Serviços Personalizados
Journal
Artigo
Indicadores
-
Citado por SciELO -
Acessos
Links relacionados
-
Similares em
SciELO
Compartilhar
Revista Portuguesa de Pneumologia
versão impressa ISSN 0873-2159
Rev Port Pneumol v.16 n.2 Lisboa abr. 2010
Enfisema subcutâneo maciço Tratamento com drenos subcutâneos
Maria Sucena1, Fernando Coelho2, Teresa Almeida3, António Gouveia4, Venceslau Hespanhol5
1 Assistente Hospitalar de Pneumologia
2 Interno do Internato Complementar de Pneumologia
3 Assistente Hospitalar de Cirurgia Geral*
4 Assistente Hospitalar Graduado de Cirurgia Geral*
5 Chefe de Serviço de Pneumologia, Director do Serviço de Pneumologia
Serviço de Pneumologia do Hospital de S. João EPE, Porto
Director: Prof. Dr. Venceslau Hespanhol
* Serviço de Cirurgia Geral do Hospital de S. João EPE, Porto
Director: Prof. Dr. Amadeu Pimenta
Resumo
O enfisema subcutâneo é uma complicação relativamente comum na sequência de técnicas invasivas, procedimentos cirúrgicos e algumas patologias médicas.
Na maior parte dos casos apenas causa sintomatologia minor e o tratamento é habitualmente conservador.
Mesmo quando grave, raramente tem consequências patofisiológicas significativas, apesar de ser extremamente desconfortável para o doente.
Os autores descrevem um caso clínico de enfisema subcutâneo maciço, de rápida instalação, após saída acidental de tubo de drenagem torácica, em doente com pneumotórax espontâneo secundário e fístula broncopleural. O enfisema foi tratado através da colocação, sob anestesia local, de dois drenos subcutâneos na parede anterossuperior do tórax, conectados a sacos de drenagem. Após a colocação dos drenos subcutâneos verificou-se uma franca melhoria clínica do doente, com descompressão eficaz do enfisema subcutâneo.
No presente caso clínico, a técnica de drenagem do enfisema maciço mostrou-se simples, segura e eficaz, permitindo o alívio sintomático imediato.
Palavras-chave: Enfisema subcutâneo, dreno subcutâneo, tratamento.
Massive subcutaneous emphysema Management using subcutaneous drains
Abstract
Massive subcutaneous emphysema is a relatively common complication in invasive techniques, surgical practice and some medical conditions. Subcutaneous emphysema is usually treated conservatively and may only cause minimal symptoms. Even when it is severe, subcutaneous emphysema rarely has pathophysiologic consequences, but it is extremely uncomfortable for the patient.
The authors report a case of massive and rapid developing subcutaneous emphysema following chest tube displacement in a patient with spontaneous secondary pneumothorax and large air leak. The emphysema was treated with two subcutaneous drains, inserted using local anesthesia, on both sides of the chest (antero-superior thoracic wall), connected to drainage bags. The drains produced a dramatic clinical improvement and provided effective decompression of the subcutaneous emphysema.
In this clinical case, the technique of drainage of severe subcutaneous emphysema using subcutaneous drains was safe, easy and effective, affording immediate symptom relief.
Key-words: Subcutaneous emphysema, subcutaneous drain, management.
Introdução
O enfisema subcutâneo é uma complicação relativamente comum na sequência de técnicas invasivas, procedimentos cirúrgicos e algumas patologias médicas.
Trata-se habitualmente de uma situação autolimitada1.
Mesmo quando grave, raramente tem consequências fisiopatológicas significativas, apesar de ser extremamente desconfortável para o doente2.
O enfisema subcutâneo é, habitualmente, tratado de forma conservadora, e na maior parte dos casos apenas causa sintomas mínimos. No entanto, pode ser uma complicação grave, causando obstrução respiratória ou circulatória3.
Várias técnicas têm sido utilizadas para tratar o enfisema subcutâneo, muitas das quais invasivas ou desconfortáveis para o doente e passíveis de causar ainda maior grau de enfisema.
Os autores descrevem um caso clínico de enfisema subcutâneo maciço e de rápida instalação, tratado com drenos subcutâneos conectados a sacos de drenagem. Após a colocação dos drenos, verificou-se uma franca melhoria clínica do doente, com descompressão eficaz do enfisema subcutâneo.
