Introdução
A Síndrome de Susac (SS) é uma microangiopatia imunomediada rara, pauci-inflamatória, que resulta em oclusões microvasculares que atingem preferencialmente as arteríolas cerebrais, retinianas e cocleares.1
Afeta sobretudo mulheres com idades compreendidas entre os 20 e os 40 anos, com um rácio sexo feminino:masculino de 3:1. (2
Classicamente, associa-se à tríade clínica de defeitos visuais, encefalopatia subaguda e hipoacusia neurossensorial (HNS).3 Contudo, existe uma grande variabilidade de apresentação e a tríade completa, embora detentora de uma elevada especificidade, raramente se manifesta nas fases iniciais, estando presente em menos de 20% dos doentes, (2,4-6 sendo necessário um elevado índice de suspeição.
Os sintomas neurológicos são geralmente os primeiros a surgir e, regra geral, dominam o quadro clínico. Porém, a gravidade da doença resulta essencialmente do atingimento retiniano, que pode manifestar-se por diminuição da acuidade visual, fotópsias ou escotomas cintilantes. A arteriopatia do ouvido interno atinge sobretudo o ápice coclear, resultando numa HNS de instalação súbita, por vezes bilateral.
O diagnóstico baseia-se na história clínica e nos achados da fundoscopia, angiografia fluoresceínica (AF), ressonância magnética cerebral (RMN-CE) e audiometria.
O exame do fundo ocular caracteriza-se pela presença de áreas de enfartes retinianos secundários à oclusão de ramos da artéria retiniana (ORAR) com circulação coroideia intacta e ausência de inflamação associada. (1 A AF tem grande utilidade pois permite a identificação das placas de Gass - zonas de hiperfluorescência da parede arterial proximais aos locais de oclusão e longe das bifurcações (contrastando com as ORAR) -, que correspondem ao extravasamento de lípidos dos vasos retinianos, traduzindo disfunção endotelial. Surgem habitualmente na fase aguda do quadro e apresentam flutuações de acordo com a atividade da doença, podendo desaparecer em resposta ao tratamento. (6,7
A RMN-CE revela atingimento da substância branca com lesões de predomínio supratentorial e no corpo caloso, hiperintensas em imagens ponderadas em T2, - lesões em “bola de neve” - que traduzem zonas de microenfartes; posteriormente, estas evoluem para lesões hipointensas em T2 - “holes”. (10
A avaliação formal da audição com audiograma tonal e vocal geralmente evidencia HNS bilateral assimétrica com predomínio nas frequências médias a baixas e com défice de discriminação. (8
Analiticamente, pode cursar com elevação dos agentes de fase aguda e, ocasionalmente, dos títulos de anticorpos anti-nucleares e anti-fosfolipídicos bem como dos fatores VIII e de von Willebrand, traduzindo disfunção endotelial subjacente. (4
O tratamento é particularmente desafiante, na medida em que a janela de oportunidade para prevenir danos irreversíveis é curta. A estratégia terapêutica assenta na utilização de corticoterapia endovenosa (EV) em altas doses, com desmame gradual, geralmente em combinação com um agente imunomodulador como a imunoglobulina EV. A duração e a intensidade do tratamento devem ser adaptados à clínica do doente. (5,9 Nos doentes com fatores de risco pró-trombóticos, pode ser benéfico o início de antiagregação e/ou hipocoagulação concomitante. (1
Com este trabalho pretende-se apresentar um caso clínico de SS, abordando as manifestações típicas, etapas diagnósticas, opções terapêuticas e respetivo impacto no prognóstico.
Descrição do Caso
Doente do sexo feminino, 34 anos, obesa, sem outros antecedentes pessoais ou familiares de relevo e sem medicação habitual à exceção de contraceção oral combinada.
Apresentava uma história com cerca de 2 meses de evolução de múltiplas idas ao Serviço de Urgência por queixas de cefaleia holocraniana refratária à analgesia associada a fonofotofobia e défices neurológicos focais, nomeadamente parestesias da hemiface e membro superior esquerdos, diplopia e ataxia. Posteriormente, iniciou quadro de vómitos incoercíveis, desequilíbrio, hipoacusia unilateral e acufeno, condicionando limitação funcional progressiva.
À avaliação inicial no Serviço de Urgência, apresentava lentificação psicomotora marcada e o exame neurológico sumário em concordância com a clínica descrita, sem alterações campimétricas ou défices de pares cranianos. Relativamente ao exame vestibular, não tinha nistagmo espontâneo ou na perseguição nem skew deviation e o head impulse testfoi negativo. Na prova de Romberg, apresentava desequilíbrio para a direita, embora sem outras alterações concordantes. A acumetria e a otoscopia não tinham alterações de relevo.

Figura 1 RMN-CE em corte axial com múltiplas lesões a envolver o corpo caloso e cápsula interna (cabeças de seta) sem captação de contraste em T2 (A) e com restrição à difusão (B)
Dos exames complementares de diagnóstico, realizados, não apresentava alterações analíticas de relevo. De destacar o eletroencefalograma com evidência de encefalopatia moderada a grave e a tomografia computorizada cerebral com exclusão de trombose venosa cerebral ou lesões ocupantes de espaço. A punção lombar revelou apenas hiperproteinorráquia, sem deteção de bandas oligoclonais e com exame microbiológico negativo. A RMN-CE mostrou múltiplas lesões hiperintensas em T2 a envolver o corpo caloso, sem captação de contraste e com áreas de restrição à difusão (Figura 1). No exame do fundo ocular, evidenciaram-se áreas de isquemia retiniana e a AF demonstrou múltiplos vasos com interrupção do fluxo e algumas imagens com hiperfluorescência da parede vascular longe das zonas de oclusão (Figura 2). O audiograma (ADG) tonal e vocal revelou HNS bilateral com predomínio esquerdo nas frequências mais elevadas (PTA de 46dB) (Figura 3).

