SciELO - Scientific Electronic Library Online

 
vol.33 número1Otalgia − Nem sempre otite índice de autoresíndice de assuntosPesquisa de artigos
Home Pagelista alfabética de periódicos  

Serviços Personalizados

Journal

Artigo

Indicadores

Links relacionados

  • Não possue artigos similaresSimilares em SciELO

Compartilhar


Nascer e Crescer

versão impressa ISSN 0872-0754versão On-line ISSN 2183-9417

Nascer e Crescer vol.33 no.1 Porto mar. 2024  Epub 31-Mar-2024

https://doi.org/10.25753/birthgrowthmj.v33.i1.26283 

Imaging cases

One bacteria, multiple foci

Uma bactéria, múltiplos focos

1. Department of Pediatrics, Hospital Dr. Nélio Mendonça, Serviço de Saúde da Região Autónoma da Madeira. 9000-177 Funchal, Portugal. catajandrade@gmail.com; beatrizmbcamara@gmail.com; aforno_@hotmail.com; anacristinaffreitas@gmail.com; mjmborges@yahoo.com; jcabral1980@gmail.com

2. Department of General Surgery, Hospital Dr. Nélio Mendonça, Serviço de Saúde da Região Autónoma da Madeira. 9000-177 Funchal, Portugal. drmariajgomes@gmail.com


Abstract

A previously healthy 16-year-old male with a ten-day history of proptosis and pain in the left upper eyelid and inflammatory signs of the left lower limb, without fever, was admitted to the Emergency Department. Computed tomography (CT) scan revealed an extensive intraorbital lesion and a multiloculated collection in the muscle planes of the thigh. The boy underwent surgical drainage and was started on empiric antibiotics. Methicillin-susceptible Staphylococcus aureus was isolated from blood and exudate cultures. Because the boy remained febrile, a chest CT scan was performed, which revealed bilateral cavitary lung lesions. He completed a long course of antibiotherapy. The study for potential immunodeficiency disorders was unremarkable.

Most pediatric cases of community-associated Staphylococcus aureus bacteremia are associated with a localized source of infection. Diagnosis depends on isolation from blood and fluid aspirates. Treatment usually requires surgical drainage and intravenous antibiotherapy. Staphylococcus aureus bacteremia may be associated with multiple foci of infection, which should be recognized promptly.

Keywords: abscess; bacteremia; pulmonary embolism; pyomyositis; staphylococcus aureus

Resumo

Um adolescente do sexo masculino de 16 anos de idade, previamente saudável, foi admitido no Serviço de Urgência por proptose e dor na pálpebra superior esquerda e sinais inflamatórios no membro inferior esquerdo, sem febre, com dez dias de evolução. A tomografia computorizada (TC) revelou uma lesão expansiva intraorbitária e coleção multiloculada nos planos musculares da coxa. O rapaz foi submetido a drenagem cirúrgica e iniciou antibioterapia empírica. A hemocultura e cultura dos exsudados permitiram o isolamento de Staphylococcus aureus sensível à meticilina. Dado que o rapaz continuava febril, foi realizada TC torácica, que evidenciou lesões pulmonares cavitadas bilateralmente, tendo sido efetuado um esquema prolongado de antibioterapia. O estudo de potenciais imunodeficiências foi negativo.

A maioria dos casos de bacteremia a Staphylococcus aureus na comunidade estão associados a focos infeciosos localizados. O diagnóstico requer isolamento no sangue ou exsudados. A abordagem implica drenagem cirúrgica e antibioterapia endovenosa. A bacteremia a Staphylococcus aureus pode associar-se a múltiplos focos de infeção, pelo que deve ser precocemente reconhecida.

