Introdução
O alinhamento da prótese é determinante para um bom resultado da artroplastia total do joelho (ATJ). Quando o implante é posicionado de forma adequada, a cirurgia apresenta melhor resultado em relação à dor, arco de movimento do joelho, estabilidade e durabilidade do implante.1
As radiografias do joelho são necessárias em algum momento no pós-operatório de uma ATJ2 para avaliação do alinhamento do joelho e do posicionamento dos componentes da prótese.2 O cirurgião também utiliza essas radiografias para identificar a presença de fraturas, de deslocamentos do implante e a presença de cimento livre na articulação.2 Essas alterações podem alterar o protocolo de reabilitação no pós-operatório assim como o peso em carga, além de poder indicar a necessidade de novo procedimento cirúrgico.
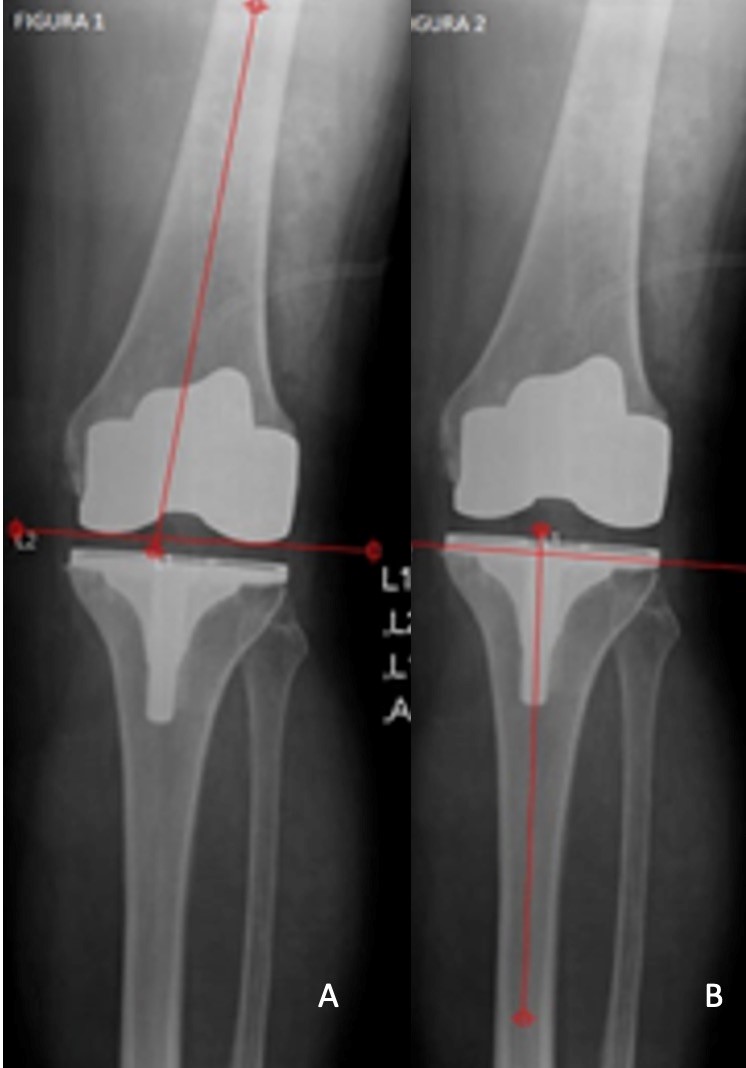
A radiografia pós-operatória imediata da ATJ (RPIATJ) geralmente é realizada na sala cirúrgica (figura 1). Porém a qualidade desse exame de imagem é limitada.3,4,5,6,7,8,9,10,11,12,13,14Normalmente o paciente está sedado ou com dor, apresenta arco de movimento reduzido por ser imediatamente após a cirurgia, além da possibilidade da presença de dreno aspirativo. Além disso, há diversos fatores que podem interferir na qualidade do exame radiológico. Entre eles podemos citar a ausência da extensão completa do joelho, a variação na inclinação tibial posterior, a falta do posicionamento neutro do membro inferior quanto à rotação, à ausência de carga e ao uso de aparelho de raios-X portáteis.3,4A RPIATJ pode gerar uma exposição à radiação desnecessária no paciente e na equipa cirúrgica,5,6sendo importante ressaltar que radiografias geram radiação acumulada5 na população. Ainda assim, esse primeiro exame radiográfico é utilizado como informação importante para os cirurgiões, tornando-se um exame de controlo imediato do procedimento. Além disso, serve para comparação evolutiva com outras radiografias e para fins académicos.2
No paciente submetido à cirurgia de substituição articular, os custos hospitalares chegam a quase 80%, durante as primeiras 48 horas de internamento. A não realização da RPIATJ gera uma economia no gasto dessa cirurgia.7 Já a realização do primeiro exame de imagem no pós-operatório tardio possibilita avaliar um paciente com menor quadro álgico, com custo reduzido, utilizando radiografias com carga, de melhor qualidade técnica e sem implicações médico-legais.8
O objetivo do estudo foi avaliar o alinhamento radiográfico na artroplastia total do joelho (ATJ) entre o pós-operatório imediato versus o tardio.