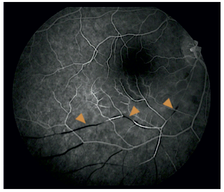
Figura 2 AF com hipoperfusão do ramo temporal inferior da artéria central retina (cabeças de seta) com isquemia da retina dependente desse ramo
Face aos achados clínicos, imagiológicos e audiométricos, foi levantada a hipótese de diagnóstico de SS e iniciada terapêutica com metilprednisolona EV 1g, com switch para prednisolona oral 1mg/Kg/dia após 5 dias, ácido acetilsalicílico e imunoglobulina EV com monitorização apertada da evolução clínica em regime de internamento.
Repetiu ADG após a primeira semana de tratamento, que mostrou agravamento da hipoacusia e atingimento concomitante das frequências médias-baixas (PTA de 66dB) (Figura 4).
Após duas semanas de internamento, teve alta para o domicílio com manutenção de vigilância clínica e audiométrica regular e indicação para oxigenoterapia hiperbárica (OHB). Completou 20 sessões no total, após as quais repetiu ADG que mostrou limiares sobreponíveis aos observados previamente ao tratamento.
Apresentou melhoria clínica inicial, com reagravamento das queixas neurológicas no primeiro mês após a alta e com necessidade de intensificação da terapêutica imunossupressora. Atualmente, mantém tratamento com prednisolona oral em esquema de desmame e rituximab, com melhoria apenas parcial das queixas neurológicas e persistência dos sintomas otológicos apesar do tratamento completo e atempado.
Discussão
No caso descrito, a presença de cefaleias persistentes, encefalopatia, défices neurológicos focais e HNS não explicados por atingimento de um único território vascular levantaram a suspeita de SS, posteriormente corroborada pelos achados da AF e RMN-CE.
De acordo com a literatura, a cefaleia é o sintoma prodrómico mais frequente (80% casos) e pode aparecer vários meses antes da encefalopatia. (1 Mais tarde, podem surgir alterações do estado de consciência e da memória, parésia de nervos cranianos, alterações comportamentais e, em última instância, convulsões e demência. (4
O diagnóstico diferencial com outras patologias de atingimento central com curso semelhante - como é o caso da esclerose múltipla e da encefalomielite aguda disseminada - é fundamental, sendo fulcral o estudo do líquido cefalorraquidiano. (10 Na SS, estão descritas alterações como hiperproteinorráquia e pleocitose linfocítica, sendo que as bandas oligoclonais estão geralmente ausentes4, tal como observado no caso descrito.
Embora o atingimento retiniano possa ter um grande impacto na qualidade de vida dos doentes, pode ser pauci-sintomático quando há atingimento preferencial da retina periférica1, tal como no caso descrito.
A presença de HNS com predomínio nas frequências mais elevadas contrasta com o atingimento predominante do ápice coclear e afetação das frequências mais baixas descrito na literatura. (4,7 Por outro lado, pode haver atingimento do sistema vestibular periférico, através da presença de vertigens e acufeno, (1 que pode dificultar o diagnóstico diferencial com Síndrome de Ménière. (11
Existe uma grande variabilidade na evolução natural da doença. Embora mais frequentemente apresente um curso monofásico e autolimitado, com resolução completa ao fim de dois anos sem lesões residuais, existem formas mais graves com um curso policíclico de surtos-remissões ou contínuo com sintomas prolongados no tempo, associadas a sequelas permanentes. (1-2, 5)
Deste modo, apesar da incerteza no diagnóstico, é crucial o início atempado do tratamento de modo a atrasar a progressão da doença e prevenir danos permanentes.
Nos casos de recidiva ou doentes refratários à terapêutica inicial, tal como no caso apresentado, outros imunossupressores podem ser utilizados (p.e. micofenolato de mofetil, ciclofosfamida, rituximab).
O recurso à OHB tem mostrado resultados promissores no tratamento das oclusões retinianas e da isquemia coclear. Contudo, enquanto que as alterações visuais tendem a resolver ou remitir com o início do tratamento, a hipoacusia é, geralmente, permanente. (1,5,11 De facto, a cóclea é mais suscetível à lesão isquémica irreversível e a janela de oportunidade é significativamente menor6. Nestes casos, a utilização de próteses auditivas ou implantes coleares pode estar indicada.
Apesar do prognóstico globalmente favorável, estão descritos vários casos de recorrência, inclusive vários anos após o diagnóstico inicial, por vezes em associação com a gravidez11. Neste sentido, é crucial manter uma monitorização ad eternum com avaliação clínica, imagiológica e audiométrica regulares.
Conclusão
A SS pode manifestar-se por HNS de causa não esclarecida. Apesar de ser uma patologia rara, os sintomas podem ser incapacitantes e condicionar um impacto significativo na qualidade de vida do doente, pelo que é importante lembrar esta condição na prática clínica.
Conflito de Interesses
Os autores declaram que não têm qualquer conflito de interesse relativo a este artigo.
Confidencialidade dos dados
Os autores declaram que seguiram os protocolos do seu trabalho na publicação dos dados de pacientes.
















