Caso Clínico e Correlação Anatomo-RadiológicaCintigrafia Óssea no Síndrome de McCune-Albright índice de autoresíndice de assuntosPesquisa de artigos
Home Pagelista alfabética de periódicos  

Serviços Personalizados

Journal

Artigo

Indicadores

Links relacionados

  • Não possue artigos similaresSimilares em SciELO

Compartilhar


Acta Radiológica Portuguesa

versão impressa ISSN 2183-1351

Acta Radiol Port vol.32 no.1 Lisboa abr. 2020  Epub 08-Jun-2021

https://doi.org/10.25748/arp.19430 

Casos Clínicos

Hemangioma Infantil: A Propósito de um Caso Clínico

Infantile Hemangioma: A Case Report

Lisa Agostinho1 

Catarina Brito1 

Pedro Vilela1 

1Departamento de Radiologia, Hospital Beatriz Ângelo, Loures, Portugal


Resumo

Os autores apresentam o caso clínico de um recém-nascido, admitido por tumefação pré-auricular associada a mancha cutânea com coloração vermelho vivo. As avaliações imagiológicas por ecografia de partes moles e ressonância magnética (RM) foram compatíveis com o diagnóstico de hemangioma infantil parotídeo. O hemangioma infantil é um tumor vascular benigno comum, representando a anomalia vascular mais frequentemente encontrada em idade pediátrica. O seu diagnóstico diferencial engloba outros tumores vasculares e malformações vasculares. Na maioria dos casos é recomendada observação expectante, sendo o tratamento farmacológico e/ou cirúrgico reservado para casos particulares.

Palavras-chave: Hemangioma/diagnóstico por imagem; Malformações vasculares; Neoplasias vasculares; Recém-nascido.

Abstract

The authors present a case report of a newborn, admitted for pre-auricular swelling associated with a bright red skin patch. The ultrasound and magnetic resonance imaging evaluations were compatible with the diagnosis of parotid gland infantile hemangioma. Infantile hemangioma is a common benign vascular tumor, representing the vascular anomaly most frequently found in pediatric age. Its differential diagnosis includes other vascular tumors and vascular malformations. In most cases, expectant observation is recommended, with pharmacological and / or surgical treatment reserved for particular cases.

Keywords: Hemangioma / diagnostic imaging; Vascular malformations; Vascular neoplasms; Newborn.

Introdução

O hemangioma infantil representa a “anomalia” vascular mais frequentemente encontrada na idade pediátrica.1-3 Não está habitualmente presente no nascimento, com aparecimento nas primeiras semanas/meses de vida.

A classificação da International Society for the Study of Vascular Anomalities (ISSVA), classifica o hemangioma infantil como tumor vascular,4 pela presença de proliferação celular endotelial. O diagnóstico é geralmente clínico e a imagem permite avaliar a extensão do tumor e relação com estruturas vizinhas, aspeto particularmente importante em localizações de maior risco de complicações.

Os autores descrevem um caso clínico de hemangioma infantil parotídeo num recém-nascido. É discutida a marcha diagnóstica e a relevância dos exames complementares, assim como a terapêutica e estratégia de seguimento.

Caso Clínico

Recém-nascida caucasiana, internada por tumefação pré- auricular direita, com aparecimento ao 22º dia de vida e aumento volumétrico progressivo.

Na observação, documentou-se alteração da coloração cutânea vermelho vivo, protuberante e compressível (Fig. 1), sem outras alterações no exame objetivo. A avaliação laboratorial sumária não mostrou alterações.

Para esclarecimento foi efetuada avaliação imagiológica por ecografia e RM do pescoço.

A ecografia de partes moles demonstrou a presença de massa heterogénea, bem delimitada, com contornos lobulados, correspondendo à glândula parótida com alteração da sua ecoestrutura e volume (Fig. 1), sem extensão ou invasão dos planos adjacentes passíveis de avaliação, intensamente vascularizada (Fig. 2), com vasos de grande calibre no seu interior quer arteriais quer venosos.

Figura 1: À esquerda, tumefação pré-auricular direita, com alteração cutânea vermelho vivo. À direita, imagem correspondente de ecografia mostrando massa heterogénea, bem delimitada, com contornos lobulados, na topografia de glândula parótida. 

