Introdução
Os meningiomas são considerados a neoplasia intracraniana benigna mais comum encontrada na prática clínica.1 As lesões agressivas tendem a envolver os tecidos moles e são de natureza osteolítica.2-3 Quando surgem de um local diferente das meninges são designados meningiomas ectópicos.2,4 Winkler, em 1904, foi o primeiro a descrever o meningioma extradural.5 Os meningiomas que se originam no crânio têm sido referidos como intraósseos ou intradiploicos.6 Para reduzir a confusão da nomenclatura foi proposto o termo meningioma extradural primário (MEP) em 2000.4 Em 2006, estes tumores foram classificados em: tipo I (epidural), localizado entre a dura-máter e a tábua interna do crânio; tipo II (diploico), entre as tábuas interna e externa do crânio; tipo III (extracraniano), localizado externamente ao limite da tábua externa; tipo IV (misto), tumor que se estende da dura-máter ao espaço extracraniano.7-8 Embora seja considerada uma entidade rara existem diferentes casos descritos a propósito de meningiomas intradiploicos ou intraósseos. Estes tumores são principalmente osteoblásticos e apenas alguns casos descritos são de natureza osteolítica.1 Uma massa indolor, gradualmente expansível na região do tumor, com achados neurológicos normais é a forma de apresentação mais comum de MEP na cabeça, embora as suas manifestações clínicas variem com o tamanho, localização, e envolvimento das estruturas adjacentes.1 A revisão da literatura refere que o tempo médio até ao seu diagnóstico pode variar entre 0,003 anos (um dia) e 40 anos.7
O presente relato descreve um caso raro de um meningioma occipital intradiploico osteolítico numa mulher de 58 anos de idade. A forma de apresentação inicial foi uma sensação de «cabeça oca» enquanto a doente se penteava, descrita numa consulta não programada à qual recorreu por outro motivo. O primeiro exame complementar solicitado foi uma radiografia de crânio, um exame muitas vezes desvalorizado, mas que neste caso se revelou o ponto de partida para uma investigação adicional dos sintomas descritos pela doente.
A medicina geral e familiar (MGF), por ser o primeiro ponto de contacto com o Serviço Nacional de Saúde, é caracterizada pela possibilidade de poder intervir na doença que se apresenta de forma inespecífica, em estádios precoces da sua história natural, mas que pode necessitar de uma intervenção urgente. Para isso é crucial o estabelecimento de uma relação médico-doente sólida, de confiança e, ao longo do tempo, de índole global e abrangente, que proporcione várias oportunidades para identificar patologias e intervir atempadamente. É fundamental que, em cada contacto, em contexto de consulta programada ou não, exista tempo e oportunidade para o doente expressar todas as preocupações; isso só é possível através de uma relação médico-doente de qualidade e através de um processo de consulta singular.
Este caso clínico torna-se pertinente por três motivos principais. Primeiro, por alertar para a relevância desta patologia que, enquanto entidade rara, poderá ser esquecida como hipótese diagnóstica. Segundo, pelo caráter inespecífico dos seus sintomas acompanhantes, facto que pode conduzir a uma desvalorização dos mesmos pelo doente e, consequentemente, a um atraso na procura de cuidados de saúde. Terceiro, por demonstrar a importância de uma relação médico-doente estruturada, que permita a expressão de preocupações de saúde e a sua orientação devida. O médico de família (MF), por se encontrar na linha da frente dos cuidados de saúde, é aquele que mais frequentemente poderá contactar com esta patologia, sobretudo na sua fase clínica inicial mais inespecífica, e contribuir para o seu diagnóstico precoce.
Descrição do caso
Mulher, 58 anos de idade, caucasiana, natural de Lisboa e residente em Loures, casada, pertencente a uma família nuclear no estádio VI do ciclo de Duvall. Antecedentes pessoais (patológicos ou cirúrgicos) e familiares irrelevantes, sem alergias conhecidas, sem hábitos alcoólicos ou consumo de drogas de abuso. Rastreios oncológicos (cancro do colo do útero, da mama e colorretal) atualizados de acordo com a faixa etária e com resultados normais.
