Introduction
Chronic diarrhea is a gastrointestinal symptom that often requires a dedicated and thorough diagnostic work-up to correctly identify the underlying pathologic etiology. The pathophysiologic background of both eosino-philic colitis (EC) and hypereosinophilic syndrome (HES) with colic involvement is the tissue infiltration by eosinophils and consequent organ dysfunction. In fact, both are very rare clinical entities that can manifest with diarrhea and other general gastrointestinal symptoms. Due to the nonspecific nature of the symptoms, the diagnosis is often challenging and a high level of clinical suspicion is needed, especially when other more frequent causes have been excluded. We report an uncommon case of EC of a patient presenting with chronic diarrhea with discussion of the workup and etiologic investigation to highlight the diagnostic challenges and therapeutic possibilities.
Case Report
We present a case of a Portuguese 82-year-old male, ex-immigrant from Venezuela, with a past medical history of type 2 diabetes mellitus, chronic normocytic normochromic anemia, and chronic kidney disease stage IIIa (KDIGO classification). The pa-tient was medicated with atorvastatin, perindopril, amlodipine, furosemide, metformin/sitagliptin, mirtazapine. He presented to the emergency department with a 1-month history of diarrhea. He complained of intermittent episodes of watery diarrhea up to 4-5 bowel movements a day with concomitant abdominal pain. The patient denied bloody stools, fever, weight loss or other constitu-tional symptom, recent antibiotic therapy, family history of in-flammatory bowel disease, pulmonary or allergic symptoms. Physical examination revealed signs of dehydration, and gastrointestinal examination was unremarkable.
Laboratory workup showed a hemoglobin of 10 g/dL, normocytic and normochromic, hypereosinophilia of 1,900/μL, acute kidney injury with increased serum creatinine of 9.64 mg/dL (baseline value 1.21 mg/dL) with metabolic acidosis with pH 7.26, blood urea nitrogen of 277 mg/dL, and hyperkalemia of 6 mEq/L, without increased inflammatory parameters. He was admitted to the intermediate care unit and started intensive fluid administration with significant clinical and analytic improvement in the first 24 h, and then transferred to the general ward for further etiologic investigation. At admission, the problem addressed was essentially the chronic diarrhea and the documented blood hypereosinophilia. Peripheric blood smear and a protein electrophoresis revealed no abnormalities, and the immunoglobulin-level analysis revealed an isolated rise in the IgE fraction (1,106 kU/L).
Celiac disease antibodies and broad autoimmunity antibodies (such as ANAs, ANCAs, anti-dsDNA, anti-ENAs, and rheumatoid factor) were within normal range. Stool microbiologic evaluation (bacteriological, including T. whipplei, virological and parasitological, including Giardia antigens) was unremarkable (3 distinct samples). Fecal calprotectin was elevated (246 μg/g).
From stool observation under the microscope, it was reported the presence of Charcot-Leyden crystals which, according to the literature, might be indicative of a disease involving eosinophilic inflammation or proliferation, such as that found in allergic reactions and parasitic infections [1]. During the hospital course, his daily laboratory tests were remarkable for constant eosinophil predominance, with a maximum value of absolute eosinophil count above 4,000/μL.
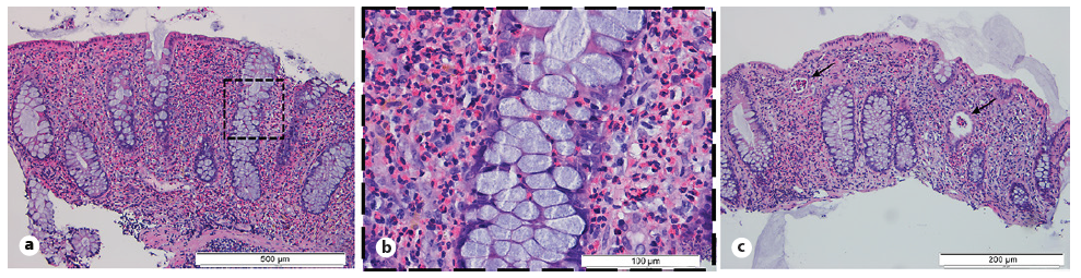
Upper gastrointestinal endoscopy revealed no macroscopic or histopathologic findings (duodenal biopsies were not performed). An ileocolonoscopy was then performed, and no macroscopic changes were found (shown in Fig. 1); multiple biopsies were taken along the various colonic segments to exclude microscopic and EC. The histopathological examination of the colonic biopsies reported moderate to marked polymorphic inflammatory infiltrate rich in eosinophils, focal erosion of the lining epithelium, and focal cryptitis lesions with a predominance of eosinophils (shown in Fig. 2a-c). The patient also underwent video capsule endoscopy that revealed no pathologic findings.

