Introdução
O freio labial, também denominado como frénulo, é uma membrana mucosa constituída de tecido fibroso ou fibromuscular, situada na região acima dos incisivos centrais, mais precisamente na linha média, que vai desde o fundo do sulco vestibular na face interna do lábio até o processo alveolar, na junção mucogengival.1,2
Frequentemente, o freio labial pode apresentar alterações em sua estrutura e forma, provocando diastema, aparência estética desfavorável, problemas de fonação e inflamação gengival.
Esta última alteração, que pode gerar doenças periodontais,1,3‑5decorre da acumulação de biofilme dada a dificuldade de higienização resultante de dor na região próxima ao freio labial, que, por sua vez, é causada pela tração dos lábios.
Na infância, o freio labial é mais espesso durante a dentição decídua, mas às vezes esta circunstância perdura na dentição mista, o que provoca diastema fisiológico, algo desejável nessa fase.6,7Todavia, há casos que são considerados anormais e necessitarão de intervenção, tais como: hipertrofia do freio; modificações quanto ao posicionamento; persistência do freio pós‑irrupção dos incisivos centrais e laterais superiores permanentes e, principalmente, dos caninos. Esta persistência no posicionamento e/ou volume do freio poderá provocar um diastema interincisal.1,4,7
Quando existe alteração do posicionamento normal do freio labial, a frenectomia é a cirurgia indicada, realizada no consultório dentário, sob anestesia local, com excisão completa do freio, tecido interdental e papila palatina através de bisturi convencional, bisturi elétrico ou a laser.2,8 Existem inúmeras técnicas para a remoção do freio, como por exemplo: Archer com duplo pinçamento, Archer modificada com pinçamento simples, Chelloti, Wassmund, Mead, Howe e Laser.9
A frenectomia deve ser considerada quando se pretende evitar ou amenizar problemas morfofuncionais e estéticos.
Para alguns autores, o momento ideal para a intervenção cirúrgica deve ser após a erupção dos incisivos centrais e laterais permanentes na faixa etária entre 8 e 10 anos.7,10
Todavia, existem autores que são mais conservadores quanto ao tempo de intervenção e preferem aguardar a erupção dos caninos superiores permanentes para realizar a intervenção cirúrgica.11
No seguimento das considerações acima, este trabalho tem como objetivo apresentar o caso clínico de uma paciente na fase infantil, dentição mista, com freio labial superior persistente associado à condição hereditária e a um leve diastema interincisal, no qual se optou pelo tratamento cirúrgico de remoção do freio, além de analisar e discutir o momento ideal para a intervenção de remoção do freio na dentição mista.
Caso clínico
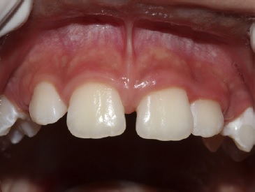
Paciente de oito anos de idade, sexo feminino, procuro a Clínica Integrada do Curso de Odontologia do Centro Universitário Ages (UniAges) juntamente com seu responsável para consulta dentária. Durante a anamnese e o exame clínico, foi observada a presença de freio labial superior fibroso que produzia isquemia ao ser tracionado e espaço interincisal (Figura 1), além de histórico hereditário paterno de diastema. Foi realizada radiografia periapical da região para avaliação dos dentes e das estruturas de suporte. A paciente estava na fase de dentição mista com a presença dos incisivos centrais e laterais superiores permanentes; com ausência dos caninos permanentes, ainda em processo de erupção dentária, não apresentava inflamação gengival, controle satisfatório de biofilme (menor que 20%) nem alteração sistémica. Assim sendo, diante da avaliação foi sugerido a cirurgia de frenectomia do freio labial superior.
A técnica cirúrgica de escolha foi Archer modificada, também denominada como pinçamento simples. Antes do procedimento cirúrgico foi realizada antissepsia intraoral com bochecho, por 1 minuto, de Digluconato de Clorexidina 0,12% (Colgate, Brasil) e antissepsia extraoral com a mesma substância a 2% (Rioquímica, Brasil) com gaze estéril e pinça. Após a anestesia tópica com Benzocaína 20% (DFL, Brasil) em fundo de sulco e região entre os incisivos centrais superiores, foi realizada anestesia local com Lidocaína 2% com epinefrina 1:1000.000 (DFL, Brasil), através do bloqueio do nervo alveolar superior anterior (bilateralmente); as anestesias infiltrativas foram em fundo de sulco labial e rebordo. Porém, a infiltração do anestésico não foi tão próxima à inserção do freio para não alterar as referências anatómicas e, consequentemente, afetar a área abordada no procedimento cirúrgico. Além disso, foi realizada anestesia intrapapilar e no nervo nasopalatino, com a utilização de um total de 2 anestubos para todo o procedimento.