No dia 05.09.2018 recorreu a consulta não programada por queixas sugestivas de infeção urinária e dor na região lombar desde o dia anterior. Referiu também sentir-se preocupada com uma sensação de «cabeça oca» e de dor num ponto no couro cabeludo com cerca de dois meses de evolução. Esta dor era localizada, sem irradiação, não persistente, surgindo por episódios associados ao ato de pentear, de intensidade ligeira (escala numérica: 1-2), descrita essencialmente como «azulejo oco», com aparente componente neuropática. Sem qualquer impacto na sua vida pessoal, social ou familiar e sem aumento da necessidade da toma de analgésicos. Negava outras queixas do foro neurológico ou história de traumatismos.
No exame objetivo, à palpação, apresentava uma área mole e dolorosa na calote craniana, com cerca de 1cm de maior diâmetro, localizada na região parieto-occipital direita, com aparente integridade dos tecidos subjacentes e sem lesões cutâneas. No exame neurológico não apresentava qualquer alteração. No entanto, atendendo à preocupação da doente e do médico, realizou uma radiografia do crânio (09.10.2018), onde se observou uma imagem de morfologia arredondada e hipertransparente, localizada na vertente para-mediana direita da região occipital, traduzindo uma alteração de natureza indeterminada (Figura 1). A investigação laboratorial, nomeadamente hemograma completo, parâmetros da inflamação, albumina, β2-microglobulina, metabolismo fosfo-cálcico, função renal e biomarcadores oncológicos, não revelou alterações.

Figura 1 Radiografia do crânio mostrando a lesão de morfologia arredondada e hipertransparente, localizada na vertente para-mediana direita da região occipital.
Para estudo da lesão solicitou-se uma tomografia computorizada crânio-encefálica (TC-CE), a 22.10.2018, que demonstrou uma lesão lítica da calote craniana na extremidade superior da escama occipital para-mediana direita, com cerca de 11 a 12mm de diâmetro transversal, associada a erosões completas das tábuas interna e externa do crânio e do espaço diplóico (Figura 2). Verificou-se também a presença de um pequeno componente de partes moles epidural junto a esta lesão lítica, em contacto com o contorno direito do seio longitudinal superior.

Figura 2 TC-CE mostrando a lesão lítica intradiploica na extremidade superior da escama occipital para-mediana direita.
Perante os resultados da TC-CE, e após comunicação do achado imagiológico à doente, esclarecimento de dúvidas na tentativa de responder às suas questões sobre diagnósticos diferenciais, possibilidades terapêuticas e eventual prognóstico dos mesmos, esta foi referenciada para consulta de neurocirurgia no dia 27.11.2018.
Na consulta de neurocirurgia a avaliação foi complementada com a realização de ressonância magnética crânio-encefálica (RM-CE), que confirmou a presença de uma pequena lesão ocupando espaço, centrada ao diploé, com topografia occipital superior para-sagital direita, de configuração ovalada e com cerca de 15mm de maior diâmetro. Apresentava contornos regulares e limites bem definidos, sem integridade da tábua interna e externa, com discretos componentes epicraniano e extra-axial intracraniano, e aparente base de implantação dural, mas sem dural tail. Após administração de gadolínio documentou-se um reforço homogéneo e intenso de sinal. Confirmou-se o contacto com o seio longitudinal superior, sem moldagem ou desvio do mesmo, encontrando-se o seu calibre e a sua permeabilidade mantidas (Figura 3).