Figura 2: Ecografia de partes moles com Doppler: massa intensamente vascularizada, com vasos de grande calibre no seu interior. 

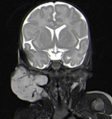
Na RM, identificou-se assimetria do volume das parótidas, por marcado aumento da direita, devido a lesão interessando os seus lobos superficial e profundo, de contornos regulares e limites bem definidos, com maior eixo de 48 mm (Figs. 3 e 4). A extensão da lesão ao lobo profundo da glândula parótida direita determinava desvio medial da gordura parafaríngea, sem repercussão sobre o contorno da coluna aérea faríngea. Apesar das características semiológicas por imagem da lesão parotídea direita não serem específicas, atendendo às características clínicas da alteração cutânea apresentada pela examinada na mesma região, considerou-se a hipótese diagnóstica mais provável de hemangioma infantil misto. Na apreciação sumária do parênquima encefálico conseguida não se identificaram aspetos malformativos, em particular da fossa posterior, nem aspetos suspeitos de hemangiomas intracranianos.

Figura 3: RM, corte coronal com ponderação em T2 FS: marcado aumento da parótida direita, devido a lesão interessando os seus lobos superficial e profundo, bem delimitada e de contornos regulares. 

Figura 4: RM, cortes axiais, com ponderações em T1, T2 e T2 FS: traduzida por sinal intermédio em T1 e hipersinal em T2 e T2 FS, sendo possível individualizar alguns sinais de vazio vascular no seu interior. Extensão da lesão ao lobo profundo da glândula parótida direita determinava desvio medial da gordura parafaríngea homolateral. 

O estudo foi complementado por ecografia abdominal, ecocardiograma e avaliação oftalmológica.

A ecografia abdominal não mostrou alterações.

O ecocardiograma mostrou nódulo com 5 mm aderente a corda da válvula mitral e nódulo na aurícula esquerda com 3 mm. A avaliação a curto prazo após terapêutica com propanolol mostrou resolução destas alterações, sugerindo tratarem-se de hemangiomas.

A avaliação oftalmológica não revelou alterações.

Foi efetuada terapêutica com propanolol 3 mg/kg/dia e prednisolona 4 mg/kg/dia, com diminuição do volume e da consistência da lesão, em reavaliação aos 4 meses de idade, confirmando o diagnóstico inicial. Na reavaliação aos 6 meses, objetivou-se regressão do componente cutâneo, contudo com aumento volumétrico do componente profundo, tendo sido efetuado ajuste terapêutico.

Discussão

A tumefação cervicofacial é um problema clínico comum na população pediátrica. Pode ter causas congénitas ou adquiridas, tais como infeção e tumores benignos ou malignos dos tecidos moles e/ou do osso.

A história clínica e exame objetivo são os fatores mais importantes no diagnóstico. Na presença de uma tumefação de aumento lento, como no caso apresentado, as hipóteses diagnósticas a considerar são a presença de uma massa, como o neurofibroma, uma malformação vascular ou linfática, um hemangioma ou uma doença óssea, como a displasia fibrosa.

A presença de uma lesão cutânea protuberante, compressível e com coloração vermelho vivo, descrita como “lesão em

morango”, coloca a hipótese diagnóstica de hemangioma infantil como a mais provável.

O hemangioma infantil constitui a “anomalia” vascular mais frequentemente encontrada na criança1,2,3 com predisposição pelo sexo feminino (relação 3:1). Apresenta um ciclo de vida característico: não está habitualmente presente no nascimento, com aparecimento nas primeiras semanas / meses de vida e posterior aumento volumétrico gradual (fase proliferativa) e involução nos anos seguintes (fase de involução), remanescendo como uma quantidade variável de tecido fibroadiposo.1,3,4 A localização intraparotídea não é frequente, mas é o tumor benigno mais comum das glândulas salivares em crianças.5

Em determinadas localizações, o hemangioma poderá ter o potencial de interferir com uma estrutura vital ou função, como é o caso das lesões da via aérea, peri-orbitárias, do fígado, do trato gastrointestinal ou lesões cutâneas volumosas e de crescimento rápido.6 Para além disso, nalgumas localizações, há um risco aumentado de ulceração, alterações cutâneas residuais e desfiguração, como é o caso dos hemangiomas volumosos, segmentares ou nodulares e dos localizados nos lábios, nariz ou pavilhão auricular.7

O hemangioma infantil pode fazer parte da síndroma PHACE,8 caracterizada por alterações da fossa posterior, hemangiomas da cabeça e pescoço, alterações arteriais, defeitos cardíacos ou coartação da aorta, alterações oculares ou endócrinas e malformações do esterno.

