Serviços Personalizados
Journal
Artigo
Indicadores
-
Citado por SciELO -
Acessos
Links relacionados
-
Similares em
SciELO
Compartilhar
Revista Portuguesa de Ortopedia e Traumatologia
versão On-line ISSN 1646-2939
Rev. Port. Ortop. Traum. vol.24 no.3 Lisboa set. 2016
CASO CLÍNICO
Tumor de Células Gigantes do Unciforme: Caso Clínico
Miguel Duarte SilvaI; Patrícia WirckerI; Francisco Guerra PintoI; João Gonçalves de CarvalhoI; Rui MartinsI; Nuno Côrte-RealI
I. Serviço de Ortopedia do Departamento de Especialidades Cirúrgicas do HPP Hospital de Cascais Dr. José de Almeida. Cascais. Portugal.
RESUMO
Os tumores ósseos primitivos são raros. O tumor de células gigantes do osso é um tumor benigno, localmente agressivo, constituído por células mononucleares indiferenciadas.
Ocorrem preferencialmente na extremidade distal do fémur, na tíbia proximal, na extremidade distal do rádio, na extremidade proximal do úmero, na extremidade proximal do fémur e no sacro e pélvis, sendo outras localizações extremamente raras. O tratamento consiste na excisão da lesão, sendo o defeito ósseo preenchido com enxerto ósseo ou substituto ósseo. O papel dos tratamentos adjuvantes é controverso. A recorrência deste tipo de tumor ocorre em 15% dos casos.
Apresentamos um caso de uma doente de 17 anos com um tumor de células gigantes do unciforme, que apresentava dor e impotência funcional da mão. Além de se tratar de um tumor ósseo raro, trata-se também de uma localização pouco habitual.
Após a curetagem do tumor e o preenchimento do defeito ósseo local com enxerto autólogo ilíaco observou-se recorrência. A cirurgia de revisão consistiu na excisão completa do osso unciforme e preenchimento do espaço com hemitendão do grande palmar. Aos 6 meses, a doente não apresenta qualquer sinal de recidiva da doença e recuperou totalmente a mobilidade e a força do punho e mão.
Palavras chave: Tumor de células gigantes, unciforme.
ABSTRACT
Primary bone tumors are rare. The giant-cell tumor of bone is a benign, locally agressive tumor formed by mononuclear cells. Its main locations are the distal femur, proximal tibia, distal radius, proximal humerus, proximal femur, sacrum and pelvis. Other locations are very uncommon. The treatment is the excision of the tumor. Recurrence happens in 15% of cases.
We present a case of a 17-years old woman with a giant cell tumor of the hamate, who presented with diminished strength and functional compromise of the hand. It is a very uncommon location for this type of tumor.
After curettage of the lesion and fill with autologous iliac crest graft, there was recurrence of the tumor. A total hamate resection was performed and flexor carpis radialis tendon was used for interposition. After 6 mounths, the patient was symptom free and recovered total strength and mobility of the hand and wrist.
Key words: Giant cell tumor, hamate.
INTRODUÇÃO
O tumor de células gigantes do osso (TCGO) é um tumor benigno que apresenta algumas características de agressividade, nomeadamente uma grande taxa de recidiva1. Representa cerca de 4 a 9.5% de tumores ósseos primários na população ocidental, sendo mais frequente nos asiáticos onde pode chegar aos 20% dos tumores ósseos primários2,3. As localizações mais frequentes são o fémur distal, tíbia proximal e no rádio distal, principalmente em esqueletos imaturos.
O rádio distal é o terceiro local mais frequente dos TCGO, representando cerca de 10% dos casos, sendo que 6% das lesões envolvem o cúbito distal. O envolvimento dos ossos da mão é raro, representando cerca de 2 a 4% dos casos4,5.
No geral, o TCGO é mais frequente na segunda e terceira décadas de vida e há uma ligeira predominância do sexo feminino2.
Clinicamente, apresenta-se por dor e edema. Os dois sistemas de classificação e estadiamento foram propostos por Enneking (estadiamento cirúrgico)6 e Campanacci (baseado nos achados radiológicos)7.
Normalmente são únicos, mas envolvimento multi-focal está descrito em cerca de 1% dos casos8. Este envolvimento multi-focal ocorre mais frequentemente nos doentes mais jovens. Nestes casos, é esperada recorrência da doença em cerca de 50% em dois anos e 62 % dos doentes desenvolvem doença em mais de dois locais8.
Radiologicamente, a aparência típica dos TCGO é a de uma massa expansível, excêntrica e lítica, que se localiza numa posição subarticular3.
O tratamento é cirúrgico, sendo que a excisão completa é necessária para evitar a recidiva.
O objetivo deste artigo é a apresentação de um caso clínico de uma doente com um tumor de células gigantes, com uma localização extremamente rara: o unciforme.
CASO CLÍNICO
Apresentamos um caso de uma doente do sexo feminino, de 17 anos de idade que é encaminhada para consulta externa de Ortopedia em Junho 2014 por tumefação dorsal do punho direito, com queixas dolorosas locais associadas ao esforço. A massa tinha cerca de 2 cm de maior diâmetro, limites bem definidos, de contornos regulares, consistência dura, móvel relativamente à pele e aderente aos planos profundos, e não se palpavam nódulos linfáticos no escavado axilar ou noutros segmentos do membro superior.
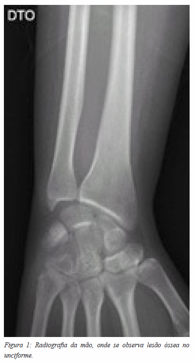
Apresentava radiografia (Figuras 1 e 2) com lesão lítica do unciforme, com esclerose dos bordos, sem disrupção da cortical, que ocupava cerca de 30% do osso. Foi pedida uma TC, que revelou uma lesão ocupando espaço do unciforme.


