Introdução
A acupuntura é uma forma de terapia que envolve a inserção subcutânea de agulhas finas, comummente usado para aliviar náuseas e várias formas de dor.1-4
No entanto, não é um procedimento livre de riscos, estando documentados eventos adversos graves como pneumotórax, septicemias e lesões medulares.5
Apesar de raro, o pneumotórax é a complicação mais frequente deste procedimento. O relato de caso que a seguir se apresenta, descreve um caso de pneumotórax secundário à acupuntura.
Caso clínico
Doente do sexo masculino, de 20 anos, recorreu ao Serviço de Urgência, com dor de intensidade 9 na Escala Visual Analógica (EVA), tipo facada, localizada na região escapular direita, de características pleuríticas sem irradiação, com noção de dispneia de causa álgica, após uma sessão de acupuntura. Como antecedentes relevantes destacou-se pseudohipoaldosteronismo primário tipo I, estando ausentes patologias do foro respiratório ou hábitos tabágicos. Segundo o utente, esta terá sido a sua primeira sessão de acupuntura e durante a inserção da agulha sentiu uma dor intensa, tendo sido puncionado duas vezes antes de pedir para suspender o procedimento.
No exame objetivo encontrava-se consciente, orientado e colaborante, eupneico (sO2 98% a ar ambiente) e euvolémico (PA 116/74 mmHg), mas discretamente taquicardíaco (FC 101 bpm), com notório fácies de dor.
Na auscultação cardíaca não foram verificadas quaisquer alterações, no entanto, na auscultação pulmonar detetou-se diminuição discreta do murmúrio vesicular do hemitórax direito superior e hipertimpanismo na percussão da mesma área. Na inspeção observou-se duas feridas punctiformes dorsais compatíveis com a inserção das agulhas, e dor na palpação intercostal posterior do hemitórax direito junto ao local puncionado.
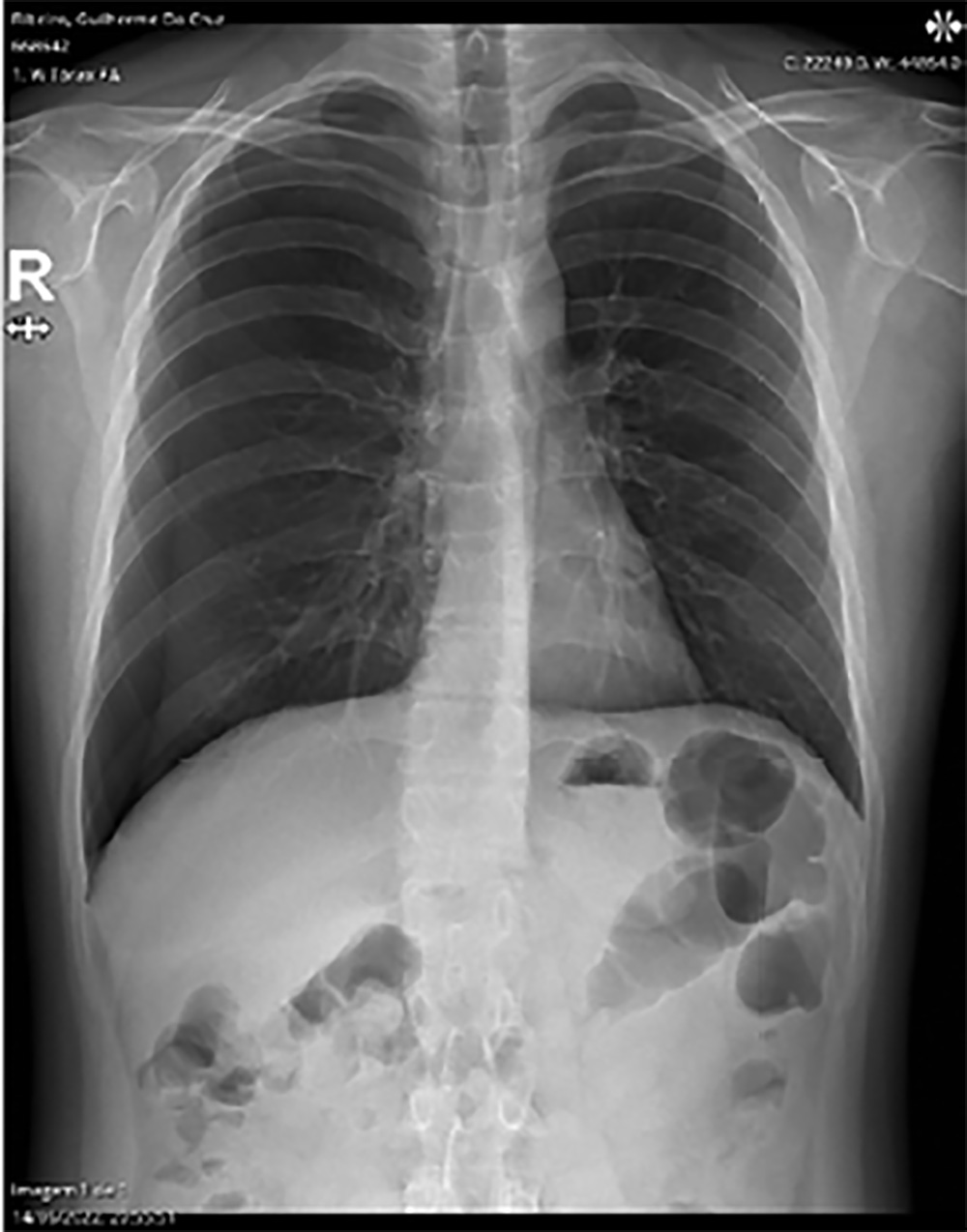
A radiografia mostrou a existência de um pneumotórax de grandes dimensões segundo a British Thoracic Society (BTS >2 cm) com colapso moderado (entre 15% e 60% do pulmão) no campo pulmonar direito, provavelmente como consequência da perfuração pleural pela agulha da acupuntura (Fig. 1).