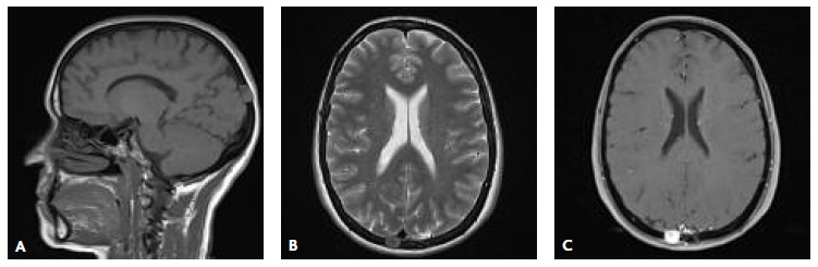
Figura 3 RM-CE mostrando a lesão na topografia occipital superior para-sagital direita, nos planos sagital (A), axial (B) e após administração de gadolínio (C).
Para avaliação da extensão da doença óssea solicitou-se cintigrafia óssea com 99mTc-HMDP (hidroximetildifosfonato), que demonstrou lesão lítica única na calote craniana, com bordos ligeiramente hipercaptantes, com projeção sobre a sutura lambdoide, localização ligeiramente para-mediana direita. Não se identificaram outras lesões líticas no restante esqueleto (Figura 4).

Figura 4 Cintigrafia óssea com 99mTc-HMDP, varrimento de corpo inteiro, mostrando lesão na calote craniana para-mediana direita. Ausência de outras lesões no restante esqueleto.
A doente foi submetida a uma craniotomia para exérese do tumor ósseo occipital e cranioplastia no dia 19.02.2019, tendo o pós-operatório decorrido sem complicações. O resultado anatomopatológico demonstrou tratar-se de um meningioma benigno (Grau I, OMS). Mantém seguimento em neurocirurgia onde será sujeita a reavaliação imagiológica anual. Atualmente mantém vigilância em consultas de hipertensão no seu MF, que inicialmente foram intercaladas com outras consultas para renovação do certificado de incapacidade temporária, entre outros assuntos. Três meses após a cirurgia referia ainda algum desconforto na região da cicatriz que, entretanto, atenuou.
Comentário
A MGF é caracterizada por ser o primeiro ponto de contacto com o Serviço Nacional de Saúde, proporcionando elevada acessibilidade aos utentes e uma prestação de cuidados abrangentes e não condicionados pelas características das pessoas. É também responsável pela gestão dos problemas do doente, sejam eles agudos ou crónicos. O MF pode ser considerado especialista no cuidado de problemas comuns. No entanto, os doentes comuns às vezes também têm doenças raras e os cuidados de saúde primários (CSP) têm a responsabilidade de reconhecer tais problemas e gerir esses doentes. Para isso é crucial o estabelecimento de uma relação médico-doente de confiança e ao longo do tempo, de índole global e abrangente, com várias oportunidades para identificar patologias e intervir atempadamente.
A relação médico-doente pode ser considerada um encontro entre uma confiança e uma competência. Neste encontro de duas pessoas, uma que se sente e se declara doente e outra que tem conhecimento e capacidades para lhe prestar assistência, há muito de individual, subjetivo e emocional. O ponto crucial neste encontro é a arte da comunicação. Relacionamentos baseados na honestidade, confiança e boa comunicação permitirão ao médico, em parceria com o doente, atender às necessidades individuais deste último. É igualmente necessário que o doente seja honesto e aberto ao fornecer uma comunicação pertinente para aumentar o valor da interação. É fundamental que em cada contacto, em contexto de consulta programada ou não, seja dado tempo e oportunidade para o doente expressar todas as preocupações; isto só é possível através de uma relação médico-doente de qualidade e através de um processo de consulta singular. Ouvir o doente, dar tempo e espaço dentro da consulta é extremamente importante para avaliar cada problema como um todo, no sentido de compreender o doente nas diversas componentes. Só assim, perante um doente que se apresenta com algo incomum, se consegue fazer a diferença, como aconteceu no caso descrito.
