Serviços Personalizados
Journal
Artigo
Indicadores
-
Citado por SciELO -
Acessos
Links relacionados
-
Similares em
SciELO
Compartilhar
Angiologia e Cirurgia Vascular
versão impressa ISSN 1646-706X
Angiol Cir Vasc vol.14 no.4 Lisboa dez. 2018
IMAGEM VASCULAR
Exérese de trombo tumoral da veia cava inferior
Excision of a tumoral thrombus from the inferior vena cava
Daniel Mendes1; Rui Machado1,2; Miguel Ramos3; Avelino Fraga3; Rui de Almeida1,2
1Serviço de Angiologia e Cirurgia Vascular, Centro Hospitalar Universitário do Porto
2Instituto de Ciências Biomédicas Abel Salazar - Universidade do Porto
3Serviço de Urologia, Centro Hospitalar Universitário do Porto
Endereço para correspondência | Dirección para correspondencia | Correspondence
Os tumores retroperitoneais são relativamente raros, no entanto, a sua abordagem pode ser bastante complexa. A grande maioria destas neoplasias dizem respeito a tumores malignos, sendo que o prognóstico está dependente, entre outros fatores, da resseção mais ou menos extensa da massa tumoral(1). A resseção alargada da neoplasia apresenta um tremendo impacto na sobrevida a longo prazo(1,2). No entanto, a ressecção completa deve ser contrabalançada com a segurança do doente e a morbilidade prevista do procedimento cirúrgico(3).
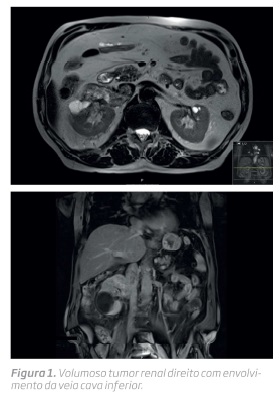
Homem de 75 anos sem antecedentes de relevo foi referenciado à consulta de Urologia por volumosa massa renal direita com extensão à veia cava inferior infrarrenal, observado em ressonância magnética nuclear (RMN) (fig 1). O doente foi proposto para nefrectomia radical e uma vez que apresentava um trombo tumoral na veia renal que se estendia à veia cava inferior foi solicitada a colaboração da Angiologia e Cirurgia Vascular.
O doente foi submetido a nefrectomia radical com exérese de trombo da veia renal esquerda que se estendia à veia cava inferior que apresentava adesão à parede posterior da veia tendo sido feita recessão parcial da veia cava e posterior encerramento com patch de Dacron (fig 2).
Ao primeiro dia de pós-operatório o doente teve de ser reintervencionado na sequência de um hematoma retroperitoneal e hemoperitoneu tendo sido submetido a laparotomia exploradora onde se identificou hemorragia ativa de veia lombar que foi laqueada e hemorragia em toalha de laceração hepática controlada com agente hemostático local.
Sem complicações no restante pós-operatório tendo tido alta ao 13º dia de internamento.
REFERÊNCIAS BIBLIOGRÁFICAS
1. An JY, Heo JS, Noh JH, Sohn TS, Nam SJ, Choi SH, Joh JW, Kim SJ: Primary malignant retroperitoneal tumors: analysis of a single institutional experience. Eur J Surg Oncol. 2007, 33: 376-382. 10.1016/j.ejso.2006.10.019. [ Links ]
2. Nathan H, Raut CP, Thornton K, Herman JM, Ahuja N, Schulick RD, Choti MA, Pawlik TM: Predictors of survival after resection of retroperitoneal sarcoma: a population-based analysis and critical appraisal of the AJCC staging system. Ann Surg. 2009, 250: 970-976. 10.1097/SLA.0b013e3181b25183. [ Links ]
3. Strauss DC, Hayes AJ, Thway K, Moskovic EC, Fisher C, Thomas JM: Surgical management of primary retroperitoneal sarcoma. Br J Surg. 2010, 97: 698-706. 10.1002/bjs.6994. [ Links ]
Endereço para correspondência | Dirección para correspondencia | Correspondence
Correio eletrónico: daniel5.mds@gmail.com (D. Mendes).
Recebido a 03 de novembro de 2018
Aceite a 29 de janeiro de 2019














