Introdução
O cisto radicular ou cisto periapical é um cisto odontogénico, causado por um processo inflamatório periapical ou perirradicular associado ao dente com diagnóstico de necrose pulpar.1 A sua formação ocorre em decorrência de estímulos inflamatórios que têm como consequência a proliferação dos restos epiteliais de Malassez, localizados no ligamento periodontal, resultando posteriormente na formação de uma cavidade cística.1-3É o cisto odontogénico mais comum nos maxilares, sendo mais prevalente em adultos, podendo também acometer crianças, inclusive nos dentes decíduos.1,2,4,5
Histologicamente o cisto radicular mostra cavidade cística revestida por epitélio estratificado pavimentoso não ceratinizado, podendo exibir áreas de hiperplasia. A cápsula cística é constituída por tecido conjuntivo fibroso apresentando infiltrado inflamatório predominantemente mononuclear, podendo também exibir áreas de deposição de cristais de colesterol.1,2
Comumente o cisto radicular é assintomático e percebido pelo paciente quando há agudização do processo inflamatório e/ou crescimento da lesão, gerando aumento do volume e deslocamento de estruturas adjacentes. Radiograficamente, apresenta imagem radiolúcida unilocular, geralmente bem delimitada, associada à região radicular apical ou lateral de um dente com ausência da lâmina dura, podendo se estender para regiões adjacentes.2
As tomografias computadorizadas auxiliam na avaliação da extensão da reabsorção óssea e da intimidade da lesão com estruturas adjacentes, permitindo um plano de tratamento mais adequado.6
O tratamento do cisto radicular pode incluir diferentes abordagens com o objetivo de remoção da causa e neoformação óssea.1,2O tratamento endodôntico deve ser realizado.
Entretanto, em casos de persistência da infeção no interior do sistema de canais radiculares ou externamente a ele, pode ser necessária a realização de tratamentos complementares como a cirurgia paraendodôntica.1,4,7
Cistos periapicais e granulomas periapicais possuem a mesma etiologia e podem apresentar características imagiológicas semelhantes. Em casos de lesões persistentes após tratamento endodôntico, há bastante discussão na literatura sobre as possíveis abordagens. Dentre elas há a possibilidade de enucleação da lesão, que envolve sua total curetagem ou a descompressão cística, como alternativa mais conservadora, que pode evitar agressão a estruturas anatómicas importantes, como canal nasopalatino, cavidade nasal, seio maxilar, forame mentoniano e canal mandibular. A descompressão cística envolve a instalação de um dispositivo para manter a comunicação da cavidade bucal com o interior da lesão, causando redução da pressão osmótica intracística, o que possibilita a regressão parcial ou total da lesão. Para comprovação do sucesso da técnica é necessário realizar o acompanhamento radiográfico e clínico do paciente.2,4,5,8,9
Relato de caso
Paciente do sexo masculino, 52 anos, hipertenso e hipercolesterêmico, fazendo uso de Losartana e Atorvastatina, fumador há mais de 25 anos, foi encaminhado para avaliação de lesão em mandíbula do lado esquerdo. Durante anamnese, relatou ter feito tratamento endodôntico no dente 35 há 30 anos e, após sintomatologia dolorosa recente, foi submetido a retratamento endodôntico, porém sem alívio da dor. Em seguida, foi realizado também o tratamento endodôntico do dente 34, porém, após novo insucesso na regressão da lesão, paciente foi encaminhado para o Serviço de Cirurgia Oral e Estomatologia.
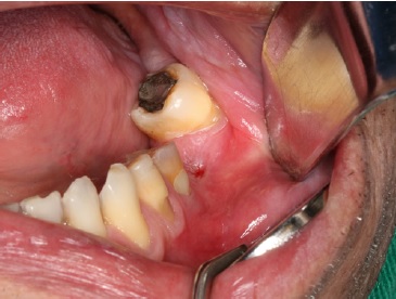
Exame extraoral mostrou ausência de sinais de alterações patológicas. Exame intraoral mostrou ausência do dente 36 e fístula na região de rebordo alveolar, com drenagem de secreção purulenta (Figura 1).

Figura 1 Aspeto clínico intraoral mostrando fístula na região de rebordo alveolar de área edêntula, correspondente ao dente 36.
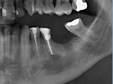
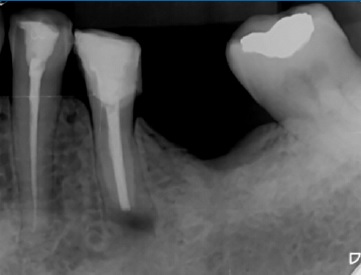
Ao exame radiográfico (Figura 2) foi possível identificar uma área radiolúcida unilocular, de contorno mal definido, na região periapical do dente 35, estendendo-se para o periápice do dente 34 e região edêntula correspondente ao 36. Para melhor visualização da extensão da lesão e sua relação com o canal mandibular foi realizada Tomografia Computadorizada de Feixes Cônicos. Cortes axiais e parassagitais mostraram rutura das corticais ósseas vestibular e lingual do corpo da mandíbula, além do íntimo contato da lesão com o canal mandibular (Figura 3), revelando o elevado risco de parestesia do nervo alveolar inferior e do seu ramo mentoniano, após intervenção cirúrgica.