Material e Métodos
Foi realizado um estudo retrospectivo e observacional utilizando o arquivo de imagens radiográficas da instituição. A população do estudo foi composta por 200 pacientes com osteoartrite primária do joelho submetidos à ATJ na nossa instituição, no período de julho de 2019 a janeiro de 2020.
Foram incluídos no estudo pacientes de ambos os sexos, com idade superior a 55 anos, apresentando arco de movimento de pelo menos 90°, sem deformidades angulares significativas e com alterações radiográficas de osteoartrite compatíveis com o grau 4 ou 5 de Ahlbäck.15 O termo de consentimento livre e esclarecido foi aplicado pelo pesquisador após o internamento na instituição, o que geralmente ocorreu no dia anterior à data proposta da cirurgia. O projeto foi aprovado pela Comissão de Ética em Pesquisa Institucional (CAAE 39821020.8.0000.5273) e atendeu aos pressupostos da Declaração de Helsínquia.
Foram excluídos os pacientes submetidos à osteotomia prévia, pacientes que necessitaram de enxerto ósseo, haste intramedular, cunhas ou implantes adicionais. Além disso, foram excluídos pacientes com história de infecção, neoplasia no joelho operado e história de fratura nos membros inferiores. Também foram excluídos os casos em que as radiografias realizadas não apresentavam condições técnicas adequadas para as avaliações angulares, principalmente no que diz respeito ao quesito de rotação.
Todos os pacientes foram submetidos à artroplastia total primária com o implante Legion PS (Smith&Nephew®) póstero-estabilizado com substituição patelar. As radiografias utilizadas foram realizadas com técnica padronizada pelo serviço de radiologia da instituição e que permitiam a adequada avaliação do alinhamento coronal e sagital. Na RPIATJ foi utilizado o aparelho portátil de raios-X Shimadzu de 500 mA (Shimadzu, Kyoto, Japão) com técnica de 50 KV e 35 mA. Um filme de 30 × 40 cm foi colocado a uma distância de um metro da ampola do aparelho radiográfico digital. A radiografia de pós-operatório tardio foi obtida com aparelho fixo de raios X Super 100® (Philips, Brasil), com técnica de 50kV e 35 mA. A distância tubo-filme foi de um metro. Foi acautelada a colocação da extremidade inferior numa posição neutra de modo que a patela se direcionasse anteriormente. Na radiografia lateral, o paciente foi mantido com 20o de flexão do joelho com a distância tubo-filme padronizada em 1m. Foram, então, obtidas as imagens do estudo. Não foram avaliadas informações clínicas, demográficas ou coletados registos de medicação neste estudo. A escolha da faixa etária do estudo foi justificada pela maior prevalência da doença na população acima dos 50 anos. A escolha do material de implante foi baseada na disponibilidade do mesmo na instituição de pesquisa no período selecionado do estudo.
As cirurgias foram realizadas entre o período de julho de 2019 a janeiro de 2020 por cirurgiões membros do grupo do joelho do hospital, todos com mais de 5 anos de experiência na realização de ATJ.