Em seguida, foi realizado o pinçamento na posição apical do freio com a pinça hemostática Kelly e foram efetuadas duas incisões verticais com lâmina de bisturi n.º 15c (Solidor, Brasil) em forma de “v”, com incisão no fundo de sulco até a região da papila interincisiva para a remoção do freio labial superior em nível supra periosteal (Figura 2‑3-4-5).
Essa papila interincisiva foi preservada para não provocar um espaço negro (black space). Após a remoção do tecido fibroso entre o segmento interdental e a papila interincisiva na região palatina, foi realizado um debridamento com gaze (Cremer, Brasil), ou seja, uma fenestração óssea (Figura 6), fazendo uma pequena fricção entre os dentes para remover as fibras mais internas que estavam em contato com o osso. Em seguida, foi feito a divulsão dos bordos, isto é, um descolamento do tecido mucoso em relação ao tecido muscular e remoção de fibras que se encontravam unidas ao osso. Esse procedimento foi feito com a pinça Dietrich para pinçamento dos bordos, inserção da tesoura sempre fechada dentro do tecido e só era aberta dentro do plano mucoso, fazendo a divulsão dos tecidos. Foram encontradas algumas glândulas salivares menores e estas foram removidas.
Durante todo o procedimento foram realizadas compressões com gazes para manter a hemostasia. Realizou‑se sutura em toda a extensão da incisão (Figura 7), através de pontos simples, com fio de seda 4.0 (Procare, China). A primeira sutura foi realizada no fundo de sulco até toda a extensão de tecido mole do lábio, ao passo que a gengiva inserida próxima aos dentes não recebeu sutura e teve uma cicatrização por segunda intenção. Ao final, foi realizado irrigação copiosa com soro fisiológico 0,9% (Eurofarma, Brasil) e feito uma compressa com gaze (Cremer, Brasil) no local e a paciente orientada a retornar após uma semana para remoção da sutura. Além de orientações pós‑operatórias, quanto à higiene bucal e dieta, foi prescrito Digluconato de Clorexidina 0,12% (Colgate, Brasil), para bochechar 10 ml, por 1 minuto, 12/12h; Ibuprofeno 100 mg (Medley, Brasil), para tomar 25 gotas de 8/8h por 7 dias. Não ocorreu qualquer intercorrência durante e após o ato cirúrgico e a cicatrização se deu conforme o esperado, também sem intercorrências.
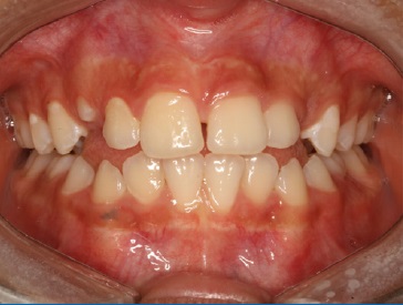
A paciente retornou para acompanhamento clínico após 12 meses (Figura 8), realizada uma nova avaliação funcional, na qual a paciente possuía Classe II de Angle subdivisão esquerda, além de discreta falta de espaço para a erupção do canino esquerdo e foi encaminhada para o ortodontista.
Discussão e conclusões
Dentre os autores analisados que abordam este tema, houve concordância em relação ao diagnóstico. O diagnóstico do freio labial superior se dá através da análise clínica, ou seja, exame clínico detalhado, analisando se há presença de diastema, associação a causas hereditárias, inserção baixa, hipertrofia do freio, isquemia da papila ao ser tracionada,6,7além da utilização de exames radiográficos, pois casos de odontomas, dentes supranumerários e cistos odontogénicos podem causar diastemas interincisivos.12 No presente caso, houve todas estas avaliações, que levaram ao diagnóstico de freio labial superior anormal.