Fig. 2. a Colon biopsy that shows a high number of eosinophils per HPF. Hematoxylin and eosin. b Colon biopsy. Close-up of (a) that shows eosinophilic infiltration of lamina propria suggesting eosinophilic colitis. Hematoxylin and eosin. c The arrows in the panel show crypt abscesses that consists almost entirely of eosinophils. There are also an increased number of eosinophils in the lamina propria. Hematoxylin and eosin.
Therefore, with these histological findings of colonic mucosa with chronic inflammatory lesions and marked polymorphic inflammatory infiltrate rich in eosinophils in a patient with chronic diarrhea and peripheral eosinophilia, we considered the diagnostic hypothesis of EC or a HES with colic involvement that are two overlapping disorders. The case was discussed in a multidisciplinary setting. Immunoallergology experts considered that given the age and the absence of possible allergic culprits, an allergic contribution for the eosinophilic involvement seemed unlikely. From the perspective of the hematology-oncology team, after revision of the patient clinical data and the performance of medullar biopsy, the possibility of a neoplasic process was discarded. After discussion with the gastroenterology team, a trial of corticosteroid therapy with prednisolone was recommended.
Regarding the potential involvement of other organs, a chest CT and echocardiogram were performed, which excluded involvement and dysfunction of those organs. In fact, a patient with considerable peripheral eosinophilia and a histological result showing infiltration and chronic inflammation by eosinophils met the diagnostic criteria for EC and therefore we established the diagnosis.
Due to the need of immunosuppressive therapy, the risk of exposure to Strongyloides stercoralis (patient lived in an endemic area - Venezuela) was considered and empirical ivermectin 15 mg daily for 2 days was administered. The patient then started prednisolone 40 mg daily, with analytical improvement and complete resolution of peripheral eosinophilia and clinical improvement of diarrhea after 5 days.
At discharge, he was instructed to take prednisolone 40 mg daily with slow tapering (2 months) and was referred for outpatient clinic of internal medicine and gastroenterology. No other changes were introduced to the patient’s usual medication.
After stopping prednisolone, the patient had recurrence of peripheric eosinophilia and gastrointestinal symptoms with diarrhea leading to acute-on-chronic kidney injury requiring re-hospitalization. After reintroduction of prednisolone and slower tapering strategy, he presented clinical and analytical normalization, demanding at least 10 mg of prednisolone to avoid recurrence of symptoms.
Discussion
In this article, we presented a case of EC which is virtually indistinguishable from HES with colic involvement. HES is a group of disorders characterized by a permanent overproduction of eosinophils, associated with impairment of one or more organs due to eosinophilic involvement. The diagnosis should be considered in patients with sustained blood eosinophilia (>1.5 × 109/L) with eosinophil-mediated organ damage [2]. The HES has many subgroups and an organized and systematic diagnostic workup. We focused on the gastrointestinal involvement of the syndrome which corresponds only to 14% of the cases of HES. When isolated, it refers to a variant of the syndrome called organ-restricted hypereosinophilic condition that applies to blood eosinophilia with a single organ involvement. In fact, this entity can also be characterized by lower levels of peripheral eosinophilia with clear-cut organ involvement. Therefore, plenty of eosinophilic conditions such as eosinophilic gastrointestinal disorders can be difficult or impossible to distinguish from HES when hypereosinophilia is present. Overlapping diseases comprise a broad range of single organ-restricted eosinophilic disorders, such as considering the exclusive involvement of the colon is the case of EC.
EC is a rare gastrointestinal disease and the least frequent manifestation of primary eosinophilic gastrointestinal disorders [3, 4]. Its incidence is difficult to estimate owing to the rarity of the disease; a review article of 2010 defines it as “exceptionally rare” mentioning a few cases being reported since 1979 [5, 6]. It can affect both adults and children. The pathophysiology of primary EC seems to be related to atopic processes, presenting mainly as a food allergy in infants and T lymphocytemediated (i.e., non-IgE related) in older patients [3, 7].