Palavras-chave: abscesso; bacteremia; embolismo pulmonar; piomiosite; Staphylococcus aureus

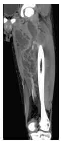
A previously healthy 16-year-old male presented to the Emergency Department with a 10-day history of edema and pain in the left upper eyelid and complaints of pain in the left thigh. He had no fever. On examination, erythema and edema with fluctuation of the left upper eyelid and frontal region were observed associated with proptosis and blurred vision. Additionally, he had edema, redness, heat and pain, and claudication in the left thigh and gluteal region. There were no signs of trauma, insect bites, or foreign bodies. The boy denied illicit drug use, namely intravenous use. Blood tests revealed leukocytosis (33,700 cells/μL) with neutrophilia (30,600 cells/μL) and elevated C-reactive protein (303 mg/L). Creatine kinase was normal. Computed tomography (CT) scan showed a multiloculated collection in the muscle planes of the thigh (Figure 1) and a partial thrombus in the left femoral vein. It also showed an expanding intraorbital lesion with proptosis and optic nerve extension (Figure 2). Empiric antibiotic therapy with ceftriaxone, clindamycin, and vancomycin was initiated, and the patient underwent surgical drainage of the intraorbital abscess and deep loculated collection in the left thigh. Methicillin-susceptible Staphylococcus aureus was isolated from blood and exudate cultures. During hospitalization, the boy remained persistently febrile despite analytical improvement. Thoracic, abdominal, and pelvic high-resolution CT scans were performed on day 8, showing bilateral cavitary lung lesions (Figure 3).

What is your diagnosis?

Figure 1 CT scan of the left lower limb on admission showing a multiloculated collection in the muscle planes of the left thigh. 

Figure 2 Cranial CT scan on admission showing an expansive intraorbital lesion on the left. 

Figure 3 Chest CT scan on day 8 of hospitalization showing bilateral cavitary lung lesions suggestive of septic embolism. 

Diagnosis

Staphylococcus aureus bacteremia with multiple foci of infection.

On day nine, a PICO negative pressure wound therapy system was applied to the postoperative wound on the left thigh, with favorable outcome. The patient completed a long course of antibiotherapy with clindamycin (22 days) and flucloxacillin (40 days) with clinical, analytical, and imagiological improvement. On hospital discharge, he presented amyotrophy due to disuse, more pronounced in the left lower limb. The boy underwent a three-month rehabilitation program, with complete wound healing and no motor sequelae. Pediatric immunologic follow-up was unremarkable for potential immunodeficiency disorders, including lymphocyte subpopulations, immunoglobulins, and immune response to vaccines. The case was discussed with an immunodeficiency reference center. In the absence of a relevant personal history suggestive of immunodeficiency disorders, it was decided not to pursue this investigation. After two years of follow-up, the boy remained without further infectious complications. Given this clinical picture, bacterial strains with increased virulence factors were the most likely etiology.

Discussion

Staphylococcus aureus is acknowledged as an important cause of invasive disease in children.1 The global incidence of pediatric Staphylococcus aureus bacteremia varies from 4 to 20 per 100,000.2 It has increased in this century, particularly in regions where successful widespread implementation of infant conjugate vaccines has reduced the incidence of invasive Haemophilus influenzae and Streptococcus pneumoniae disease.1

Bacteremia may be primary or secondary, depending on whether there is an identifiable focus of infection. The majority of pediatric cases are associated with a localized source of infection. Bacteremia caused by Staphylococcus aureus can be divided into community-associated and healthcare-associated, which includes hospital-onset and community-onset. Community-associated cases (40-50%) are due to bone and joint infections (53%), skin and soft tissue infections (14%), or pneumonia (5%). In contrast, hospital-onset/healthcare-associated Staphylococcus aureus bacteremia (50-60%) is associated with central venous catheter and other device infections (34%), sepsis or unidentified source (30%), or skin and soft tissue infections (13%). Community-onset healthcare-associated infections are defined as cases with community onset and at least one healthcare-associated risk factor.2)

Risk factors for Staphylococcus aureus bacteremia include intravascular catheters, indwelling foreign bodies, history of surgery, hospitalization, or dialysis in the previous year, dermatologic diseases, injection drug use, and nasal Staphylococcus aureus colonization. Underlying host susceptibility to recurrent staphylococcal infections includes defects in the immune response and white blood cell function, and malignancy.2-3