Na presença de uma lesão única com história clínica e exame objetivo típicos, os estudos complementares de diagnóstico, imagiológicos ou histológicos, não são necessários. Contudo, em casos específicos, nomeadamente pela sua topografia e/ou extensão e suspeita de síndrome de PHACE, os estudos de imagem poderão estar indicados para correta caracterização da extensão e relação com estruturas adjacentes. A imagem permite ainda classificar a lesão nos casos em que persiste a dúvida clínica.

A ecografia e a RM são as duas modalidades de imagem que permitem obter informação acerca do fluxo sanguíneo e características morfológicas, de modo a obter um diagnóstico diferencial para este tipo de alteração.9,10

A ecografia é o método imagiológico de primeira linha, embora apresente algumas limitações. Tem um alcance espacial limitado, não permitindo a avaliação de lesões com localização profunda. No estudo ecográfico, o hemangioma infantil tem habitualmente morfologia ovalada e ecoestrutura heterogénea. O Doppler espetral revela vasos com curva arterial de baixa resistência.3,11,12 Com o processo de involução, observa-se aumento da ecogenicidade da lesão, com diminuição da vascularização e aumento da resistência vascular.3

Hemangiomas extensos ou com complicações requerem avaliação por RM para caracterização e determinação da extensão.13,14 A tomografia computorizada tem um papel limitado. A sua principal vantagem assenta na rapidez de aquisição, útil em situações de urgência.15

Na RM, na fase proliferativa, o hemagioma infantil é uma lesão lobulada, bem definida, com hipersinal em T2 e vários artefactos de “vazio de sinal” internos. Tem realce precoce e homogéneo após contraste. Na fase de involução observa-se diminuição gradual do realce e aumento do componente fibroadiposo.16

Em relação ao diagnóstico diferencial deste tipo de lesões, a classificação da ISSVA, classifica as anomalias vasculares em dois grupos: tumores vasculares ou vasoproliferativos e malformações vasculares.4 Os tumores vasculares caracterizam-se pela presença de proliferação de células

endoteliais, sendo que as malformações vasculares são alterações estruturais vasculares do sistema arterial, venoso, linfático ou capilar, não associadas a proliferação de células endoteliais.

O hemangioma infantil, assim como o hemangioma congénito constituem ambos tumores vasculares. Distinguem-se pela respetiva presença ou ausência da proteína endothelial cell glicose transporter 1 (GLUT1).17,18,19

O hemangioma congénito tem um ciclo de vida distinto do hemangioma infantil. Desenvolve-se no período fetal e está totalmente desenvolvido no nascimento. Pode posteriormente sofrer rápida involução após o nascimento (hemangioma rapidamente involutivo) ou permanecer inalterado ao longo dos anos (hemangioma não involutivo).20 Os achados imagiológicos do hemangioma congénito são similares aos observados no hemangioma infantil.21

As malformações vasculares ocorrem com igual frequência em ambos os sexos e em 90% dos casos estão presentes no nascimento.22 Apresentam crescimento proporcional ao crescimento da criança. Não estão associadas a regressão espontânea, nem respondem ao tratamento com corticosteroides. Dividem-se em lesões de baixo fluxo, incluindo combinações variáveis de elementos linfáticos, capilares e venosos, e lesões de alto fluxo, que contêm componente arterial (shunts arterio-venosos). Caracterizam-se por um aglomerado de canais vasculares de morfologia alterada, sem estroma interposto.22