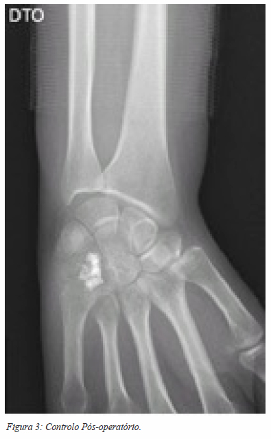
A hipótese diagnóstica, pela aparente não agressividade da lesão e dada a elevada prevalência, era a de um encondroma. Foi submetida a cirurgia de remoção da lesão. Por via dorsal, foi curetada a lesão com colocação de enxerto esponjoso de ilíaco e fosfato de cálcio. A recuperação decorreu sem intercorrências, com recuperação progressiva da mobilidade do punho. O controlo radiográfico da cirurgia está ilustrado nas figuras 3 e 4.


Foi enviada a peça para exame anatomo-patológico, sendo o resultado compatível com osteoma osteoide do unciforme, pela presença de emaranhado de trabéculas ósseas rodeadas por osteoblastos (figura 5). No entanto, apresentava também células gigantes multi-nucleadas (figura 6).


Seis meses após a cirurgia, por recidiva das queixas e nova tumefação na mesma região, faz RMN que revela lesão do unciforme com características expansivas locais mas sem sinais de invasão regional.
Por este motivo marca-se para remoção de unciforme, sendo as hipóteses diagnósticas neste momento um osteoma osteoide ou um tumor de células gigantes do osso, pela aparência radiológica e o facto de ter recidivado após a curetagem.
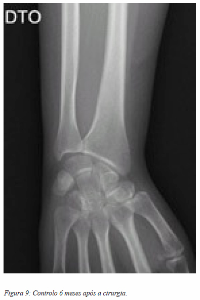
No dia 12 Março 2015 é submetida a exérese em bloco do tumor ósseo recidivado do unciforme direito e preenchimento do espaço com hemitendão do grande palmar (figuras 7, 8 e 9). Optámos pelo hemitendão do grande palmar porque intra-operatoriamente verificámos que a doente tinha uma variante anatómica do normal e não apresentava o músculo pequeno palmar que seria, em condições normais, a nossa primeira opção para fazer a almofada biológica.



O exame anatomo-patológico apresentava células gigantes multinucleadas, tipo osteoclasto e células mononucleadas, com ligeiro pleomorfismo e raras mitoses (figura 10 e 11), aspetos que apontam para um tumor de células gigantes do osso. Seis meses após a cirurgia, a doente não apresenta sinais de recidiva da doença, e mantém a amplitude de todos os movimentos do punho, não tendo sido medida objetivamente a força de preensão.