Clinical manifestations vary with the site of infection, and severity depends on local suppuration, systemic dissemination, and the effects of toxin production. Staphylococcus aureus is the most common cause of pyogenic infection of the skin and soft tissues and can cause deep soft tissue involvement, including cellulitis, abscesses, and, rarely, necrotizing fasciitis. Localized staphylococcal abscesses in muscle have been termed pyomyositis and may be multiple in 30-40% of cases. Respiratory manifestations include upper respiratory tract infections and inhalation or hematogenous pneumonia, which may be secondary to septic emboli from endocarditis or thrombophlebitis. Necrotizing pneumonitis, empyema, pneumatoceles, and bronchopleural fistulas are known complications associated with this agent. In cases of bacteremia, other sources of infection, such as arthritis, osteomyelitis, or endocarditis, should be considered.4

The management of invasive Staphylococcus aureus infection requires the removal of potential foci of infection. The choice of empiric therapy depends on the site, severity, local susceptibility patterns, and community prevalence of methicillin-resistant Staphylococcus aureus infection. Definitive antimicrobial therapy is determined by culture. Duration varies with site of infection and clinical response to treatment.5

In terms of prognosis, Staphylococcus aureus bacteremia is associated with increased morbidity and mortality. Community-acquired infection is associated with a propensity for metastatic complications, which may be related to the longer time to recognition of bacteremia and possibly the presence of Panton-Valentine leukocidin.6-7 In the present case, the possibility of immunocompromised status was excluded. The absence of previous recurrent infections makes this hypothesis less likely. Therefore, the possibility of bacterial strains with increased virulence factors should be taken into account.

With this case, the authors hope to emphasize that Staphylococcus aureus bacteremia may be associated with multiple foci of infection that should be promptly recognized.

Authorship

Catarina Andrade - Conceptualization; Writing - original draft

Beatriz Câmara - Conceptualization; Writing - original draft

Andreia Forno - Writing - review & editing

Cristina Freitas - Writing - review & editing

Maria João Borges - Writing - review & editing

Maria José Gomes - Writing - review & editing

António Jorge Cabral - Writing - review & editing

References

1. Vanderkooi OG, Gregson DB, Kellner JD, Laupland KB. Staphylococcus aureus bloodstream infections in children: A population-based assessment. Paediatr Child Health 2011;16(5):276-280. [ Links ]

2. Fowler VG, Sexton DJ, Kaplan SL. Staphylococcus aureus bacteremia in children: Epidemiology and clinical features. May, 2019. (Assessed Sep, 2021) Available at: http://www.uptodate.com. [ Links ]

3. Tong SY, Davis JS, Eichenberger E, Holland TL, Fowler VG. Staphylococcus aureus Infections: Epidemiology, Pathophysiology, Clinical Manifestations, and Management. American Society for Microbiology Journals 2015; 28 (3): 603-661. [ Links ]

4. Gaensbauer JT, Todd JK. Staphylococcus. Kliegman RM, Stanton BF, St Geme III WJ, Schor NF, editors. Nelson Textbook Of Pediatrics. 20th ed. Philadelphia: Elsevier; 2016. p.1315-21. [ Links ]

5. Kaplan SL. Staphylococcus aureus in children: Overview of treatment of invasive infections. Aug, 2020. (Assessed Sep, 2021) Available at: http://www.uptodate.com. [ Links ]

6. Keynan Y, Rubinstein E. Staphylococcus aureus Bacteremia, Risk Factors, Complications, and Management. Crit Care Clin 2013 Jul; 29(3):547-62. [ Links ]

7. Melles D, Van Leeuwen W, Boelens H, Peeters J, Verbrugh A, Belkum A. Panton-Valentine Leukocidin Genes in Staphylococcus aureus. Emerg Infect Dis 2006; 12 (7): 1174-1175. [ Links ]

Received: January 22, 2022; Accepted: August 10, 2022

Correspondence to Catarina Andrade Department of Pediatrics Hospital Dr. Nélio Mendonça Serviço de Saúde da Região Autónoma da Madeira Avenida Luís de Camões 6180 9000-177 Funchal Email: catajandrade@gmail.com

Creative Commons License This is an open-access article distributed under the terms of the Creative Commons Attribution License