Caso clínico
Doente do sexo masculino, de 88 anos, reformado (ex-marceneiro), internado no serviço de pneumologia do HS João com o diagnóstico de pneumotórax espontâneo secundário à esquerda. Trata-se de um doente fumador (> 70 UMA), seguido em consulta de pneumologia por DPOC (estádio IV da classificação GOLD) de predomínio enfisematoso, medicado em ambulatório com broncodilatadores (formoterol e brometo de tiotrópio) e corticosteróides (budesonido), por via inalatória. Como outros antecedentes pessoais relevantes, de salientar diabetes mellitus tipo 2, HTA e hiperuricemia.
O doente recorreu ao SU do HS João por agravamento súbito da dispneia habitual (na admissão, apresentava dispneia em repouso e intolerância ao esforço) e toracalgia à esquerda, de características pleuríticas, com menos de 12 horas de evolução. A expectoração era mucosa esbranquiçada, sobreponível ao habitual. Ao exame físico apresentava-se polipneico e a saturação de O2 em ar era de 85%.
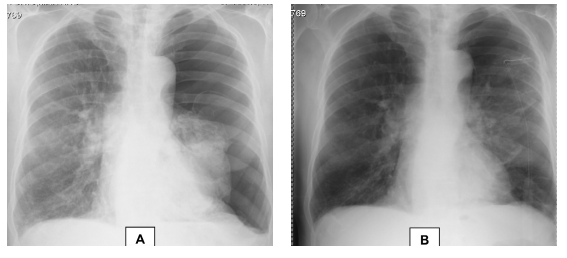
Na auscultação pulmonar verificava-se uma diminuição dos sons respiratórios no hemitórax esquerdo e sibilos de predomínio expiratório no hemitórax direito. A telerradiografia torácica (Fig. 1-A) confirmou a presença de pneumotórax à esquerda, tendo sido efectuada drenagem torácica (dreno de Joly n.º18, na linha medioclavicular à esquerda). Apesar do correcto posicionamento do dreno (funcionante e a borbulhar com os movimentos respiratórios), verificou-se uma expansão apenas parcial do pulmão esquerdo (Fig. 1-B).
Fig. 1 Telerradiografia torácica na admissão (A) e após colocação do dreno torácico (B)
O doente foi internado no serviço de Pneumologia, medicado com oxigenoterapia, corticoterapia sistémica e terapêutica broncodilatadora por via inalatória. Ao 3.º dia de internamento, por manter fístula broncopleural e câmara de pneumotórax apical à esquerda, o dreno torácico foi conectado a aspiração de baixa pressão ( - 20 cmH2O).
Ao 6.º dia de internamento ocorreu saída acidental do dreno torácico, com agravamento da dispneia e desenvolvimento de extenso enfisema subcutâneo. Como o doente mantinha câmara de pneumotórax apical à esquerda, foi colocado novo dreno torácico (Joly n.º 24) na linha medioclavicular esquerda, sendo conectado a aspiração de baixa pressão, mantendo-se sempre funcionante e a borbulhar abundantemente com os movimentos respiratórios.
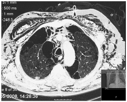
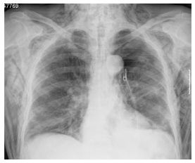
Ao 9.º dia de internamento verificouse novo agravamento clínico, com aumento da dispneia em repouso, dessaturação significativa e aumento marcado do enfisema subcutâneo. A telerradiografia torácica mostrou manutenção da câmara de pneumotórax apical à esquerda. Foi colocado novo dreno torácico (Joly n.º 18) no segundo espaço intercostal esquerdo, na linha axilar anterior (Fig. 2). Ambos os drenos ficaram funcionantes, a borbulhar com os movimentos respiratórios, tendo sido conectados a aspiração de baixa pressão. Por não melhoria clínica, com persistência de enfisema subcutâneo maciço (enfisema da face condicionando encerramento palpebral bilateral, do pescoço, do tórax e de ambos os membros superiores) e voz nasalada, foi efectuada TC torácica (Fig. 3), que mostrou enfisema subcutâneo extenso, pneumopericárdio e pneumomediastino, pneumotórax à esquerda de grau moderado, enfisema parasseptal e centrilobular difuso com bolhas apicais de grandes dimensões. Perante estes dados, foi solicitada a avaliação por Cirurgia Cardiotorácica que, dada a gravidade da DPOC, considerou que o doente não reunia as condições necessárias para ser submetido a tratamento cirúrgico.
Fig. 2 Telerradiografia torácica ao 9.º dia de internamento
Fig. 3 Corte de TC torácica
Apesar dos dois drenos torácicos se encontrarem funcionantes, não se verificou melhoria do enfisema subcutâneo.