Os meningiomas são usualmente assintomáticos, mas podem causar sintomas neurológicos, dependendo da sua localização, tipo de crescimento e agressividade local. Habitualmente, os MEP crescem lentamente e manifestam-se através de sinais ou sintomas associados a compressão de estruturas adjacentes.2 A revisão da literatura refere que o tempo médio até ao diagnóstico pode variar entre 0,003 anos (um dia) e 40 anos.7 A sua apresentação inespecífica implica a investigação de outras alternativas diagnósticas, incluindo lesões metastáticas, tumores epidermoides, mieloma múltiplo, granuloma eosinofílico, displasia fibrosa, hemangiopericitoma, hemangiomas, tumores castanhos, dermoides e de células gigantes.9
Os meningiomas apresentam uma incidência anual de 2,1 por 100.000 pessoas.1 Desses, 1 a 2% são de localização extradural primária (MEP), em 80 a 90% dos casos de localização na cabeça.4,10 Assim, calcula-se que a percentagem de MEP na cabeça se encontre entre 0,8% e 1,8%.7
As convexidades do crânio, os seios paranasais e cavidade nasal e o ouvido médio estão entre os três principais locais do tumor.7
Os meningiomas extradurais incidem com a mesma frequência em ambos os sexos ou com ligeira predominância do sexo feminino (1:(0,73-1,4)), ao contrário dos meningiomas durais, que são duas vezes mais frequentes nas mulheres do que nos homens (1:2).7,11 Assim, como os meningiomas durais, os extradurais têm uma distribuição bimodal com pico na segunda e entre a quinta e a sétima décadas.7
A origem exata destes tumores é controversa e várias hipóteses têm sido propostas,2,7 incluindo o aprisionamento de meningócitos ou células dos capilares aracnoides nas suturas cranianas, durante a moldagem da cabeça no momento do nascimento e da embriogénese neural2,4,7 e o implante de células capilares aracnoides durante o trauma mecânico ou rutura dural.2,12
Nos exames de imagem, os MEP com envolvimento ósseo, incluindo os intradiploicos, manifestam-se como lesões osteoblásticas, osteolíticas ou mistas,2-3 sendo maioritariamente osteoblásticas.1 A apresentação osteolítica, o envolvimento dos tecidos moles e a localização dos meningiomas na base do crânio associam-se a maior agressividade e mais elevada taxa de recorrência.2-3,9
Os estudos de imagem orientam a marcha diagnóstica, uma vez que a obtenção de tecido para confirmação histológica pode estar associada a alguns riscos de défices neurológicos. Entre os exames complementares de diagnóstico, a RM-CE é o método ideal, pois na maioria dos casos demonstra a origem do tumor. Infelizmente este exame não está disponível nos CSP.
Os achados radiográficos dos meningiomas intradiploicos são limitados e não são patognomónicos devido à sobreposição das estruturas ósseas. Uma lesão redonda associada a alterações cranianas locais é uma das características radiográficas mais comuns nos MEP da cabeça.7 A radiografia simples do crânio pode detetar anormalidades, geralmente no tipo osteoblástico. A hiperostose, calcificação irregular e marcas vasculares atípicas podem ser observadas em alguns casos.1 O tipo osteolítico pode ser visualizado com uma aparência hipodensa em radiografias simples.
Em TC-CE, o meningioma típico corresponde a uma massa extra-axial bem definida, de contornos regulares, por vezes com calcificações intralesionais, isointensas com o parênquima e associadas a hiperostose no local de inserção e com captação intensa de contraste.13
Na RM-CE, as imagens ponderadas em T1 mostram lesões isointensas ou hipointensas em comparação com a substância cinzenta, enquanto as ponderadas em T2 são variáveis, mas geralmente hiperintensas; no entanto, a hipointensidade não exclui o diagnóstico de meningioma.1 Um realce homogéneo intenso, após a administração de gadolínio, é visto tipicamente. Normalmente as lesões não apresentam dural tail, que corresponde a um espessamento dural marginal típico.1 Quando este é visualizado, pode ser secundária a invasão dural ou irritação provocada pelo tumor.
O papel da cintigrafia óssea com 99mTc-HMDP, um análogo dos constituintes da matriz óssea, é reservado aos meningiomas durais com calcificação quando apresentam origem ou extensão óssea e para pesquisa de outras lesões no esqueleto.
