SciELO - Scientific Electronic Library Online

 
 número24Literacia dos profissionais de saúde sobre segurança do doenteIntegração das famílias nos cuidados de enfermagem: estudo comparativo entre diferentes especialidades índice de autoresíndice de assuntosPesquisa de artigos
Home Pagelista alfabética de periódicos  

Serviços Personalizados

Journal

Artigo

Indicadores

Links relacionados

  • Não possue artigos similaresSimilares em SciELO

Compartilhar


Millenium - Journal of Education, Technologies, and Health

versão impressa ISSN 0873-3015versão On-line ISSN 1647-662X

Mill  no.24 Viseu ago. 2024  Epub 30-Set-2024

https://doi.org/10.29352/mill0224.34653 

Life and health sciences

An unusual cause of pulmonary embolism following blunt chest trauma: a case study

Uma causa incomum de embolia pulmonar após trauma torácico contuso: um estudo de caso

Una causa inusual de embolia pulmonar después de un traumatismo torácico cerrado: un estudio de caso

1 Felix Hospital, Greater Noida, India

2 IILM University Gurugram, Haryana, India


Abstract

Introduction:

Chest injury resulting from thoracic trauma experienced by an individual is presented in this study. The results obtained from this analysis conducted retrospectively are anticipated to contribute to raising awareness of early diagnosis of embolism in the context of trauma.

Objective:

Pulmonary embolism remains a disease that needs clinical suspicion to prevent mortality and morbidity. More so in young individuals, suspicion is very low as compared to old age individuals with multiple co-morbid conditions. There is a high risk of mortality associated with Pulmonary embolism in case of not detected and treated in the early stage.

Methods:

This document outlines a case study involving a young male patient who exhibited sudden breathlessness after experiencing blunt chest trauma. The patient was diagnosed with pulmonary thromboembolism later on.

Results:

The patient was discharged on the novel oral anticoagulant Rivaroxaban. It is one of the first available direct factor Xa inhibitors, recommended for use in venous thromboembolism. It allows predictable anticoagulation, and routine coagulation monitoring is not required, unlike warfarin.

Conclusion:

The authors concluded that the development of a hypercoagulable state leads to the occurrence of pulmonary embolism triggered by epithelial injury following a traumatic event. In the case of submissive pulmonary embolism, catheter-directed thrombolysis is considered useful when systemic thrombolysis poses a potential risk of hemorrhage.

Keywords: pulmonary embolism; trauma; hypercoagulable state; tissue injury; catheter-directed thrombolysis

Resumo

Introdução:

A lesão torácica resultante de trauma torácico vivenciado por um indivíduo é apresentada neste estudo. Espera-se que os resultados obtidos a partir desta análise realizada retrospetivamente contribuam para a sensibilização para o diagnóstico precoce da embolia no contexto do trauma.

Objetivo:

A embolia pulmonar continua sendo uma doença que necessita de suspeita clínica para prevenir mortalidade e morbidade. Mais ainda em indivíduos jovens, a suspeita é muito baixa em comparação com indivíduos de idade avançada com múltiplas comorbidades. Existe um elevado risco de mortalidade associado à embolia pulmonar em caso de não deteção e tratamento na fase inicial.

Métodos:

Trata-se do relato de um caso de um jovem do sexo masculino que apresentou um início agudo de dispneia na sequência de um traumatismo torácico fechado, sendo posteriormente diagnosticado como um caso de tromboembolismo pulmonar.

Resultados:

O paciente teve alta medicado com o novo anticoagulante oral Rivaroxaban. Trata-se de um dos primeiros inibidores directos do fator Xa disponíveis, recomendado para utilização no tromboembolismo venoso. Permite uma anticoagulação previsível e não requer monitorização de rotina da coagulação, ao contrário da varfarina.

Conclusão:

Conclui-se que a lesão epitelial causada por trauma pode produzir um estado de hipercoagulabilidade resultando em embolia pulmonar. No embolismo pulmonar submisso, a trombólise dirigida por cateter é útil nos casos em que a trombólise sistémica acarreta o risco de hemorragia.