Ao 21.º dia de internamento foi então decidido colocar dois drenos subcutâneos Joly n.º 12, em ambos os lados da parede torácica (Fig. 4). Após anestesia local, os drenos foram colocados em posição subcutânea, através de dissecção romba, tendo sido posicionados na região torácica anterior, sobre o 3.º espaço intercostal. Seguidamente, foram fixados à pele com seda 2/0 e adaptados sacos de drenagem. O ar foi recolhido nos sacos de drenagem, que tiveram de ser substituídos três vezes. Após a colocação dos drenos subcutâneos, verificou-se descompressão efectiva do enfisema subcutâneo, com resolução completa do mesmo em três dias. Os drenos foram retirados ao fim de cinco dias, após ter cessado a saída de ar para os sacos colectores (Fig. 5). Não se verificaram complicações associadas ao procedimento.
Fig. 4 Dreno subcutâneo (dreno de Joly n.º 12 conectado a saco de drenagem)
Fig. 5 Aparência do doente, previamente à colocação de drenos subcutâneos (A); após colocação dos drenos subcutâneos (B); após retirada dos drenos subcutâneos, sem evidência de enfisema (C e D)
A persistência de fístula broncopleural motivou a realização de broncoscopia rígida, na tentativa de encerramento da mesma com cola de fibrina, que não surtiu efeito (entubação com broncoscópio rígido 8.5mm; identificação de fistula através da introdução de balão Fogarty n.º 4 pelo broncofibroscópio; verificada redução do débito da fistula com a oclusão do segmento 8 da pirâmide basal esquerda; introdução de 2 ml de cola de fibrina (Tissucol®) através de um cateter de duplo lúmen nesse segmento, com ausência de fístula durante o período em que o doente esteve sob ventilação com jet; reaparecimento da fístula com a ventilação espontânea).
O encerramento da fístula broncopleural, com expansão pulmonar à esquerda na telerradiografia torácica, viria a ocorrer espontaneamente. Ambos os drenos torácicos foram retirados ao 54.º dia de internamento, após terem estado clampados durante 72h.
O doente teve alta, orientado para consulta externa de Pneumologia, sem evidência de enfisema subcutâneo, apresentando apenas ligeira dor no local de inserção dos drenos torácicos e dispneia para médios esforços.
Discussão
O enfisema subcutâneo é habitualmente uma situação autolimitada1.
A fuga de ar para o espaço extraalveolar pode provocar enfisema subcutâneo, pneumomediastino, pneumopericárdio, pneumotórax e enfisema pulmonar intersticial.
As consequências clínicas dependem da velocidade de acumulação e da quantidade de ar no órgão envolvido4.
O pneumomediastino e o enfisema subcutâneo têm relativamente poucas consequências, excepto nas raras situações envolvendo compressão das vias aéreas superiores ou grandes vasos4.
O envolvimento da hipofaringe, suficiente para causar obstrução da via aérea, é raro5,6,7.
O mecanismo de formação do enfisema intersticial pulmonar, pneumomediastino e enfisema subcutâneo, foi estudado experimentalmente. Em estudos com vários tipos de doenças e em modelos animais, foi demonstrado que o ar extraalveolar, proveniente da ruptura de alvéolos, penetra no tecido conjuntivo laxo que rodeia a vasculatura pulmonar e progride ao longo das bainhas perivasculares até atingir o mediastino.
Posteriormente, o ar passa do mediastino para o tecido laxo subcutâneo, causando enfisema subcutâneo2. O ar progride ao longo das vias de menor resistência8.
A ruptura de bolhas de enfisema pode provocar enfisema do mediastino, que se acompanha habitualmente de pneumotórax9.
Como causas médicas comuns de enfisema mediastínico e subcutâneo salientamos: manobra de Valsalva, tosse violenta, vómitos, asma agudizada e pneumonia associada a infecções víricas10.
Vários casos têm sido relatados na sequência de traqueostomias percutâneas8, artroscopias, cirurgia cardiotorácica e ventilação mecânica invasiva.
No caso clínico apresentado, a saída acidental do primeiro dreno torácico terá possibilitado a deslocação do ar da cavidade pleural para o tecido subcutâneo, através do local de inserção do dreno. O gradiente de pressão existente entre os alvéolos e o tecido subcutâneo, resultante do air-trapping alveolar secundário à DPOC, poderá igualmente justificar o desenvolvimento do enfisema subcutâneo maciço apresentado pelo doente.
