Introdução
O antigénio carbohidratado (CA) 19.9 é um marcador tumoral que tem como objectivo principal o acompanhamento de pacientes com doenças pancreático-biliares malignas. Os níveis deste marcador podem estar elevados em patologias benignas com diferentes origens: biliar,1 (…) gastrointestinal2 ou urológica.3
Embora a especificidade de um nível de CA 19.9 >1000 U/mL seja de 99% para cancro pancreático,4 existem certas patologias benignas que também podem provocar este tipo de elevação, nomeadamente, coledocolitíase, colangite, pancreatite aguda, diabetes e cirrose hepática.5,6
Em pacientes assintomáticos com CA 19.9 elevado, somente 2,8% são diagnosticados com doenças malignas, razão pela qual este antigénio não é recomendado como “screening”.7
Estudos recentes têm revelado dados alarmantes quanto a utilização indevida de marcadores tumorais como ferramenta clínica. Um estudo retrospetivo grego num hospital deste país, mostrou que menos de 10% dos pedidos dos marcadores tumorais foram adequados, acarretando custos enormes, sem contar, com os gastos decorrentes de outros exames complementares solicitados inapropriadamente após um falso positivo.8
O CA 19.9 é produzido por vários tecidos do trato intestinal e glândulas anexas, nomeadamente pâncreas, fígado, intestino, epitélio biliar. Este antigénio, normalmente, é transportado pelos ductos biliar e pancreático até ao duodeno onde é descarregado, sendo muito raramente libertado para o sangue. Pode estar elevado nas doenças biliares benignas pelos seguintes mecanismos patogénicos9:
A pressão excessiva nos canais biliares estimula as células dos mesmos a produzir uma maior quantidade deste antigénio;
A inflamação propicia a hiperplasia epitelial, dando origem à maior secreção do CA 19.9;
A obstrução biliar e a consequente colestase diminuem a sua excreção biliar, aumentando a sua absorção e elevando os seus níveis séricos.
Logo que a inflamação é tratada e/ou a obstrução de natureza benigna é resolvida os níveis deste antigénio voltam ao normal.
Caso clínico
Em 12/02/2020, uma paciente de 61 anos foi admitida na Urgência com dor abdominal, que irradiava para a região lombar. Estava sub-ictérico. Como antecedentes clínicos relevantes apresentava um internamento por pancreatite aguda litiásica em 06/10/2019.
Exame físico: Hemodinamicamente estável. O abdómen apresentava-se mole e depressível, sem defesa, mas com dor à palpação profunda no ponto vesicular.
Resultados laboratoriais: leucócitos: 17,14×103 /µL; neutrófilos: 15,77×103 /µL aspartato aminotransferase (AST): 213 U/L; alanina aminotransferase (ALT): 251 U/L; bilirrubina total: 2,40 mg/dL; bilirrubina direta: 1,81 mg/dL; Gama-GT (GGT): 664 U/L; fosfatase alcalina (FA): 255 U/L; lactato desidrogenase (LDH): 308 U/L.

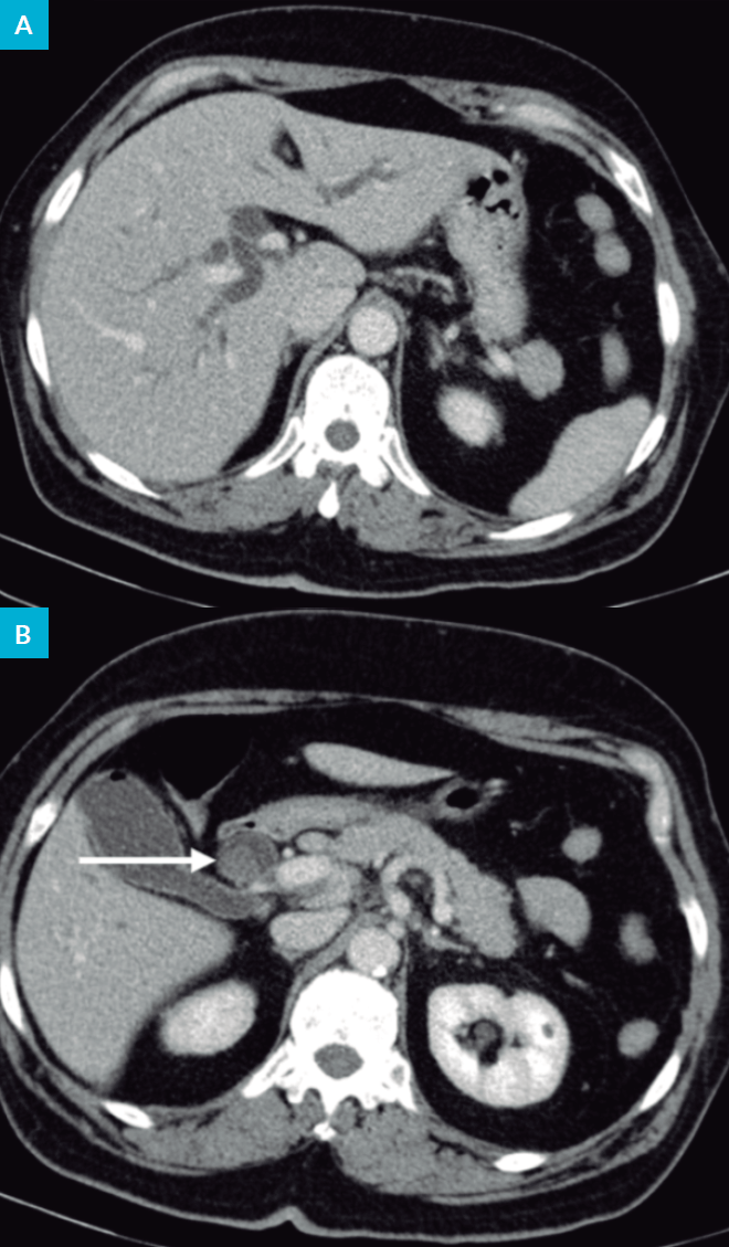
Figura 1: TC abdominal. A - Vias biliares intra-hepáticas dilatadas. B - Cálculo no interior do colédoco (?).