Figura 2 Radiografia panorâmica inicial mostrando área radiolúcida unilocular, de contorno mal definido, na região periapical do dente 35, medindo aproximadamente de 1x2 cm, se estendendo para o periápice do dente 34 e região edêntula correspondente ao 36.

Figura 3 Cortes de tomografia computadorizada mostrando imagem hipodensa (IOH), na região periapical do dente 35 (D35) e região do dente 36 (R36) causando rompimento da face lingual da cortical do canal mandibular (CM) e das corticais ósseas vestibular e lingual da mandíbula, além de proximidade com o forame mentoniano (FM).
Com base na história pregressa, exame físico e exames de imagem, as principais hipóteses diagnósticas foram de granuloma periapical ou cisto periapical infetado. Entretanto, outros cistos ou tumores odontogénicos também foram considerados como hipóteses diagnósticas. As condutas para estabelecimento do diagnóstico e tratamento foram a realização de cirurgia paraendodôntica, envolvendo apicectomia, biópsia incisional e descompressão da lesão. A paciente foi orientada sobre o risco da perda de sensibilidade da pele do mento e do lábio inferior do lado esquerdo de maneira permanente ou temporária, mesmo que reduzida, em decorrência da necessidade de ser realizada a apicectomia. A enucleação seria um possível tratamento para esse caso, entretanto esse procedimento apresentaria maior risco de lesão do nervo alveolar inferior, devido à relação do processo patológico com o mesmo.
Foi realizada incisão e descolamento do retalho mucoperiósteo por vestibular, na região dos dentes 34, 35 e 36, expondo o trajeto fistuloso. Após osteotomia, realizada com broca esférica n.º 6, para acesso ao ápice radicular (Figura 4) e apicectomia do dente 35, utilizando broca troncocónica n.º 701 para peça reta (Figura 5), foi realizada coleta de fragmentos da lesão cística (Figura 6) e armazenamento em solução de formol a 10%, para exame anatomopatológico. Em seguida foi realizada a sutura para cooptação das bordas do retalho e instalação de um dispositivo de acrílico, removível, confecionado no momento da cirurgia, na região da fístula localizada na região do dente 36 (Figuras 7 e 8).

Figura 6 Fragmentos da lesão cística obtidos por biópsia incisional, enviados para exame anatomopatológico.
O paciente foi orientado a remover o dispositivo em acrílico e realizar irrigação com solução salina, utilizando seringa, para higienização da cavidade, diariamente. Também foi orientado sobre a necessidade de acompanhamento clínico-radiográfico para avaliação da regressão da lesão e da necessidade de ajuste e remoção do dispositivo de descompressão.
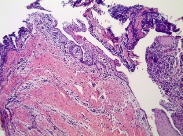
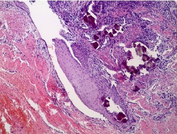
O exame microscópico revelou fragmento de cápsula cística parcialmente revestida por epitélio estratificado pavimentoso não ceratinizado. A cápsula era constituída de tecido conjuntivo fibroso celularizado com vasos e infiltrado inflamatório mononuclear. Focos de calcificação distrófica também foram observados (Figuras 9 e 10). As características clínicas, imagiológicas e histopatológicas, foram compatíveis com o diagnóstico de cisto radicular.

Figura 9 Fotomicrografia de corte histológico corado em hematoxilina e eosina, mostrando fragmento de cápsula cística revestida por epitélio estratificado pavimentoso não ceratinizado - 100x

Figura 10 Fotomicrografia de corte histológico corado em hematoxilina e eosina, mostrando infiltrado inflamatório mononuclear e áreas de calcificação distrófica na cápsula cística, bem como seu revestimento por epitélio estratificado pavimentoso não ceratinizado - 100x.
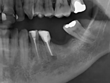
Foi realizado acompanhamento mensal e desgaste gradativo do dispositivo de descompressão, à medida que a lesão sofreu involução de tamanho. Após 4 meses não foi mais possível inserir o dispositivo e foi determinada a remoção do mesmo e acompanhamento (Figura 11). Foi possível observar, radiograficamente, completa remissão da lesão e neoformação óssea após 12 meses (Figura 12) e sinais de maturação óssea após 24 meses (Figura 13). As funções do nervo alveolar inferior foram preservadas. Não houve necessidade de um segundo procedimento cirúrgico e o paciente permanece em acompanhamento radiográfico, sem sinais de recidiva. Além disso, foi encaminhado ao serviço de prótese para avaliação e tratamento protético do dente 35.

