Introduction
Pott's puffy tumor (PPT) refers to the frontal subperiosteal abscess, that manifests as swelling in the frontal region associated with osteomyelitis 1. First described by Percival Pott in 1760 as a lesion led by trauma, was later related to a complication from frontal sinusitis 2.
Adolescents are the most affected group, although it can also happen to adults. The infection spread through bone erosions or septic thrombosis (through Haversian canal), which explains why it is often associated with orbital and intracranial complications such as meningitis, epidural empyema, and venous sinus thrombosis 3.
Even though it is a very rare entity since the beginning of the use of antibiotics, it can still occur when the sinusitis is misdiagnosed or not properly treated. Early diagnosis and effective antibiotic and endoscopic treatment when required, are essential to prevent intracranial progression and reduce morbidity and mortality 4.
Case description
We present a case of a 12-year-old patient who manifested symptoms of fever, purulent rhinorrhea, and incipient frontal swelling. Oral antibiotics (amoxicillin - 500mg/ 8h) and corticosteroids (prednisone - 0,5 mg/kg/24h) were prescribed by the pediatrician but 48 hours after initiating treatment symptoms worsened with appearance of headache, a temperature of up to 39 degrees, and increase of the frontal swelling (Fig.1) the patient was referred to our center.

Figure 1: Pott’s puffy tumor. Swelling in the frontal region due to a frontal subperiosteal abscess.
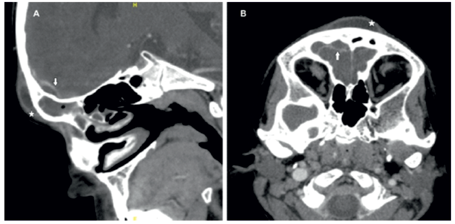
CT-scan presented occupation of the frontal sinuses and the anterior ethmoidal cells, right preseptal cellulitis and a frontal subperiosteal abscess (8x34x29mm) spreading intracranially through a frontal epidural empyema (8x38x23mm) (Fig.2).

Figure 2: Computed tomography (CT). Axial (A) and sagittal (B) post contrast computed tomography demonstrating a frontal subperiosteal abscess (*) and a frontal epidural empyema (arrow).
A limited endoscopic sinus surgery was performed to remove ostiomeatal complex pathology with drainage of the right maxillary through an antrostomy, opening of the anterior ethmoidal cells and a Draf I procedure on the right frontal sinus, as it was the largest and most affected sinus in the CT scan. Frontal subperiosteal abscess was successfully drained through a supraorbital incision and a drain was left for 48 hours. The drainage of the frontal abscess presented abundant pus discharge, unlike the sinus drainage, where the material had mucous characteristics. Microbiology reported a Eikenella corrodens in the purulent discharge.
The patient was treated initially with an intravenous antibiotic combination of cefotaxime (200 mg/kg/24h) and metronidazole (30 mg/kg/24h). After the culture result and sensitivity tests, metronidazole was withdrawn since isolated treatment with a third-generation cephalosporin such as cefotaxime guarantees coverage of gramm-negative microorganisms. The patient completed a 3-week intravenous treatment with cefotaxime only, continuing after discharge with oral Levofloxacin for 3 more weeks.
The patient was also evaluated by neurosurgery, who decided on conservative management of the frontal epidural empyema with close monitoring. The patient did not present any other neurological symptoms besides the frontal headache.
The control MRI performed 2 weeks after drainage confirmed radiological improvement of the sinusopathy and absence of intracranial collections, showing only residual meningeal uptake in the previous empyema region. The patient recovered without sequelae.
Discussion
Although very rare, this complication might occur after an episode of partially treated acute sinusitis or a delayed diagnosis. It has also been associated with frontal trauma, presenting in a more subacute form. In the differential diagnosis we must include skin and soft tissue infections, frontal hematomas and both benign and malignant soft tissue, bone, and frontal sinus tumors 5.
The anatomy of the frontal sinuses and their vascular structure could be the reason for PPT and it´s frequent association with orbital and intracranial complications. The thin-walled and valveless vessels called diploic veins drain the frontal sinuses and they might be responsible of facilitating hematogenous spread of sinus infection 6.
Some intracranial complications associated with this entity are meningitis, subdural and epidural empyema, cerebral abscess, and cavernous or superior sagittal sinus thrombosis, which can lead to serious damage if treatment is not started immediately. These complications may be asymptomatic until late in their course specially when the frontal lobe is involved. Special attention should be given to symptoms such as headache, nausea, vomiting, nuchal rigidity, or seizures that suggest intracranial complications 7,8.