Palavras-chave: embolia pulmonar; traumatismo; estado hipercoagulável; lesão tecidular; trombólise dirigida por cateter

Resumen

Introducción:

En este estudio se presenta el traumatismo torácico por traumatismo torácico experimentado por un individuo. Se espera que los resultados obtenidos de este análisis realizado retrospectivamente contribuyan a la concienciación sobre el diagnóstico precoz de la embolia en el contexto del trauma.

Objetivo:

La embolia pulmonar sigue siendo una enfermedad que necesita sospecha clínica para prevenir la mortalidad y la morbilidad. Más aún en los individuos jóvenes, la sospecha es muy baja en comparación con los individuos de edad avanzada con múltiples condiciones comórbidas. Existe un alto riesgo de mortalidad asociado a la embolia pulmonar en caso de no detectarse y tratarse en una etapa temprana.

Métodos:

Este documento describe un estudio de caso que involucra a un paciente joven de sexo masculino que presentó disnea repentina después de experimentar un traumatismo torácico cerrado. El paciente fue diagnosticado de tromboembolismo pulmonar posteriormente.

Resultados:

El paciente fue dado de alta con el nuevo anticoagulante oral Rivaroxabán. Es uno de los primeros inhibidores directos del factor Xa disponibles, recomendado para su uso en tromboembolismo venoso. Permite una anticoagulación predecible y no se requiere un monitoreo rutinario de la coagulación, a diferencia de la warfarina.

Conclusión:

Los autores concluyeron que el desarrollo de un estado de hipercoagulabilidad conduce a la aparición de embolia pulmonar, desencadenada por lesión epitelial después de un evento traumático. En caso de embolia pulmonar sumisa, la trombólisis dirigida por catéter se considera útil en la situación en la que la trombólisis sistémica presenta un riesgo potencial de hemorragia.

Palabras Clave: embolia pulmonar; traumatismo; estado de hipercoagulabilidad; lesión tisular; trombólisis dirigida por catéter

Introduction

Pulmonary embolism (PE) occurs when there is a blockage of an artery in the lungs by a blood clot, which usually originates in the deep venous system of the lower extremities. They can also originate in the pelvic, renal, upper extremity veins or the right heart chamber (<10% cases) (Ouellette, 2020). Emboli can also originate from tumors, fat (long bone fractures), amniotic fluid, and foreign material during intravenous drug use. Clinical features are sudden onset of unexplained breathing difficulty, pleuritic chest pain, and hemoptysis. Signs include tachypnoea, tachycardia, hypoxemia, in severe cases, cardiovascular collapse and sudden death (Gibson, 2020).

Pulmonary embolism can occur after sustaining blunt chest trauma but is not a frequent phenomenon. Severe chest injury constitutes a newly recognized independent risk factor for pulmonary embolism in trauma patients (Jancin, 2011). Pulmonary embolism is usually a complication that, on average, occurs 4-7 days after serious injury (Manekar, 2007). The majority of pulmonary embolisms occurred during the first week of hospitalization, with some as early as 24 hours and none later than 15 days post-trauma (O`Malley, 1990). However, there is no definitive explanation for the cause and timing of pulmonary embolism in trauma patients (Lewis, 2013). Tissue injury after trauma can contribute to endothelial damage, which in turn can lead to hypercoagulability (Marx, 2007). We report a case of a young male patient who was diagnosed with pulmonary embolism after four days of blunt chest trauma.

Literature review

(Siddiqui et al, 2022) Siddiqui et al. mentioned that 33% of the reported pulmonary embolism (PE) incidents are directly related to early pulmonary embolism. The researchers used a retrospective design in this study and suggested a prospective one. The exact information of PE in trauma cases is generally independent of deep vein thrombosis (DVT), as described in this paper, and the risk of dreaded problems can be addressed by in vivo and in vitro studies. Higher rates of PE in trauma patients can be minimized by avoiding the delay in chemoprophylaxis.

1. Methods

Case presentation

A 30-year-old male patient presented to the emergency department with an accidental history of a fall in the bathroom four days back. The patient had a blunt injury to the chest. He developed breathing difficulty associated with fever, chest pain, and expectoration four days after the fall, for which he came to the hospital for evaluation and management. There was no significant past medical & drug history, no history of immobilization or malignancy.