Figura 11 Aspeto radiográfico 4 meses após cirurgia paraendodôntica e instalação do dispositivo de descompressão.
Discussão e conclusões
O tratamento de escolha para cistos periapicais é bastante discutido na literatura, principalmente em relação à escolha de técnicas conservadoras ou invasivas. O tratamento endodôntico dos canais radiculares é uma técnica conservadora e eficaz, porém, quando persistem focos infecciosos no interior do canal ou na região externa do ápice radicular, há insucesso no tratamento ou retratamento endodôntico. Dessa maneira, torna-se necessário explorar outras opções para remoção da causa, como a cirurgia paraendodôntica associada à enucleação cística ou à técnica de descompressão.2,4,6 Um tipo de cirurgia paraendodôntica que pode ser realizada consiste na técnica de apicectomia, por meio da remoção de 3 mm do ápice radicular, o que corresponde a região do delta apical que geralmente é a mais contaminada do sistema de canais radiculares. Desse modo, a cirurgia paraendodôntica permite a remoção do estímulo infeccioso e consequente regressão da lesão.10 O desfecho bem-sucedido deste caso destaca a eficácia da técnica, evidenciando que nem sempre é necessário combiná-la com a retrobturação, especialmente quando a obturação dos demais terços do canal se mostra satisfatória, como foi observado.
Para o tratamento da lesão cística também são citadas na literatura as técnicas de enucleação, marsupialização ou descompressão da lesão. A enucleação total é relatada como técnica mais utilizada, envolvendo a curetagem da lesão em toda sua extensão. Entretanto, é considerada invasiva e pode gerar complicações pós-cirúrgicas, como dano a nervos adjacentes e, consequente, parestesia desses, quando a lesão está associada ou próxima ao nervo, como observado neste caso.5
Como alternativa à enucleação total da lesão, a descompressão por meio da instalação de dispositivos ou a marsupialização são técnicas mais conservadoras, que possibilitam remissão total ou parcial da lesão com redução do trauma cirúrgico. Além disso, permitem a preservação de estruturas anatômicas adjacentes e redução de complicações pós-operatórias.9 Desse modo, no caso relatado, mesmo que o trajeto fistuloso existente e a osteotomia realizada para apicectomia pudessem ser consideradas suficientes para enucleação total, o risco de parestesia durante a curetagem da lesão foi considerado alto e, por isso, a descompressão foi realizada como alternativa.
A literatura cita como desvantagem das técnicas de descompressão, uma possível dificuldade de se obter o laudo anatomopatológico da lesão. O exame anatomopatológico é de extrema importância para o planejamento do tratamento, uma vez que algumas lesões não respondem às técnicas de descompressão.
Assim como no caso descrito, deve ser realizada uma biópsia incisional durante o preparo do acesso para a descompressão cística. Cabe destacar, o comprometimento do paciente com esse tipo de tratamento é essencial, pois é necessário a higienização diária da região e do dispositivo, comparecer às consultas de acompanhamento para ajuste deste e realizar exames radiográficos periódicos para avaliação da regressão da lesão.4,5,11
Os dispositivos descompressores devem manter a comunicação da lesão com o meio externo, podendo ser confecionados por diversos materiais, como cateter, sondas, parafusos e resina acrílica.12,13 No caso relatado foi utilizado a resina acrílica para confeção do dispositivo, modelada manualmente e ajustada no momento do procedimento cirúrgico, sendo possível sua remoção para higienização da loca. O local de escolha para instalação do dispositivo deve ser bem avaliado, a fim de garantir maior conforto ao paciente, evitar interferências oclusais, traumas excessivos da mucosa adjacente e lesões a estruturas anatómicas importantes. Além disso, assim como realizado no caso descrito, aspetos como a redução do trauma cirúrgico, por meio da utilização do trajeto fistuloso para evitar nova incisão da mucosa, redução da extensão da osteotomia e instalação do dispositivo distante do canal mandibular preservando o nervo alveolar inferior, devem ser considerados no momento de eleição do local.
Diversas estratégias terapêuticas podem ser utilizadas no tratamento de lesões associadas a dentes desvitalizados. A indicação e execução adequada dessas técnicas, de maneira isolada ou associada, como descrita no caso, pode permitir a regressão total da lesão, gerando o mínimo de morbidade e sequelas ao paciente.



