As malformações vasculares de alto fluxo apresentam fluxo arterial aumentado, à semelhança do hemangioma infantil. Contudo, algumas características permitem a sua distinção. Na ecografia, as malformações vasculares de alto fluxo apresentam-se como um agrupamento de vasos, sem tecido sólido interposto. Na avaliação Doppler apresentam fluxo arterial e venoso, mas existe arterialização das curvas de fluxo venoso. Em RM, caracterizam-se por artefactos de “vazio de sinal” serpiginosos, sem tecido sólido interposto, tanto em T1 como em T2, correspondendo a artérias dilatadas e displásicas que drenam para veias arterializadas.23,24

As malformações vasculares de baixo fluxo contêm vasos venosos, linfáticos ou ambos.21 Manifestam-se comumente antes dos 2 anos de idade e a sua localização mais frequente é a cabeça e pescoço.13 As malformações venosas, por vezes referidas como manchas “vinho do porto”, pela sua coloração ao exame objetivo, representam também um importante diagnóstico diferencial. Na ecografia, são lesões sólidas, hiperecogénicas, contendo flebólitos e fluxo venoso ou ausência de fluxo na avaliação Doppler. Em RM, têm sinal intermédio e heterogéneo em T1, hipersinal em T2 e áreas sólidas com captação de contraste.21 As malformações linfáticas distinguem-se por serem multiquísticas, com ou sem níveis liquido-liquido. Não apresentam fluxo vascular, exceto nos septos.21 As malformações venolinfáticas têm características combinadas.

Estabelecido o diagnóstico de hemangioma infantil, está recomendada na maioria dos casos observação expectante, uma vez que a maioria regride espontaneamente e não se associa a complicações. Nalguns casos ocorrem complicações locais, como ulceração, e sistémicas, como insuficiência cardíaca de alto débito e compromisso respiratório.25. Na presença de complicações ou risco de desfiguração, há indicação para terapêutica ativa, que passa pela administração de fármacos anti-angiogénicos como o propanolol e corticosteroides e, nalguns casos, terapêutica com laser, cirurgia e embolização.25

Considerações finais

O hemangioma infantil representa o tumor vascular mais frequente em idade pediátrica. A imagem complementa a avaliação clínica, permitindo clarificar o diagnóstico e avaliar a extensão do tumor e relação com estruturas vizinhas. Outros tumores vasculares e malformações vasculares são parte do diagnóstico diferencial. O correto diagnóstico permite o tratamento dirigido.

Referências

1. Blei F, Guarini A. Current workup and therapy of infantile hemangiomas. Clin Dermatol. 2014;32:459-70. [ Links ]

2. Liang MG, Frieden IJ. Infantile and congenital hemangiomas. Semin Pediatr Surg. 2014;23:162-7. [ Links ]

3. Restrepo R, Palani R, Cervantes LF, Duarte AM, Amjad I, Altman NR. Hemangiomas revisited: The useful, the unusual and the new. Part1. Overview and clinical and imaging characteristics. Pediatr Radiol. 2011;41:895-904. [ Links ]

4. Mulliken JB, Glowacki J. Hemangiomas and vascular malformations in infants and children: A classification based on endothelial characteristics. Plast Reconstr Surg. 1982;69:412-22. [ Links ]

5. Garcia CJ, Flores PA, Arce JD, Chuaqui B Schwartz DS. Ultrasonography in the study of salivary gland lesions in children. Pediatr Radiol . 1998;28:418-25. [ Links ]

6. Darrow DH, Greene AK, Mancini AJ, Nopper AJ. Section on dermatology, section on otolaryngology-head and neck surgery, and section on plastic surgery. Diagnosis and management of infantile hemangioma. Pediatrics. 2015;136:e1060-104. [ Links ]

7. Luu M, Frieden IJ. Haemangioma: Clinical course, complications and management. Br J Dermatol. 2013;169:20-30. [ Links ]

8. Frieden IJ, Reese V, Cohen D. PHACE syndrome: the association of posterior fossa brain malformations, hemangiomas, arterial anomalies, coarctation of the aorta and cardiac defects, and eye abnormalities. Arch Dermatol. 1996;132:307-11. [ Links ]

9. Lobo-Mueller E, Amaral JG, Babyn PS, Wang Q, John P. Complex combined vascular malformations and vascular malformation syndromes affecting the extremities in children. Semin Musculoskelet Radiol. 2009;13:255-76. [ Links ]