O enfisema subcutâneo, mesmo quando severo, é habitualmente apenas um problema estético2.
A disfagia, a disfonia, a compressão dos grandes vasos do pescoço com compromisso do retorno venoso e as alterações visuais provocadas por tumefacção periorbital são complicações que podem estar associadas ao desenvolvimento de enfisema subcutâneo11.
As complicações mais graves têm sido raramente descritas. Elas incluem insuficiência respiratória4,12, disfunção de pacemaker13,14, compromisso da via aérea e fenómenos de tensão.
As consequências do enfisema subcutâneo dependem do local envolvido:
Hipofaringe: compressão das vias aéreas superiores causando obstrução aguda5,6,7. Pode ocorrer compressão venosa jugular, com consequente redução do output cardíaco (diminuição do retorno venoso) e aumento da pressão intracraniana15,16.
Parede torácica: envolvimento da parede torácica levando à restrição da ventilação4,12,15,17. Pode ocorrer disfunção de pacemaker13,14.
Mediastino: diminuição do output cardíaco por compressão do coração e grandes vasos11,15.
Na grande maioria dos doentes o enfisema subcutâneo resolve espontaneamente ao fim de alguns dias1,8. A oxigenoterapia em alto débito acelera a resolução facilitando a reabsorção do nitrogénio dos tecidos distendidos e do pneumomediastino7,18.
Têm sido utilizadas várias técnicas para tratar o enfisema subcutâneo, muitas das quais invasivas ou desconfortáveis e passíveis de agravar o enfisema. Incluem a colocação de drenos torácicos adicionais, quer intrapleurais quer subcutâneos19, incisões infraclaviculares20 e traqueostomia21.
Quando o doente apresenta enfisema subcutâneo maciço e de rápida evolução, pode ser necessário o recurso a entubação ou traqueostomia, para manutenção da patência da via aérea21,22.
Comparado com a traqueostomia ou entubação, a drenagem subcutânea é um procedimento mais simples, menos invasivo e menos desconfortável3.
As incisões cutâneas infraclaviculares têm sido usadas para tratamento do enfisema subcutâneo. Esta técnica consiste na realização de várias pequenas incisões na pele do tórax com dissecção do tecido subcutâneo.
No entanto, a incisão pode fechar num estádio precoce, quando a pressão subcutânea resolveu parcialmente, deixando algum enfisema subcutâneo residual3,20.
A inserção subcutânea de um cateter endovenoso com fenestrações tem sido muito utilizada como forma de microdrenagem do enfisema subcutâneo2,23. No entanto, dado o pequeno calibre do cateter, ele pode obstruir com sangue, sendo necessária a sua substituição3. A colocação do cateter também pode não ser suficiente para alívio sintomático, sendo necessário efectuar massagem compressiva para direccionar o ar, permitindo a sua saída através do cateter23.
O uso de tubos semirrígidos de maior calibre ou tubo tipo toracostomia também já foi descrito24,25.
Matsushita et al descreve a colocação, sob anestesia local, de drenos de silicone de Penrose, com múltiplas perfurações, a nível da linha medioclavicular, no terceiro espaço intercostal, em ambos os lados do tórax. O tecido celular subcutâneo é dissecado até ao nível da fascia peitoral. Os drenos são fixados à pele com suturas e conectados a sacos de colostomia3. Estes drenos são menos desconfortáveis e menos dolorosos quando comparados com os tubos semirrígidos. São também mais eficazes em termos de drenagem do ar, quando comparados com os cateteres endovenosos, não apenas pelo seu maior calibre, mas também porque a dissecção do tecido subcutâneo previamente à sua inserção facilita a drenagem do ar. A conexão dos drenos a sacos de colostomia permite objectivar a quantidade de ar removida, podendo o doente continuar a movimentar-se3.
A técnica de drenagem subcutânea utilizada no presente caso clínico mostrou-se de fácil execução, não dolorosa e confortável para o doente, tendo-se verificado descompressão rápida do enfisema subcutâneo com desaparecimento da disfonia e abertura progressiva dos olhos, o que condicionou uma franca melhoria física e psíquica do doente. A conexão dos drenos subcutâneos a sacos de drenagem permitiu objectivar a quantidade de ar removida.
Conclusão
Tal como já previamente descrito, o enfisema subcutâneo maciço pode ser tratado através da inserção de drenos subcutâneos conectados a sacos de drenagem.
Recomendamos esta técnica como forma de resolução segura, simples, rápida e eficaz de uma complicação que, apesar de raramente grave, é desconfortável e desfigurante para o doente.
