SciELO - Scientific Electronic Library Online

 
vol.35 número3Quisto Retropúbico: Uma Entidade Rara índice de autoresíndice de assuntosPesquisa de artigos
Home Pagelista alfabética de periódicos  

Serviços Personalizados

Journal

Artigo

Indicadores

Links relacionados

  • Não possue artigos similaresSimilares em SciELO

Compartilhar


Acta Radiológica Portuguesa

versão impressa ISSN 2183-1351

Acta Radiol Port vol.35 no.3 Lisboa dez. 2023  Epub 29-Dez-2023

https://doi.org/10.25748/arp.28872 

Imagens de Interesse

Vólvulo Gástrico Mesentero-Axial Complicado com Isquemia Gástrica em Idade Adulta

Mesenteroaxial Gastric Volvulus Complicated by Gastric Ischemia in Adulthood

1Serviço de Radiologia, Centro Hospitalar Universitário de S. João, EPE, Porto, Portugal

2Serviço de Cirurgia Geral, Centro Hospitalar Universitário de S. João, EPE, Porto, Portugal


Resumo

O vólvulo gástrico mesentero-axial é uma entidade rara, caracterizada por rotação anómala do estômago sobre o seu menor eixo com potencial obstrução do outlet gástrico, que, se não for abordada atempadamente, pode associar-se a significativa morbilidade e mortalidade.

Descrevemos o caso clínico de uma mulher de 30 anos de idade que se apresentou com quadro sugestivo de obstrução gastrointestinal com um dia de evolução, associado a significativa elevação dos níveis séricos de lactatos. A TC abdominal e pélvica demonstrou significativa distensão e alteração da posição do estômago, com inversão da relação espacial entre a junção esófago-gástrica e o antro/piloro, assim como pneumatose parietal gástrica e aeroportia. Perante estes achados, foi sugerido o diagnóstico de vólvulo gástrico mesentero-axial complicado com isquemia gástrica. Seguiu-se cirurgia exploradora, que confirmou o diagnóstico, tendo sido realizada gastrectomia total.

Palavras-chave: Vólvulo gástrico; Obstrução do outlet gástrico; Tomografia computadorizada (TC).

Abstract

Mesenteroaxial gastric volvulus is a rare condition characterized by anomalous rotation of the stomach on its shortest axis potentially resulting in gastric outlet obstruction; if management is delayed, it can result in significant morbidity and mortality.

We describe the clinical case of a 30-year-old woman who presented with symptoms/signs suggestive of gastrointestinal obstruction with onset in the previous day, associated with significant elevation of blood lactate levels. Abdominal and pelvic CT revealed significant distension and anomalous position of the stomach with spatial inversion of the positions of the esophagogastric junction and the gastric antrum/ pylorus, as well as gastric pneumatosis and portal venous gas. Considering these findings, a diagnosis of mesenteroaxial gastric volvulus complicated by gastric ischemia was suggested. Exploratory surgery confirmed the diagnosis and the patient underwent total gastrectomy.

Keywords: Gastric volvulus; Gastric outlet obstruction; Computed tomography (CT).

Caso Clínico

Apresentamos o caso clínico de uma mulher de 30 anos de idade, sem antecedentes médicos relevantes, que recorreu ao Serviço de Urgência da nossa instituição por quadro de vómitos incoercíveis e dor abdominal de maior intensidade no epigastro (intensidade de grau 9 em 10) com um dia de evolução. Ao exame objectivo, destacavam-se como principais achados, significativa distensão abdominal, timpanismo abdominal e diminuição dos ruídos hidro-aéreos. Do estudo laboratorial, destacava-se significativa elevação dos níveis séricos de lactatos.

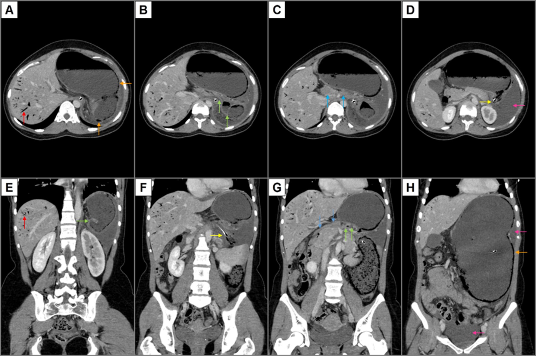
Neste contexto, foi requisitada TC abdominal e pélvica, que revelou como achados mais relevantes marcada distensão e alteração da posição do estômago com inversão da relação espacial entre a junção esófago-gástrica e o antro/piloro - junção esófago-gástrica localizada mais caudalmente e antro/piloro localizados mais cranialmente -, assim como pneumatose parietal gástrica e aeroportia (Figura 1). O conjunto destes achados fez sugerir o diagnóstico de vólvulo gástrico mesentero-axial complicado com isquemia gástrica.

Figura 1: TC abdominal e pélvica - Cortes axiais - de superior para inferior (A-D) - e coronais - de posterior para anterior (E-H) - de TC abdominal e pélvica revelando significativa distensão e alteração da posição do estômago com inversão da relação espacial entre a junção esófago-gástrica (setas amarelas - Figuras 1D e 1F) e o antro/piloro (setas verdes - Figuras 1B, 1E e 1G), associadas a colapso dos segmentos do tubo digestivo a jusante (setas azuis - Figuras 1C e 1G); demonstra também pneumatose parietal gástrica (setas cor-de-laranja - Figuras 1A e 1H), aeroportia (setas vermelhas - Figuras 1A e 1E) e líquido livre intra-abdominal (setas cor-de-rosa - Figuras 1D e 1H). O conjunto destes achados fez sugerir o diagnóstico de vólvulo gástrico mesentero-axial complicado com isquemia gástrica. 