Tomografia computorizada (TC) abdominal: “Dilatação das vias biliares intra-hepáticas (VBIH) e da via biliar principal (VBP) de 18 mm, até ao segmento peri-pancreático/papila. Vesícula biliar em moderada repleção, com parede fina e sem sinais de litíase cálcica. Cálculo no colédoco? Adenomegálias hilares hepáticas e peri-pancreáticas. Fígado, pâncreas e baço sem alterações” (Fig. 1).
A doente foi internada com uma colestase de natureza extra-hepática a esclarecer.
Cerca de 2 a 3 dias depois, a dor cedeu perante analgesia surgindo icterícia que se veio a acentuar nos dias subsequentes.
Atendendo a indefinição diagnóstica da TC foi requisitado o CA 19.9 e ressonância magnética colangio-pancreática (CPRM).
Resultados laboratoriais (18.02.20): leucócitos: 12,72×103 /μL; neutrófilos: 10,67×103 /µL; AST: 179; ALT: 183 U/L; bilirrubina total: 10,32 mg/dL; bilirrubina direta: 6,94 mg/dL; GGT: 1165 U/L; FA: 629 U/L; LDH: 308 U/L. CA 19.9: 1955.7.
CPRM: “Marcada dilatação das VBIH e da VBP, com 19 mm. No seu lúmen identifica-se ‘sludge’ e cálculos, o maior com 17 mm no colédoco terminal, correspondendo à causa obstrutiva. Cístico longo, de implantação medial e baixa. Vesícula biliar sem alterações parietais ou do conteúdo. Sistema ductal pancreático não dilatado” (Fig. 2).
Em 19/02/2020 faz colangiopancreatografia retrógrada endoscópica (CPRE): “VBP muito dilatada com imagens de subtração compatíveis com cálculos. Realizada esfincterotomia endoscópica ampla sem intercorrências. Com recurso a balão de Fogarty extração de pus e abundante quantidade de material litiásico, com vários cálculos, o maior com 17 mm (Fig. 3).
Análises após a CPRE (24/02/2020): leucócitos: 11,09×103 /μL; neutrófilos: 7,68×103 /µL; AST: 24 U/L; ALT: 43 U/L; bilirrubina total: 2,34 mg/dL; bilirrubina direta: 1,7 mg/dL; GGT: 468 U/L; FA: 329 U/L; CA 19.9: 576.6.
Em 26/02/20: leucócitos: 8,03×103; neutrófilos: 5,28×103; AST: 44 U/L; ALT: 57; bilirrubina total: 2,09 mg/dL; bilirrubina direta: 1,35 mg/dL; GGT: 277 U/L; FA: 281 U/L; CA 19.9: 277.1.
Discussão
Após resolução da colestase (extração do cálculo por CPRE) a doente apresentou uma descida drástica do CA 19.9, que acompanhou a descida de todos os outros valores associados ao padrão colestático (fosfatase alcalina, Gama GT e bilirrubina total). Este fenómeno, associado ao estudo imagiológico (CPRM) e endoscópico permite-nos concluir que a coledocolitíase era a causa da elevação deste antigénio.
Na admissão deste paciente a inexistência de ecografia no Serviço de Urgência, levou a que o clínico assistente optasse pela realização de uma TC (em telemedicina), que viria a condicionar, toda uma estratégia diagnóstica, encarecendo o custo para o paciente, atrasando o diagnóstico e terapêutica do mesmo.
Conclusão
Níveis elevados de CA 19.9, não indicam necessariamente a presença de malignidade de uma forma absoluta, e não devem ser utilizados como método único para a diferenciação entre doenças benignas e malignas.
Salces et al10 sugerem que a utilidade do nível sérico deste antigénio reside, principalmente, na avaliação do grau de progressão da doença maligna, já diagnosticada, na decisão da radicalidade do seu tratamento e na deteção de uma eventual recidiva.
















