A 75-year-old female presented to the emergency department with fatigue. She denied overt gastrointes-tinal blood loss or other gastrointestinal symptoms. Laboratory work showed iron deficiency anemia (Hb 9.2 g/dL, iron 18 μg/dL, ferritin 7.6 mg/dL, and transferrin saturation 3%).
Her past medical history was notable for atrial fibrillation under apixaban and a 6-month history of intermittent upper quadrant abdominal pain and vomiting under investigation in an outpatient clinic. Recent upper and lower gastrointestinal endoscopic exams were unremarkable.
After receiving intravenous iron supplementation, she was discharged to a gastroenterology consultation, where a small bowel capsule endoscopy was requested to proceed with the iron deficiency anemia etiologic investigation. By this time, the patient denied having abdominal pain and vomiting in the previous months. This examination was incomplete due to capsule retention in a segment with multiple diverticula with friable mucosa (shown in Fig. 1a-c). Capsule expulsion was later con-firmed by the patient.

Fig. 1 a-c Jejunal diverticulosis identified in small bowel capsule endoscopy, with friable mucosa in (c).
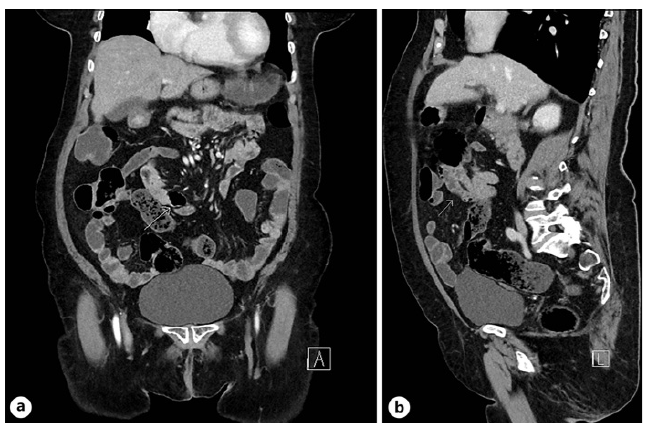
Abdominal computed tomography revealed hernia-tion of intestinal loops through the fossa of Waldeyer associated with partial mesenteric torsion without up-stream dilation, compatible with a right paraduodenal internal hernia. Within these herniated jejunal loops, several small bowel diverticula were noted, the largest measuring 28 mm (shown in Fig. 2a, b).

Fig. 2 a Right paraduodenal internal hernia identified in abdominal computed tomography (arrow indicates diverticulum) - coronal plane. b Right paraduodenal internal hernia identified in abdominal computed tomography (arrow indicates herniated intestinal loop) - sagittal plane.
The diagnosis of right paraduodenal hernia with acquired jejunal diverticulosis was made. Although these two particularly rare entities have been described separately, exceptionally they can be present in association, where it is hypothesized that the jejunal diverticulosis is secondary to high intraluminal pressures within the herniated segment [1, 2]. Furthermore, this case depicts the third reported case of this diagnosis in the literature, as well as its first reported capsule endoscopy iconography, which triggered computed tomography investigation and made the final diagnosis possible [2, 3]. This diagnosis was considered the cause of the iron deficiency anemia since the intestinal mucosa in the diverticula area was friable, which in the context of anticoagulation could lead to chronic blood losses. No other cases of jejunal diverticulosis secondary to paraduodenal hernia manifesting as iron deficiency anemia were found in the literature.
Although extremely uncommon, it is important to be aware of this diagnosis in the presence of otherwise unexplained current or past abdominal pain, particularly when accompanied by other signs, namely vomiting and iron deficiency anemia since internal hernias may course with acute and severe complications such as perforation or bowel obstruction [4]. We also highlight the importance of considering this diagnosis even in older patients or in the absence of persistent abdominal symptoms. The case was discussed with the surgical team, however, since the patient remained asymptomatic and with good hematologic response for oral iron supplementation, surveillance was decided, with a low threshold for surgical repair of paraduodenal hernia in case of symptomatic recurrence or refractory iron deficiency anemia.