An imaging evaluation will be required to document presence of infectious conditions and the extent of them. Both CT and MRI are valid imaging technologies for the diagnosis of this condition. Although MRI provides superior soft tissue resolution and it is preferred for the diagnosis of intracranial complications, the imaging test of choice is contrast-enhanced cranial CT-scan, due to its superior depiction of air-bone and air-soft tissue interfaces, that allows a better assessment of the sinus anatomy and pathology what is essential for the surgeon 9,10.
The most effective way to manage PPT involves using a combination of targeted antibiotics and surgical drainage when required, depending on the extent of the infection and intracranial implication. Acting quickly and effectively is crucial to prevent intracranial complications, like the epidural abscess described in our case report. Starting antibiotic treatment promptly when PPT is suspected and adjusting it based on lab results to target the specific bacteria causing the infection is essential. Typically, we start with a broad-spectrum antibiotic like third generation cephalosporin, which can penetrate the blood-brain barrier effectively. The supraciliary incision allows easy and safe access to drain the PPT without big cosmetic concerns related to the scar 11.
Performing endoscopic sinus surgery in cases of PPT will not always be necessary and should be determined on a case-by-case basis. Factors such as the severity of the condition, presence of intracranial complications, response to conservative treatments, and individual patient considerations should be considered when deciding on the appropriate treatment. In some cases, surgical intervention may be warranted to address underlying sinus pathology contributing to the condition or to drain abscesses effectively, however, there are also reports in which the response has been favorable with isolated antibiotic treatment 12.
Traditionally, the surgical management of PPT typically required an external approach. This method allowed for clear visualization of frontal sinus lesions but posed the risk of undesirable facial scarring. Recent advancements in technology and surgical techniques have expanded the use of endoscopic approaches, even extending to skull base and orbital pathology. With growing expertise and refined techniques, the success rates of endoscopic intranasal frontal sinusotomy now exceed those of external approaches 13.
The long-term outcomes of endonasal treatment in patients with Pott's puffy tumor demonstrate promising results. Studies have shown sustained resolution of symptoms and favorable disease control in most cases following endonasal surgical intervention. Specifically, the endoscopic approach offers several advantages, including improved visualization of affected areas, thorough removal of infected tissue, and effective drainage of sinus contents, which contribute to reduced rates of recurrence. Additionally, the endonasal approach minimizes the risk of cosmetic disfigurement and facial scarring associated with external surgical techniques.
The decision between Draf I and Draf III in the treatment of Pott's puffy tumor should be individualized based on the specific characteristics of the patient's disease and their overall health status. While Draf I offers a less invasive option with quicker recovery, Draf III provides more extensive disease clearance and may be necessary for cases with significant disease involvement. Careful consideration of the risks and benefits of each approach is essential to optimize patient outcomes.
Longitudinal follow-up studies have reported high patient satisfaction rates and low incidence of complications, highlighting the efficacy and safety of endonasal surgery in the management of PPT. Moreover, advancements in surgical technology and techniques continue to enhance the outcomes of endonasal procedures, further solidifying its role as a preferred treatment modality for this condition. However, in case of failure or difficulty accessing the frontal sinus endoscopically, external access must still be considered as an alternative in the treatment of PPT 13.
In our case, given that the patient had presented an unfavorable evolution despite conservative treatment, with an increase in the size of the frontal abscess and intracranial extension, a surgical approach was decided combining both endonasal and external approaches, associated with intravenous antibiotic treatment.
Antibiotic treatment should be prolonged for at least 6 weeks and a common combination is a third-generation cephalosporin, metronidazole, and vancomycin, that could be modified based on culture results. Cultures from patients with PPT very often reveal polymicrobial involvement and a significant number of anaerobic when intracranial complications are encountered. In our case Eikenella corrodens was isolated, that is a Gram-negative facultative anaerobic bacillus, commensal of the human mouth and upper respiratory tract, capable of acting as an opportunistic pathogen and causing abscesses in several anatomical sites 14,15.
Conclusion
Cases of Pott's tumor are still being reported, especially in adolescent males. It can very frequently be associated with intracranial complications; therefore, special attention should be paid to neurological symptoms. A cranial CT scan will allow us to make a definitive diagnosis and evaluate possible orbital or intracranial complications. Treatment should be started promptly and will be a combination of prolonged antibiotic therapy, endoscopic sinus surgery, and external drainage when required depending on the extent of the infection.
Declaration of competing interest
The authors declare no potential conflicts of interest with respect to the research, authorship, and/or publication of this article.
There are no financial conflicts of interest to disclose. We did not receive any financial support.