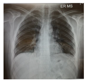
On initial examination in ED (Figure 1), pulse rate (PR) was 110/min, BP- 120/70 mmHg & Peripheral Oxygen Saturation (SPO2) was 89% on room air. An electrocardiogram (ECG) showed sinus tachycardia, and the Chest X-ray was normal. Figure 1 clearly indicates a small wedge-like triangular density in the left lower lobe of the right lung (Humpton’s hump).

Figure 1 ED of the Patient 

The patient was admitted to the ward and treated with IV antibiotics, analgesics, antipyretics, and oxygen therapy. Computed Tomography (CT) Chest (Figure 2) showed peripheral patchy areas of consolidation/atelectasis-like changes in the right middle, right lower lobes, and left lower lobe. It also shows the patient's lead Electrocardiogram (ECG), showing right ventricular strain (S1Q3T3 pattern), with mild T wave inversions in anterior leads.

Figure 2 Lead ECG 

But in spite of treatment, his symptoms started to worsen; he had tachypnea, persistent hypoxemia, and chest pain. RRT was announced in the ward, and the patient was shifted to the Medical Intensive Care Unit (MICU) for further care and stabilization. In MICU, the patient was kept on NIV for hypoxemia, and analgesics were started. 2D ECHO was done, which showed mild MR (Mitral Regurgitation), mild TR (Tricuspid Regurgitation), and EF (Ejection Fraction) approx. 55%, RVSP 55mm Hg (Right Ventricular Systolic Pressure).

In view of high suspicion of pulmonary embolism in ECHO, CT Pulmonary angiography was done (Figure 3) which showed moderate pulmonary thromboembolism with evidence of hypodense thrombus seen at ramification of bilateral pulmonary arteries (Rt>Lt) extending in segmental branches causing marked occlusion of segmental branches of right lower lobe & lateral segmental branch of left lower lobe & partial occlusion of segmental branches on bilateral upper & lower lobes. A bilateral lower limb Doppler (Figure 4) was done, and no evidence of DVT was found. Treatment with LMWH was initiated. Intravenous thrombolysis was not planned as the patient was hemodynamically stable. A Thrombophilia profile test was sent, which came to be negative. Trop I was 0.06 & NT -proBNP was 426. He responded initially to conservative management, but however, he had persistent high O2 requirement and tachypnea requiring NIV support. He continued to have chest pain on day 5 of ICU admission. His repeat echo was done, which showed dilated RA (Right Atrium) and RV (Right Ventricular) with RVSP 65 mmHg. In view of severe symptoms and right ventricular dysfunction, the patient was planned for catheter-directed thrombolysis. CT Pulmonary Angiography of the Patient showed hypodense thrombus at the ramification of bilateral pulmonary arteries (Rt>Lt) extending in segmental branches of both Right and left lower lobes.

Figure 3 CT Pulmonary Angiography 

Figure 4 Bilateral lower limb Doppler 

Catheter-directed intra-arterial thrombolysis was done (Figure 5) with Reteplase, and two bolus injections of 5 units at an interval of 20 minutes were given by an interventional radiologist.

Figure 5 Catheter-directed intra-arterial thrombolysis 

The patient was then started on Inj. Heparin infusion for clot dissolution and stabilization with APTT monitoring. The next day, ECHO was done, which showed improvement in RV function, normal cardiac chambers, trace MR, TR, RVSP 45 mmHg. He remained hemodynamically stable, his oxygen requirement reduced gradually, and he shifted out of the ICU. He was then discharged and started on a novel oral anticoagulant, i.e., Rivaroxaban therapy.

2. Results

Our patient was discharged on the novel oral anticoagulant Rivaroxaban. It is one of the first available direct factor Xa inhibitors, recommended for use in venous thromboembolism. It allows predictable anticoagulation and routine coagulation monitoring is not required, unlike warfarin (Electronic Medicines Compendium, 2023).