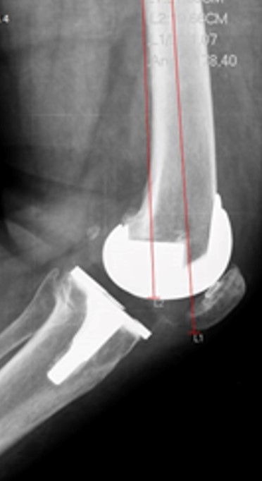
Foram analisadas as imagens de radiografias do joelho operado obtidas no pós-operatório imediato em ântero-posterior (AP) e perfil, bem como as imagens em AP e perfil do joelho com carga, realizadas com 3 meses de seguimento clínico, conforme protocolo da instituição. Os exames de imagem foram avaliados por um único observador membro do grupo de cirurgia do joelho. A análise radiográfica foi realizada de forma cega sem identificação do paciente. O software utilizado para o estudo foi o mDicomViewer 3.0 (Microdata, RJ-Brasil, 2007). O alinhamento coronal e sagital foram determinados pela medição de cinco ângulos radiográficos.15 O primeiro foi avaliado na radiografia em AP. Essa análise foi feita através de um ângulo formado pela superfície distal do componente femoral e o eixo da diáfise do fémur, além de um segundo ângulo formado entre o planalto tibial e o eixo da diáfise da tíbia (figura 2 A-B). Além disso, analisamos o ângulo tibio-femoral formado entre os eixos anatómicos do fémur e da tíbia (figura 3). A avaliação do alinhamento no plano sagital foi realizada através da radiografia em perfil, determinando-se o ângulo entre a parte mais distal da superfície de fixação femoral e o eixo da diáfise do fêmur (figura 4). De forma similar, a avaliação do alinhamento da tíbia nessa incidência corresponde ao ângulo entre o planalto tibial e o eixo da diáfise da tíbia (figura 5). O alinhamento patelofemoral não foi avaliado.
As medidas dos ângulos medidos nas radiografias em AP e perfil do joelho do pós-operatório imediato e do controlo após três meses do procedimento, foram avaliadas numa base de dados Microsoft Excel criada para a sua análise.
A análise dos resultados encontrados foi realizada utilizando o programa GraphPad PRISM (Prism 5 for Windows,5.01) através do teste-t de Student pareado. Foram consideradas significativas as comparações cujo valor de p foi inferior a 0,05.

Figura 2: A: Ângulo formado pela superfície distal do componente femoral e o eixo da diáfise do fêmur. B: Ângulo formado entre a bandeja tibial e o eixo da diáfise da tíbia.

Figura 4: Ângulo entre a parte mais distal da superfície de fixação femoral e o eixo da diáfise do fêmur.
Resultados
Em relação ao ângulo do fémur no AP observamos um p de 0,6753. Na RPIATJ obtivemos a média de 86,67 e com 3 meses de 86,58. O desvio padrão foi de 5,11 na RPIATJ e de 5,38 com 3 meses de pós-operatório. Relativamente ao ângulo tibial no AP observamos um p de 0,2896. Na RPIATJ obtivemos a média de 89,24 e com 3 meses de 89,11. O desvio padrão foi de 1,88 na RPIATJ e de 2,28 com 3 meses de pós-operatório. Relativamente ao ângulo tíbio-femoral no AP observamos um p de 0,6340. Na RPIATJ obtivemos a média de 174,9 e com 3 meses de 174,7. O desvio padrão foi de 2,94 na RPIATJ e de 6,97 com 3 meses de pós-operatório. O ângulo do fémur no perfil mostra um valor p de 0,0329. Na RPIATJ obtivemos a média de 177,4 e com 3 meses de 176,3. O desvio padrão foi de 1,55 na RPIATJ e de 7,42 com 3 meses de pós-operatório. Em relação ao ângulo da tíbia no perfil foi observado um valor de p de 0,0397. Na RPIATJ obtivemos a média de 89,95 e com 3 meses de 88,80. O desvio padrão foi de 8,02 na RPIATJ e de 4,19 com 3 meses de pós-operatório. Em consequência, podemos afirmar que em relação aos 3 ângulos avaliados na incidência AP não houve diferença estatisticamente significativa a respeito da medição entre as RPIATJ e com 3 meses de pós-operatório. Em contrapartida, ao analisar os 2 ângulos da incidência em perfil (1 no fémur e 1 na tíbia), houve diferença estatisticamente significativa entre a diferença das medições das RPIATJ e com 3 meses de pós-operatório (figura 6).