A doente foi submetida a cirurgia exploradora, tendo sido confirmado o diagnóstico supramencionado e realizada gastrectomia total (Figura 2).

Figura 2: Gastrectomia total - Cirurgia e Peça cirúrgica - Fotografias da cirurgia antes (A) e depois (B) da redução do vólvulo gástrico mesentero-axial mostrando aspetos macroscópicos sugestivos de isquemia gástrica não reversíveis, posteriormente corroborados por avaliação anátomo-patológica da peça cirúrgica (Macroscopia da peça cirúrgica - C). 

Discussão

O vólvulo gástrico, uma forma rara de vólvulo do tubo digestivo,1 consiste na rotação anómala do estômago potencialmente resultando em obstrução do outlet gástrico.

De acordo com o eixo em relação ao qual essa rotação ocorre, o vólvulo gástrico pode ser classificado em organo-axial ou mesentero-axial.

O vólvulo gástrico organo-axial é mais comum, representando dois terços dos casos; caracteriza-se pela rotação do estômago sobre o seu maior eixo, com consequente posicionamento anómalo da grande curvatura cranialmente à pequena curvatura.

O vólvulo gástrico mesentero-axial é mais raro, representando um terço dos casos e ocorrendo sobretudo em idade pediátrica; caracteriza-se pela rotação do estômago sobre o seu menor eixo, com consequente posicionamento anómalo do antro/piloro cranialmente à junção esófago-gástrica.2

Os vólvulos gástricos podem ocorrer, por exemplo, no contexto de disfunção das estruturas de suporte do estômago na cavidade abdominal ou de patologia diafragmática (como por exemplo hérnia para-esofágica).3

Como o vólvulo gástrico mesentero-axial é uma entidade rara (sobretudo em idade adulta, como o caso que apresentamos) e que pode manifestar-se clinicamente com sintomas/sinais inespecíficos (dor abdominal epigástrica, náuseas e vómitos), o respectivo processo diagnóstico pode ser desafiante, dependendo significativamente de métodos de Imagem.1 A TC tem valor diagnóstico acrescido em relação à radiografia abdominal simples e aos estudos contrastados digestivos neste contexto, não só por permitir a demonstração multiplanar das alterações anatómicas características como também por permitir melhor avaliação das estruturas envolventes/ melhor planeamento pré-operatório e a detecção de potenciais complicações. Os achados clássicos de vólvulo gástrico mesentero-axial em TC incluem distensão e alteração da posição do estômago, com inversão da relação espacial entre a junção esófago-gástrica e o antro/piloro (o achado mais relevante para o estabelecimento do diagnóstico).2

O vólvulo gástrico agudo é uma emergência cirúrgica, pois o atraso no estabelecimento do diagnóstico e na aplicação do tratamento adequado pode resultar em complicações graves como isquemia/necrose gástrica, com potencial perfuração e consequente peritonite.1

O tratamento de doentes com vólvulo gástrico depende de vários fatores, como por exemplo a cronologia da apresentação e o tipo e o grau de complicações. Nos casos de vólvulo gástrico agudo com suspeita de isquemia gástrica estabelecida (como o caso que apresentamos), o tratamento deverá incluir imediata exploração cirúrgica com gastrectomia.2

Conclusão

Os radiologistas deverão estar familiarizados com os achados em TC do vólvulo gástrico mesentero-axial e reconhecer que, embora raramente, esta entidade pode ocorrer na idade adulta. Esta capacitação permitirá evitar o atraso na abordagem destes casos e eventuais complicações graves associadas (como por exemplo a isquemia gástrica), conferindo melhor prognóstico aos doentes com vólvulo gástrico mesentero-axial.

Referências bibliográficas

1. Peterson CM, Anderson JS, Hara AK, Carenza JW, Menias CO. Volvulus of the gastrointestinal tract: appearances at multimodality imaging. Radiographics. 2009;29:1281-93. [ Links ]

2. UpToDate. Gastric volvulus in adults. [consultado 2022 19 Nov] Disponível em: Disponível em: https://www.uptodate.com/contents/gastric-volvulus-in-adults . [ Links ]

3. Akhtar A, Siddiqui FS, Sheikh AAE, Sheikh AB, Perisetti A. Gastric volvulus: a rare entity case report and literature review. Cureus. 2018;10:e2312. [ Links ]

Divulgações Éticas

Suporte financeiro: O presente trabalho não foi suportado por nenhum subsídio ou bolsa.

Recebido: 11 de Dezembro de 2022; Aceito: 31 de Julho de 2023

Correspondência Filipe Barros Alves, Centro Hospitalar Universitário de S. João, EPE, Serviço de Radiologia, Alameda Prof. Hernâni Monteiro, 4200-319 Porto, Portugal, e-mail: filipebalves13@gmail.com

Conflitos de interesse: Os autores declaram não possuir conflitos de interesse.

Confidencialidade dos dados: Os autores declaram ter seguido os protocolos do seu centro de trabalho acerca da publicação dos dados de doentes.

Protecção de pessoas e animais: Os autores declaram que os procedimentos seguidos estavam de acordo com os regulamentos estabelecidos pelos responsáveis da Comissão de Investigação Clínica e Ética e de acordo com a Declaração de Helsínquia da Associação Médica Mundial.

© Autor (es) (ou seu (s) empregador (es)) e ARP 2023. Reutilização permitida de acordo com CC BY-NC. Nenhuma reutilização comercial.

Creative Commons License Este é um artigo publicado em acesso aberto sob uma licença Creative Commons