3. Discussion

Acute pulmonary embolism in young adults is not very common. Pulmonary embolism can present without DVT i.e., can originate de novo (DNPE). In one series, i.e., 11,330 patients evaluated by trauma service, DNPE seems to be more prevalent after trauma in 61%, likely representing a local response to injury or inflammation; however, further research is warranted (Van Gent et al., 2014). There is still no definitive explanation for the cause and timing of pulmonary embolism in trauma patients. Coagulation and fibrinolysis are triggered immediately after trauma due to direct tissue injury. The incidence of pulmonary embolism was shown to be 0.5% in high-risk patients (multiple fractures or spinal cord injuries) and 0.2% in patients not at increased risk. Our patient Well’s score (1.5) and pulmonary embolism severity index score (<65%), both were low risk for pulmonary embolism (Van Gent et al., 2014). Our case was not thrombosed systemically as the patient was hemodynamically stable; therefore started with a therapeutic dose of LMWH. The treatment of choice for small to submassive pulmonary embolisms with hemodynamic stability is standard anticoagulation like low molecular weight heparin, unfractionated heparin, factor Xa inhibitors, and direct thrombin antagonists (U Nazir, 2022). However, due to worsening symptoms, RV dysfunction, and hemoptysis, the patient was taken for catheter-directed thrombolysis. About 40% of patients with acute pulmonary embolism have normal blood pressure but can have some evidence of RV dysfunction (Sharma et al., 2022). Assessment of RV dysfunction by ECHO is helpful in guiding aggressive treatment like thrombolysis (ten Wolde et al., 2004). Catheter-directed thrombolysis with Reteplase is rapid and safe in comparison to systemic thrombolytics as the dose requirement is reduced and has less risk of hemorrhage (Kuo et al., 2009). Reteplase is a plasminogen activator used in the treatment of occlusive thrombotic disorders (Simpson et al., 2006).

Conclusion

It is important for clinicians to consider pulmonary embolism in the differential diagnosis of patients with respiratory compromise, hypoxia, and chest pain, especially in thoracic trauma other than atelectasis, hemothorax, lung contusion, or pneumonia (Marx J. A., 2007). Trauma produces a state of hypercoagulability (Selby, 2009), which can result in pulmonary embolism. Pulmonary embolism remains a disease that requires clinical suspicion so as not to miss the fatal disease. Regional thrombolysis is safe and effective in certain conditions over systemic therapy. The results obtained from this analysis conducted retrospectively are anticipated to contribute to raising awareness of early diagnosis of embolism in the context of trauma. The practitioner follows the defined treatment protocol.

Abbreviations

APTT: Activated Partial Thromboplastin Time, ECG: Electrocardiogram, ED: Emergency department, CT: Computed Tomography, EF: Ejection Fraction, RRT: Rapid response team, NIV: Non-invasive ventilation, DVT: Deep venous thrombosis, LMWH: Low molecular weight heparin, n T pro BNP: N terminal pro b-type natriuretic peptide, PE: Pulmonary embolism, RVSP: right ventricular systolic pressure, MR: Mitral Regurgitation, PR: Pulse Rate, SPO2: Peripheral Oxygen Saturation, TR: Tricuspid Regurgitation, RA: Right Atrium, RV: Right Ventricular.

Author contributions

Conceptualization, S.G. and H.G.; data curation, S.G. and H.G.; formal analysis, S.G. and H.G.; investigation, S.G. and H.G.; methodology, S.G. and H.G.; project administration, S.G. and H.G.; supervision, S.G. and H.G.; validation, S.G. and H.G.; visualization, S.G. and H.G.; writing-original draft, S.G. and H.G.; writing-review and editing, S.G. and H.G.

Conflicts of interest

The authors declare no conflict of interest.

References

Electronic Medicines Compendium (2023). Xarelto 20mg film-coated tablets. EMC. https://www.medicines.org.uk/emc/product/2793/smpc#companyDetailsLinks ]

Gibson, C. M. (2020). Pulmonary embolism natural history, complications and prognosis. https://encurtador.com.br/zeLlrLinks ]

Jancin, B. (2011). Pulmonary Embolism Risk Higher With Traumatic Chest Injury. MDedge. https://www.mdedge.com/content/pulmonary-embolism-risk-higher-traumatic-chest-injuryLinks ]

Kuo, W. T., Gould, M. K., Louie, J. D., Rosenberg, J. K., Sze, D. Y., & Hofmann, L. V. (2009). Catheter-directed therapy for the treatment of massive pulmonary embolism: Systematic review and meta-analysis of modern techniques. Journal of Vascular and Interventional Radiology: JVIR, 20(11), 1431-1440. https://doi.org/10.1016/j.jvir.2009.08.002 [ Links ]

