Introduction
Pyogenic granuloma (PG), more correctly known as lobular capillary hemangioma, is a benign vascular tumor lesion of the skin or mucosa, which can bleed easily after minor trauma. It occurs most frequently between 20 and 40 years of age1. Although the sex ratio is not consensual in the literature, it is known that PGs that originate from the mucosa, are twice as common in women, and that they are associated with hormonal changes, particularly those occurring during pregnancy1-3. In addition to hormonal influences, local trauma or irritation have also been identified as possible etiological factors4.
PG occurs most frequently in the head and neck region, followed by the upper limbs, trunk, and finally the lower limbs2. In the head and neck region, location in the external ear is very rare, with only 7 cases published in the last 20 years1,3-8. Clinical cases published in the literature describe the appearance of this lesion in the external auditory canal and ear pinna. It can rapidly grow and obstruct external auditory canal, leading to conductive hearing loss7. In one case, an association with previous location of ear piercing was described8. We present a clinical case of a PG in the cymba concha region, in a young woman with no apparent triggering factors.
Clinical case
A 20-year-old woman, with no past medical history, presented to the emergency department with a pedunculated, rounded and friable lesion in the region of the cymba concha of the right auricle. The lesion appeared approximately 3 weeks earlier, initially as a small bump that the patient associated with the presence of a furuncle. The patient scratched the lesion, which bled and became smaller. However, it grew again, becoming larger (figure 1A) and easily bleeding, so the patient decided to seek healthcare.

Figure 1 A - a small pedunculated, round and friable lesion on the cymba concha of the right auricle. B - an excisional biopsy was done after local anesthesia. C - an almost imperceptible scab was present at excision site 1 week later. D - no signs of recurrence and no aesthetic sequelae after 6 months.
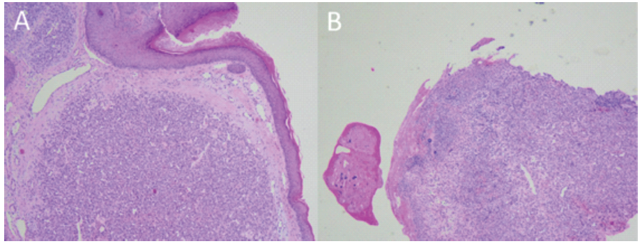
The clinical history was suggestive of the presence of a PG, so an excisional biopsy was performed under local anesthesia (injection into the pedicle region of a pre-made solution of 1% lidocaine with 1:200,000 adrenaline), under microscopic visualization, followed by suture with 4-0 silk (figure 1B). Histopathological analysis confirmed the diagnosis (figure 2).

Figure 2 A - Lobular pattern proliferation of capillary-like vessels. B - Ulcerated area of the lesion.
One week after excision of the lesion, there was a small scab in the excision area (Figure 1C). Six months after excision, she did not present any aesthetic changes or signs of local recurrence (Figure 1D).
Discussion
Pyogenic granuloma of the ear is a rare lesion. The most affected site that has been reported in the literature is the head and neck region, as described in the review of 408 cases published by Giblin and colleagues2; in their work, 36% of cases relate to this region, with the lips (23.2%), cheek (18%), intraoral (17.4%) and neck (13%) reflecting most cases; the ear represented only 3% of cases related to this region. Koo and colleagues also did a retrospective analysis of 155 cases and found that 30% of the lesions were located on various regions of the face; they do not describe any lesions in the ear region9.
Although some etiological associations have been suggested, our case, like most cases described in the literature, appears to have none.
Differential diagnosis includes many other lesions (such as spitz naevus, common warts, true haemangiomas, amelanotic melanoma, squamous cell carcinoma, spindle cell tumours, amongst others) (2, but this case demonstrates that, with a high index of suspicion, the diagnosis must be made based on an excisional.
PG is a lesion that grows rapidly, and failure to remove it from the ear region can lead to functional changes, such as conductive hearing loss due to obstruction of the external auditory canal, as well as hemorrhage and aesthetic changes. Several treatments have been proposed for the treatment of these injuries, with different success rates2. The main objectives should be complete removal of the lesion and an aesthetically acceptable result. Pagliai and colleagues contacted the parents of 76 children previously treated for pyogenic granulomas with different treatments (surgical excision, cauterization, laser) and between 33 and 55% reported some subtle scarring, depending on the technique used; however, regardless of the technique used, 100% were satisfied with the cosmetic result10. Our case shows that, depending on the location of the lesion, an excellent functional and aesthetic result can be obtained with a simple surgical procedure, under local anesthesia.
Conflict of interest
The authors declare that they have no conflict of interest regarding this article.
Data confidentiality
The authors declare that they followed their work protocols when publishing patient data.
People and animals’ protection
The authors declare that the procedures followed are in accordance with the regulations established by the directors of the Committee for Clinical Research and Ethics and in accordance with the Declaration of Helsinki of the World Medical Association.