DISCUSSÃO
O TCGO é extremamente raro, com uma taxa de recidiva elevada quando tratado por simples excisão da lesão9.
Deste caso salienta-se a importância do diagnóstico histológico, na decisão terapêutica. No primeiro resultado anatomo-patológico, era sugerida a hipótese de um osteoma osteoide que se apresenta como um emaranhado de trabéculas ósseas, circundado por osteoblastos, osteoclastos e capilares dilatados10.
O que diferencia o tumor de células gigantes do osso é a presença de células gigantes multi-nucleadas, tipo osteoclasto, e células ovais mononucleares, que correspondem ao componente proliferativo do tumor, uniformemente distribuídas11. Necrose, hemorragia, deposição de hemossiderina e formação de osso reativo são frequentes10. A presença de células gigantes tipo osteoclasto e células mononucleares foi o fator que levou ao diagnóstico de tumor de células gigantes no caso apresentado. No entanto, estas células podem estar presentes noutros tipos de tumor, como o osteoma osteoide, o osteoblastoma ou mesmo o osteossarcoma, dificultando o diagnóstico do patologista, salientando-se a importância do relacionamento dos dados histológicos com os clínicos e imagiológicos.
Existem dois principais modos de tratamento destas lesões: resseção local da lesão e excisão do osso afetado1. Apesar de benignos, estes tumores têm uma agressividade local significativa e a taxa de recidiva após excisão local e enxerto pode chegar aos 60%12. Um estudo realizado por Campanacci et al em 327 doentes com TCGO revelou que a recorrência após excisão local era de 27%, após excisão com margens de segurança era de 8% e que após excisão alargada completa era de 0%5. Outro estudo, realizado por McDonald et al reportou taxa de recorrência de 34% nos doentes tratados por curetagem da lesão e apenas de 7% nos doentes tratados com excisão alargada13.
Estes resultados sugerem que a curetagem da lesão, isolada ou com enxerto ósseo, é um tratamento ineficaz para os TCGO do carpo, e indicam que um procedimento excisional mais agressivo e invasivo é mais eficaz para o tratamento deste tipo de tumores1.
No caso descrito, a abordagem inicial foi a de excisão local da lesão com enxerto ósseo e de fosfato de cálcio, sendo que após 6 meses, a lesão tinha recidivado. Por esse motivo, na ocasião da segunda cirurgia, optou-se por fazer a excisão total do osso unciforme.
CONCLUSÃO
O tumor de células gigantes do unciforme é um tumor benigno raro, sendo os ossos do carpo, nomeadamente o unciforme, uma localização rara para este tipo de tumor.
A apresentação clínica da doente do caso apresentado foi a descrita para este tipo de lesão, com os achados imagiológicos e anatomo-patológicos a confirmarem o diagnóstico.
Após a revisão da literatura, concluímos que o nosso caso seguiu um curso relativamente expectável para um tumor de células gigantes do osso, e foi esse o motivo pelo qual se optou pela excisão em bloco do osso unciforme.
Neste momento, temos 6 meses de seguimento da doente, e esta não apresenta qualquer sinal de recidiva local da lesão, sendo que clinicamente a doente apresenta força e mobilidade do punho e mão normais.
REFERÊNCIAS BIBLIOGRÁFICAS
1. Shigematsu k. Giant cell tumours of the carpus. J Hand Surg. 2006; 31 (7): 1214-1219 [ Links ]
2. Murphey MD, Nomikos GC, Flemming DJ. Imaging of giant cell tumor and giant cell reparative granuloma of bone: radiologic-pathologic correlation. Radiographics. 2001; 21: 1283-1309 [ Links ]
3. James SL, Davies AM. Giant-cell tumours of bone of the hand and wrist: a review of imaging findings and differential diagnoses. Eur Radiol. 2005 Sep; 15 (9): 1855-1866
4. Harness NG, Mankin HJ. Giant-cell tumor of the distal forearm. J Hand Surg Am. 2004 Mar; 29 (2): 188-193
5. Campanacci M, Baldini N, Boriani S. Giant cell tumour of bone. J Bone Joint Surg Am. 1987 Jan; 69 (1): 106-114
6. Enneking WF. Musculoskeletal tumor surgery. New York: Churchill Livingstone; 1983. [ Links ]
7. Campanacci M, Giunti A, Olmi R. Giant cell tumours of bone. A study of 209 cases with long term follow up in 130. Ital J Orthop Traumatol. 1979; 1: 249 [ Links ]
8. Cummins CA, Scarborough MT, Enneking WF. Multicentric gian-cell tumor of bone. Clin Orthop Relat Res. 1996 Jan; (322): 245-252
9. Sakayama K, Sugawara Y, Kidani T. Giant cell tumour of the hamate treated successfully by acrylic cementation:a case report. J Hand Surg Eur Vol. 2008 Dec; 33 (6): 803-805
10. Kumar V, Abbas K, Aster C. Robbins and Cotran Pathologic Basis of Diseases. 9th Edition. Saunders; 2014. [ Links ]
11. Picci P, Manfrini M, Fabbri N. Atlas of Musculoskeletal Tumors and Tumorlike Lesions. Springer; 2014. [ Links ]
12. Goldberg RR, Campbell CJ, Bonfiglio M. Giant-cell tumor of bone. J Bone Joint Surg. 1970; 52A: 619-664 [ Links ]
13. McDonald DJ, Sim FH, McLeod RA, Dahlin DC. Giant-cell tumor of bone. J Bone Joint Surg. 68A: 235-242 [ Links ]
Conflito de interesse:
Nada a declarar.
Miguel Duarte Silva
Serviço de Ortopedia do Departamento de Especialidades Cirúrgicas. HPP Hospital de Cascais Dr. José de Almeida.
Av. Brigadeiro Victor Novais Gonçalves
2755-009 Alcabideche
Telefone: 214653000
miguelduartesilva@gmail.com
Data de Submissão: 2016-10-09
Data de Revisão: 2017-01-28
Data de Aceitação: 2017-02-01