Discussão
A utilização da RPIATJ é um tema controverso.13 Existem diversos estudos que afirmam que a RPIATJ é desnecessária.4,2,6,9,10,11Em consequência, o nosso interesse em realizar esta pesquisa.
Os defensores da realização da RPIATJ alegam que há o caráter académico, razões médico-legais e o risco de uma complicação passar despercebida,9 caso a mesma não se realize. Existe relutância na mudança de conduta por parte dos cirurgiões.9 Entretanto, Kosashvili et al. observaram 3 casos para uma revisão imediata na ATJ: uma fratura do côndilo-medial sem desvio não evidenciada durante a cirurgia, uma chanfradura anterior do fémur com um risco de fratura periprotética e uma invasão da cortical medial num paciente com osteotomia prévia.5 Sambandam et al. não encontraram nenhum aspeto médico-legal sobre a não realização da RPIATJ.9 Na nossa opinião a RPIATJ possui um caráter educacional e, além disso, permite a tranquilidade do cirurgião verificando o procedimento realizado.
Moussa et al. consideram 60 dias como o tempo ideal para o controlo radiográfico ambulatorial.10 Segundo esses autores, nesse marco temporal ocorrem as principais complicações imediatas da ATJ. Neste período poderíamos observar: infeção aguda, hematoma volumoso, erro técnico grosseiro e artrofibrose.10 O nosso estudo utilizou como marco três meses de pós-operatório para uma nova radiografia de controlo. Acreditamos que nesse marco temporal o paciente poderia deambular sem queixas e com um quadro álgico mínimo.
Há literatura que suporta que a RPIATJ possui uma qualidade deficiente, sendo ineficaz na identificação de alguma complicação.9 Moussa et al. também mencionam que a qualidade da RPIATJ foi fraca.10 Além disso, o custo, o desconforto do paciente e a exposição à radiação são fatores que justificam apenas a realização da radiografia de controlo de ATJ ao nível ambulatorial.10 O nosso estudo evidencia que a RPIATJ padronizada tem o seu espaço de aplicabilidade.
Moskal et al. afirmam que a radiografia após uma ATJ pode ser adiada até à primeira consulta em ambulatório, sem comprometer o cuidado com o paciente.11 Sambandam et al. afirmaram que a ausência da RPIATJ não alterou o protocolo de reabilitação e a segurança do paciente,9 não sendo observadas complicações. O nosso estudo evidenciou alterações radiográficas com diferença estatisticamente significativa na incidência em perfil do fémur e da tíbia. A nossa conclusão é que a reprodutibilidade da incidência radiográfica em perfil do joelho é menor. A radiografia do joelho com carga após ATJ pode ser desconfortável nessa população. Além disso, Meneghini et al. afirmam que a superfície de fixação femoral pode ser um marco impreciso.15 Estes autores afirmam que a caixa do componente femoral na prótese que sacrifica o ligamento cruzado posterior pode gerar um viés na aferição.15 Daí entendermos que possa ser essa a explicação para a alteração estatística nesta medição.
A limitação da pesquisa deve-se a ter sido realizado um estudo retrospetivo, dependendo assim da qualidade da base de dados e da padronização das técnicas de realização das imagens, além do facto de o estudo não ter utilizado dados clínicos dos pacientes para avaliar a necessidade de reoperação no pós-operatório imediato com base nas alterações identificadas nas RPIATJ. A radiografia do joelho em perfil evidenciou uma diferença estatisticamente significativa, porém, poderá ser clinicamente irrelevante em função da variação de pequena magnitude entre os grupos. A população do estudo foi baseada num estudo prévio.16
Conclusão
O nosso estudo demonstrou a variação entre a radiografia pós-operatória imediata da artroplastia total do joelho e a radiografia de controlo com 3 meses de pós-operatório, apenas na incidência em perfil. Assim sendo, podemos inferir que a radiografia pós-operatória imediata na artroplastia total do joelho poderá ser um exame adequado para a análise pós-operatória.


