Quanto à intervenção por meio do procedimento cirúrgico, a indicação principal da frenectomia é quando existe um freio em posição anormal. Porém, o freio precisa estar provocando uma deficiência, seja na morfologia, na função e/ou estética.2,7,10No trabalho exposto, o caso apresentou as características diagnósticas favoráveis para a intervenção cirúrgica, com presença do freio com inserção baixa, diastema interincisal, histórico familiar paterno de diastema, idade da criança de 8 anos e a fase da dentição mista.
Existem diversas técnicas cirúrgicas para a remoção do freio, que irão variar conforme o tipo de inserção do freio, envolvimento com estruturas anexas e perfil do paciente.9
Por isso, é de suma importância realizar um diagnóstico detalhado, com o objetivo de preconizar o tratamento adequado para cada indivíduo.8 Dentre as diversas técnicas, a de duplo pinçamento - também denominada de técnica de Archer - e a Archer modificada são as técnicas mais utilizadas.
Esta última é realizada através do pinçamento com uma pinça hemostática no freio e sua remoção através da excisão. Após a remoção do freio, foi realizada uma divulsão das fibras com a tesoura e sutura contínua simples. O pós‑operatório é bastante satisfatório.9 Escolheu‑se a técnica de Archer modificada para o caso em comento, em razão de sua simplicidade e rapidez, que possibilitaram um controle homeostático imediato.
Quanto à época ou idade ideal para a realização da frenectomia, ainda é algo bastante discutido entre a classe odontológica e há divergências entre os autores. O mesmo se diga quanto à sua combinação com o tratamento ortodôntico. Alguns autores preconizam prudência quanto à adoção da frenectomia antes da erupção dos caninos, pois, segundo eles, deve‑se esperar a fase do “patinho feio”, que ocorre entre os 8 e 12 anos. Isso porque observaram uma grande probabilidade de atrofia do freio e o encerramento do diastema de forma fisiológica.9,11,12
Porém, outros autores recomendam a intervenção cirúrgica após a erupção dos laterais permanentes superiores. A indicação durante essa fase é para freio com inserção baixa na papila palatina, freio hipertrófico, que pode desencadear diastema considerável, além da associação com causas hereditárias.5,7 O caso clínico específico apresentava tais alterações e indicações de acordo com a literatura, o que justificou a tomada de decisão de intervir mais precocemente.
Em um estudo13 envolvendo 59 pacientes com diastema intercinsivo, duas terapêuticas foram testadas, 31 (52,5%) realizaram apenas tratamento ortodôntico e 27 (45,8%) realizaram frenectomia labial e ortodontia. Após 19 meses de acompanhamento, pôde‑se observar que o encerramento do diastema interincisivo foi mais previsível quando realizado frenectomia juntamente com o tratamento ortodôntico. Os autores ainda concluíram que a frenectomia pode ser indicada antes da erupção dos caninos permanentes em diastemas maiores, quando o encerramento espontâneo sugere dúvida.13 No caso relatado, a frenectomia foi realizada ainda sem a erupção dos caninos, seja porque não havia necessidade aparente para tratamento ortodôntico, seja em razão do padrão paterno - diastema persistente em dentição permanente.
Na literatura vigente, não há um consenso quanto à melhor idade para a intervenção da frenectomia labial. Alguns autores sugerem intervenção ainda na dentição decídua.14 Dependerá de diversos fatores, como os já relatados acima. Porém, quando se realiza a cirurgia no momento ideal de acordo com cada caso ou paciente, esta conduta pode prevenir uma provável intervenção ortodôntica. Os autores são unânimes quanto à não indicação da cirurgia na dentadura decídua, salvo em casos extremos, como freios hipertróficos ou que provoquem algum problema funcional.
Dada a falta de concordância na literatura quanto à fase ideal para a realização da frenectomia do freio labial anormal, o presente trabalho trouxe esta temática de relevância ainda em questão, o que evidenciou a importância de serem avaliadas características específicas de cada caso após a análise diagnóstica para a tomada de decisão do melhor momento de intervenção.
O tratamento relatado se deu em momento oportuno, uma vez que a paciente apresentava os requisitos para a realização da frenectomia, estava na fase de dentição mista, seus incisivos centrais e laterais superiores permanentes já estavam erupcionados, apresentava diastema associado à causa hereditária, bem como inserção baixa do freio.





