Lewis, C., Mustafa, D., Wilson, K., & Danner, O. (2013). Pulmonary embolism diagnosed immediately following blunt trauma. International Journal of Case Reports and Images, 4(5), 248-251. doi:10.5348/ijcri-2013-05-305-CR-2. https://www.ijcasereportsandimages.com/archive/2013/005-2013-ijcri/002-05-2013-lewis/ijcri-00205201322-lewis-full-text.phpLinks ]

Marx, J. A. (2007). Pulmonary Embolism Can Occur Early After Trauma. J Trauma, 63(620). https://www.jwatch.org/em200710260000001/2007/10/26/pulmonary-embolism-can-occur-early-after-traumaLinks ]

Menaker, J., Stein, D. M., & Scalea, T. M. (2007). Incidence of early pulmonary embolism after injury. The Journal of Trauma, 63(3), 620-624. https://doi.org/10.1097/TA.0b013e31812f60aa [ Links ]

O’Malley, K. F., & Ross, S. E. (1990). Pulmonary embolism in major trauma patients. The Journal of Trauma , 30(6), 748-750. https://doi.org/10.1097/00005373-199006000-00018 [ Links ]

Ouellette, D. R. (2020). Pulmonary Embolism (PE). Medscape , 300901, 1-59. doi:https://emedicine.medscape.com/article/300901Links ]

Selby, R., Geerts, W., Ofosu, F. A., Craven, S., Dewar, L., Phillips, A., & Szalai, J. P. (2009). Hypercoagulability after trauma: Hemostatic changes and relationship to venous thromboembolism. Thrombosis Research, 124(3), 281-287. https://doi.org/10.1016/j.thromres.2008.10.002 [ Links ]

Sharma, G., Kothari, S. S., & Bahl, V. K. (2002). Thrombolytic therapy for acute pulmonary embolism. Indian Heart Journal, 54(6), 667-671. https://pubmed.ncbi.nlm.nih.gov/12674177/Links ]

Siddiqui, T., Asim, M., Ahmed, K., Mathradikkal, S., Bakhsh, Z., Masood, M., Al-Hassani, A., Nabir, S., Ahmed, N., Strandvik, G., El-Menyar, A., & Al-Thani, H. (2022). Clinical Characteristics and Risk Factors for Early versus Late Pulmonary Embolism in Trauma Patients: A Retrospective, Observational Study. International Journal of General Medicine, 15, 7867-7878. https://doi.org/10.2147/IJGM.S387880 [ Links ]

Simpson, D., Siddiqui, M. A. A., Scott, L. J., & Hilleman, D. E. (2006). Reteplase: A review of its use in the management of thrombotic occlusive disorders. American Journal of Cardiovascular Drugs: Drugs, Devices, and Other Interventions, 6(4), 265-285. https://doi.org/10.2165/00129784-200606040-00007 [ Links ]

ten Wolde, M., Söhne, M., Quak, E., Mac Gillavry, M. R., & Büller, H. R. (2004). Prognostic value of echocardiographically assessed right ventricular dysfunction in patients with pulmonary embolism. Archives of Internal Medicine, 164(15), 1685-1689. https://doi.org/10.1001/archinte.164.15.1685 [ Links ]

U Nazir, P. B. (2022). Role of thrombolytics in the management of submassive pulmonary embolism. OA Critical Care, 2(1). [ Links ]

Van Gent, J.-M., Zander, A. L., Olson, E. J., Shackford, S. R., Dunne, C. E., Sise, C. B., Badiee, J., Schechter, M. S., & Sise, M. J. (2014). Pulmonary embolism without deep venous thrombosis: De novo or missed deep venous thrombosis? The Journal of Trauma and Acute Care Surgery, 76(5), 1270-1274. https://doi.org/10.1097/TA.0000000000000233 [ Links ]

Received: February 14, 2024; Accepted: May 29, 2024

Corresponding Author Hima Gupta Orchid Island, Sector -51 122001- Gurgaon - India himagupta17@gmail.com

Creative Commons License This is an open-access article distributed under the terms of the Creative Commons Attribution License