Bibliografia
1. Williams DJ, Jaggar SI, et al. Upper airway obstruction as a result of massive subcutaneous emphysema following accidental removal of an intercostals drain. British Journal of Anaesthesia 2005; 94(3):390-392.
2. Beck P, Heitman S. Mody C. Simple construction of a subcutaneos catheter for treatment of severe subcutâneos emphysema. Chest 2002; 121:647-649.
3. Matsushita T, Huynh AT, Singh T, et al. Management of life-threatening subcutaneous emphysema using subcutaneous penrose drains and colostomy bags. Heart Lung and Circulation 2007; 16:469-471
4. Eveloff SE, Donat WE, Aisenberg R, et al. Pneumatic chest wall compression: a cause of respiratory failure from massive subcutaneous emphysema. Chest 1991; 99:1021-1023
5. Peatfield R, Edwards P, et al. Two unexpected deaths from pneumothorax. Lancet 1979;17:356-358
6. Gibney R, Finnegan B, et al. Upper airway obstruction caused by massive subcutaneous emphysema. Intensive Care Med 1984; 10:43-44
7. Caraballo V, Barish R, et al. Pneumomediastinum presenting as acute airway obstruction. J Emergency Med 1996;14:159-163
8. Fikkers BG, Veen JA, et al. Emphysema and pneumothorax after percutaneous tracheostomy case reports and an anatomic study. Chest 2004; 125:1805-1814
9. Gomes MJ, Sotto-Mayor R. Tratado de Pneumologia. 1.ª edição. Editora Permanyer. 2003.
10. Ichikawa Y, Tokunaga N, et al. Subcutaneous and mediastinal emphysema associated with hypersensitivity pneumonitis. Chest 1991; 99:759-761
11. Beg MH, Reyazuddin, Ansari MM. Traumatic tension pneumomediastinum mimicking cardiac tamponade. Thorax 1988; 43:576-577 [ Links ]
12. Conetta R, Barman AA, Iakovou C, et al. Acute ventilatory failure from massive subcutaneous emphysema. Chest 1993; 104:978-980
13. Giroud D, Goy JJ. Pacemaker malfunction due to subcutaneous emphysema. Int J Cardiol 1990; 26:234-236
14. Santomauro M, Ferraro S, Maddalena G, et al. Pacemaker malfunction due to subcutaneous emphysema: a case report. Angiology 1992; 43:873-876
15. Tonnesen A, Wagner W, et al. Tension subcutaneous emphysema. Anestheology 1985; 62:90-92
16. Coelho J, Tonnensen A, et al. Intracranial hypertension secondary to tension subcutaneous emphysema. Crit Care Med 1985; 13:512-513
17. Kelly M, McGuigan J, et al. Relief of tension subcutaneous emphysema using a large bore subcutaneous drain. Anasthesia 1995; 50:1077-1079
18. Oneill T, Johnson M, et al. Ventilation with one hundred percent oxygen for life threatening mediastinal and subcutaneous emphysema. Chest 1979; 76:492
19. Terada Y, Matsunobe S, Nemoto T, et al. Palliation of severe subutaneous emphysema with use of a trocartype chest tube as a subcutaneous drain (letter). Chest 1993; 103:323
20. Herlan DB, Landreneau RJ, Ferson PF. Massive spontaneous subcutaneous emphysema: acute management with infraclavicular blow holes. Chest 1992; 102:503-505
21. Lopez MA, Cordero T, Delgado F. Tracheostomy as a solution for subcutâneos emphysema and pneumomediastino with Sever respiratory failure. Acta Otorrinolaringol Esp 1997; 48:677-681
22. Pecora DV. Management of massive subcutaneous emphysema. Chest 1993; 104:655-656
23. Leo F, Solli P, Veronesi G, et al. Efficacy of microdrainage in severe subcutaneous emphysema. Chest 2002; 122:1498-1499
24. Nair KK, Neville E, Rajesh P, et al. Simple method of palliation for gross subcutaneous surgical emphysema. J R Coll Surg Edinb 1989; 34:163-164
25. Sherif HM, Ott DA. The use of subcutaneous drains to manage subcutaneous emphysema. Tex Heart Inst J 1999; 26:129-131.
Hospital de São João
Alameda Prof. Hernâni Monteiro
4200 Porto
e-mail: maria.sucena@hotmail.com
Recebido para publicação/received for publication:09.07.09
Aceite para publicação/accepted for publication:09.09.08