Figura 1: Radiografia de tórax póstero-anterior (PA) à entrada (pneumotórax de grande dimensão à direita).
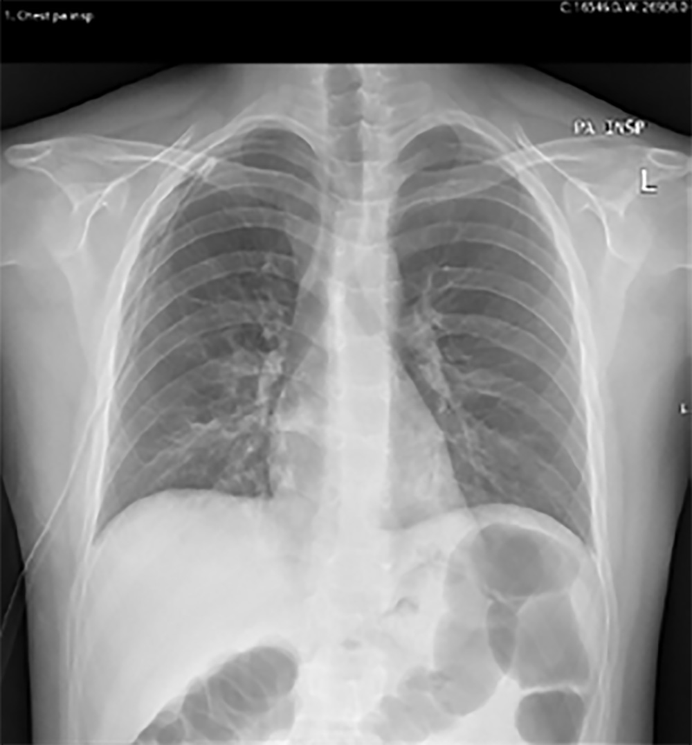
Após a observação da radiografia e aplicação das guidelines da BTS, optou-se por colocar o doente sob oxigenoterapia suplementar e discutiu-se o caso com os médicos de cirurgia geral. Optou-se pela realização de toracotomia no hemitórax direito sob anestesia local, sendo confirmada a correta colocação do dreno com recurso a nova radiografia do tórax (Fig. 2). De acordo com as indicações da BTS o dreno utilizado foi de 18 Fr associado a um selo d´água do dreno. Para além das recomendações da BTS o tamanho definido para o dreno a colocar foi decido considerando a menor probabilidade de obstrução de um dreno deste calibre, relativamente a um de calibre inferior.
Confirmou-se, igualmente, a saída de ar do dreno (sinal que se encontra funcionante), ausência de evidente pneumotórax e de enfisema subcutâneo resultantes da colocação do mesmo.
Depois da avaliação radiográfica, entendeu-se que o doente deveria ser internado no serviço de cirurgia, mantendo-se sob vigilância. O dreno deixou de borbulhar passado 8 horas, no entanto, a equipa de cirurgia decidiu manter o dreno durante 48 horas para evitar novo pneumotórax por extração precoce do dreno.
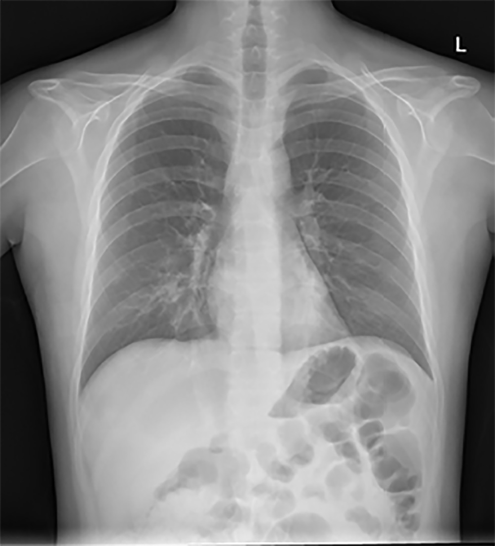
Após este período removeu-se o mesmo e efetuou-se uma radiografia de controlo. A radiografia evidenciou uma resolução completa do pneumotórax (Fig. 3), sendo programada a alta para o próprio dia.
Discussão
Este caso permite ilustrar a necessidade de realização de exames imagiológicos, nomeadamente radiografia torácica, aos doentes com toracalgia depois da realização de acupuntura. Apesar da acupuntura ser considerada um procedimento relativamente seguro, não está isenta de riscos. Uma visão geral das revisões sistemáticas da segurança da acupuntura revelou que o pneumotórax foi um dos tipos mais comuns de lesão de órgãos ou tecidos resultantes de tratamentos de acupuntura,5 sendo, por conseguinte, um diagnóstico a equacionar.
