It is a heterogeneous entity characterized by focal or diffuse infiltration of eosinophils in the colon in the absence of secondary causes. The secondary forms are related to infections (manly parasitic infections), inflammatory bowel disease, celiac disease, drug-induced reactions (identified drugs are clozapine, carbamazepine, rifampicin, gold, naproxen, among others), neoplasia, connective tissue diseases, HES, and other causes [2, 8, 9]. By definition, EC might or not be associated with peripheral eosinophilia and so the differential diagnosis between the two is in clinical practice of no significance [2, 5, 7].
Clinical presentation may vary depending on location as well as depth and extent of bowel wall eosinophilic infiltration. The patients might report crampy generalized abdominal pain, diarrhea (bloody or nonbloody), and/or weight loss [5, 10]. It usually runs a chronic relapsing course.
In patients with EC, endoscopic changes are rather modest and not characteristic and so endoscopy might reveal edematous mucosa with a loss of the normal vascular pattern, patchy erythematous changes, and even superficial ulcerations [5, 11]. Colonic biopsies should be obtained and analyzed, but there is no established consensus for the histological diagnosis of EC; indeed, there is no defined cut-off for the number of eosinophils/high-power field (HPF) in the colonic mucosa in order to make a definitive diagnosis of this entity [5]. In fact, small amounts of eosinophils are normally present in the mucosa as a host defense mechanism. Therefore, the diagnosis should be confirmed by an experienced gastrointesti-nal pathologist to assess if the number of eosinophils is more than expected for a particular area [7].
Normal values for tissue eosinophils vary widely between different segments of the colon, and we found conflicting data on the literature. Some authors advocate a cut-off of 15-25 eosinophils per HPF without specifying the segment [3]. Other researchers claim that they are usually more numerous in the cecum and ascending colon than elsewhere and therefore the cut-off should have this evidence into account [8]. Other group of investigators had suggested other cut-off values [12], for example: right colon >100/HPF, transverse and descending colon >84/HPF, rectosigmoid colon >64/HPF. Regardless of the absence of diagnostic criteria, it is well accepted that clinical background is important as well as the location of the biopsy for interpretation of findings. In our case, even though the number of eosinophils/HPF was not re-ported, the abnormal high abundance of these cells was highlighted.
In the histopathology analysis, eosinophils infiltrating the crypts or focal collections of 10 or more eosinophils/HPF can be expected, in the absence of other identifiable abnormalities. Some histopathological similarities to chronic inflammatory bowel disease can also be found [8, 9].
There is no standard treatment regime for EC. The treatment choice for EC is based on the severity of symptoms. Dietary therapy with an empiric eviction diet is reasonable in patients with malabsorption and works best for those who have a stronger allergenic background (specially children).
Pharmacologic treatment for both HES (nonmyeloid variants) and EC is a trial of corticosteroid therapy with prednisolone (20-40 mg/day) with subsequent rapid tapering [11, 13]. The goal is to control the symptoms with the minimum dose possible. Some individuals might need more prolonged therapy or might even need long-term, low-dose maintenance therapy (for example, prednisolone 5-10 mg per day) [14]. Alternatively, budesonide is also listed as a possible treatment weapon [5, 11]. In severe, refractory, or steroid-dependent EC immunomodulatory drugs like those indicated for inflammatory bowel disease such as azathioprine or 6-mercaptopurine might be used [11]. The possibility of using montelukast, a leukotriene receptor antagonist, as a steroid-sparing therapy was also raised, and there are some studies and case reports that support its efficacy [15, 16]. Other drugs can also be used in the treatment of EC, namely, antihistamines such as ketotifen; mast cell stabilizers such as sodium cromoglycate; biological agents such as omalizumab and mepolizumab, all with varying proved efficacy [11].
The presentation of this case demonstrates that, although EC and HES with colic involvement are rare diseases, we should always pursue the underlying pathologic process. In this clinical setting, the peripheral eosinophilia gave us some guidance and supported the diagnosis, but it is not always the case and we should maintain a high level of clinical suspicion. It is essential that we perform a detailed clinical history to identify or exclude an atopic background and dismiss other possible causes of hypereosinophilia. The histopathological examination is essential, despite the lack of diagnostic criteria and clear cut-offs. The treatment decision should always be discussed, and the clinical response must be monitored closely to promptly identify refractory patients that may need subsequent treatment with other pharmacological targets.
In conclusion, EC is a rare disorder that it is not easy to diagnose and has no standard treatment. In this case report, we describe the diagnosis workup and a treatment approach that allowed clinical improvement of this patient (online suppl. Table 1; for all online suppl. material, see https://www.karger.com/doi/10.1159/000526853).