O diagnóstico definitivo é histológico. Histopatologicamente, essas lesões podem variar de origem epitelial a mesenquimatosa, como os meningiomas intracranianos.1,14 De acordo com o seu comportamento classificam-se em benignos, atípicos e malignos: grau I, II e III, respetivamente, de acordo com a OMS.15
Os meningiomas têm habitualmente um bom prognóstico. A excisão tumoral com resseção cirúrgica ampla e reconstrução óssea é o tratamento de escolha em doentes sintomáticos.2,7 A resseção cirúrgica é também necessária para confirmação histológica e exclusão de outros diagnósticos diferenciais, como plasmocitoma, metástases e displasia fibrosa e decidir sobre terapia adjuvante. Quando o tumor não é ressecado totalmente, devido ao envolvimento de outras estruturas críticas, deve ser ponderada radioterapia e a componente residual sujeita a seguimento imagiológico seriado.
No caso descrito, a doente tinha 58 anos e não apresentava história de trauma significativo ou fratura craniana antiga. Não se verificou a presença de alterações neurológicas atribuídas à lesão; contudo, ficou patente a inespecificidade dos sintomas que pode estar presente numa fase inicial. Apresentava os rastreios oncológicos atualizados, de acordo com a faixa etária e com resultados normais. A investigação laboratorial não revelou alterações. Na radiografia, a lesão apresentou-se como uma imagem de morfologia arredondada e hipertransparente, traduzindo a sua natureza osteolítica. A TC-CE confirmou a lesão lítica na calote craniana, associada a erosões completas da tábua interna e externa do crânio e do espaço diploico. Na RM-CE, a lesão exibia discreto componente epicraniano, pequeno extra-axial intracraniano e aparente base de implantação dural, mas sem dural tail. A doente foi submetida a craniotomia para exérese do tumor e cranioplastia com material sintético. O pós-operatório decorreu sem intercorrências. A doente mantém seguimento em neurocirurgia, onde fará reavaliação imagiológica posterior no sentido de confirmar a ausência de recidiva.
Este caso evidencia que a empatia e a importância da relação médico-doente permitem que se crie uma relação terapêutica importante e de confiança nos cuidados de saúde dos doentes. Ouvir o doente, dar tempo e espaço dentro da consulta é extremamente importante para avaliar cada problema como um todo, no sentido de compreender o doente nas diversas componentes. Este caso realça a importância do MF no diagnóstico precoce de patologias pouco frequentes, que se podem apresentar com sintomatologia inespecífica e que podem ser graves e comprometer a qualidade de vida dos doentes. Também destaca o papel do MF como gestor de recursos para benefício dos seus doentes, o que inclui a referenciação atempada via Alert para outros profissionais dos cuidados de saúde secundários. A sua responsabilidade, contudo, não termina, mantendo-se sempre disponível para essa pessoa e para qualquer tipo de problema ou necessidade que possa surgir ao longo da vida.
A revisão apresentada a propósito do caso evidenciou que os meningiomas intraósseos são lesões raras, habitualmente osteoblásticas, que representam o tipo mais frequente de meningioma extradural. Estas lesões são usualmente assintomáticas, cujo tempo médio até ao diagnóstico varia entre 0,003 anos (um dia) e 40 anos, mas podem causar sintomas neurológicos dependendo da sua localização, tipo de crescimento e agressividade local. A aparência imagiológica orienta a marcha diagnóstica. A tomografia computorizada com janela óssea, complementada por ressonância magnética com contraste, ajuda a fazer um diagnóstico pré-operatório. O tipo osteolítico tem maior probabilidade de ser maligno. O tratamento do MEP é habitualmente cirúrgico, sendo potencialmente curativo nas remoções totais. Os tumores que não puderem ser totalmente excisados devem ser objeto de um controlo rigoroso e ser sujeitos a eventual terapêutica adicional.