10. Dubois J, Alison M. Vascular anomalies: what a radiologist needs to know. Pediatr Radiol . 2010;40:895-905. [ Links ]

11. Restrepo R. Multimodality imaging of vascular anomalies. Pediatr Radiol . 2013;43:S141-54. [ Links ]

12. Kollipara R, Odhav A, Rentas KE, Rivard DC, Lowe LH, Dinneen L. Vascular anomalies in pediatric patients: updated classification, imaging, and therapy. Radiol Clin North Am. 2013;51:659-72. [ Links ]

13. Slovis T. Caffey’s pediatric diagnostic imaging.11th ed. Philadelphia, PA:Mosby Elsevier, 2008. [ Links ]

14. Rivard DC, Lowe LH. Radiological reasoning: multiple hepatic masses in an infant. Am J Roentgenol. 2008;190:S46-52. [ Links ]

15. Kollipara R, Dinneen L, Rentas KE, Saettele MR, Patel SA, Rivard DC, et al. Current classification and terminomogy of pediatric vascular anomalies. Am J Roentgenol . 2013;201:1124-35. [ Links ]

16. Merrow A, Gupta A, Patel MN, Adams DM. 2014 revised classification of vascular lesions from the international society for the study of vascular anomalies: radiologic-pathologic update. RadioGraphics. 2016;36:1494- 516. [ Links ]

17. Mulliken J, Enjolras O. Congenital hemangiomas and infantile hemangioma: missing links. J Am Acad Dermatol. 2004;50:875-82. [ Links ]

18. North PE, Waner M, Mizeracki A, Mihm MC Jr. GLUT1: a newly discovered immunohistochemical marker for juvenile hemangiomas. Hum Pathol. 2000;31:11-22. [ Links ]

19. Lo K, Mihm M, Fay A. Current theories on the pathogenesis of infantile hemangioma. Semin Ophthalmol. 2009;24:172-7. [ Links ]

20. Krol A, MacArthur CJ. Congenital hemangiomas: rapidly involuting and noninvoluting congenital hemangiomas. Arch Facial Plast Surg. 2005;7:307-11. [ Links ]

21. Lowe LH, Marchant TC, Rivard DC, Scherbel AJ. Vascular malformations: classification and terminology the radiologist needs to know. Semin Roentgenol. 2012;47:106-17. [ Links ]

22. Khanna G, Sato Y, Smith RJ, Bauman NM, Nerad J. Causes of facial swelling in pediatric patients: correlation of clinical and radiologic findings. Radiographics. 2006;26:157-71. [ Links ]

23. Legiehn GM, Heran MK. Classification, diagnosis, and interventional radiologic management of vascular malformations. Orthop Clin North Am. 2006;37:435-74. [ Links ]

24. Stapf C, Mohr JP, Pile-Spellman J, Solomon RA, Sacco RL, Connolly ES. Epidemiology and natural history of arteriovenous malformations. Neurosurg Focus. 2001;11:e1. [ Links ]

25. Léauté-Labrèze C, Dumas de la Roque E, Hubiche T, Boralevi F, Thambo JB, Taïeb A. Propranolol for severe hemangiomas of infancy. N Engl J Med. 2008;358:2649-51. [ Links ]

Divulgações Éticas

Suporte financeiro: O presente trabalho não foi suportado por nenhum subsídio ou bolsa.

4Protecção de pessoas e animais: Os autores declaram que os procedimentos seguidos estavam de acordo com os regulamentos estabelecidos pelos responsáveis da Comissão de Investigação Clínica e Ética e de acordo com a Declaração de Helsínquia da Associação Médica Mundial.

Recebido: 13 de Fevereiro de 2020; Aceito: 18 de Março de 2020

Correspondência Lisa Agostinho Departamento de Radiologia, Hospital Beatriz Ângelo, Av. Carlos Teixeira 3, 2674-514 Loures, Portugal e-mail:lisa.r.agostinho@gmail.com

Conflitos de interesse: Os autores declaram não possuir conflitos de interesse.

Confidencialidade dos dados: Os autores declaram ter seguido os protocolos do seu centro de trabalho acerca da publicação dos dados de doentes.

Creative Commons License Este é um artigo publicado em acesso aberto sob uma licença Creative Commons