Serviços Personalizados
Journal
Artigo
Indicadores
-
Citado por SciELO -
Acessos
Links relacionados
-
Similares em
SciELO
Compartilhar
Jornal Português de Gastrenterologia
versão impressa ISSN 0872-8178
J Port Gastrenterol. vol.21 no.2 Lisboa abr. 2014
https://doi.org/10.1016/j.jpg.2014.01.007
CASO CLÍNICO
Esofagite eosinofílica e alergia alimentar: há ou não relação estabelecida? Caso clínico
Eosinophilic esophagitis and food allergy: Is there an established relationship? Clinical case
M.I. Monteiroa,∗, A. Azevedoa, A. Oliveiraa, C. Rochaa, L. Gomesa, R. Cerqueirab e M. Costaa
a Serviço de Pediatria, Centro Hospitalar Entre-Douro-e-Vouga, Santa Maria da Feira, Portugal
b Serviço de Gastroenterologia, Centro Hospitalar Entre-Douro-e-Vouga, Santa Maria da Feira, Portugal
*Autor para correspondência
RESUMO
Introdução: A esofagite eosinofílica (EE) é uma entidade caracterizada por sintomas esofágicos, com presença de densa eosinofilia, na ausência de doença de refluxo, excluída por pHmetria ou falta de resposta a tratamento com inibidor da bomba de protões. Diversas Guidelines estabelecem critérios de diagnóstico.
Caso clínico: Adolescente, 14 anos. Antecedentes de baixo peso desde os 19 meses (p 5) e asma brônquica desde os 3 anos. Iniciou sintomas de disfagia intermitente, sendo colocada hipótese de RGE, fez tratamento prolongado com IBP, sem sucesso. Foi orientado para consulta de patologia digestiva por persistência das queixas, com disfagia para sólidos e episódios de impacto alimentar. Na EDA houve impossibilidade de progressão do endoscópio por estenose, mucosa com anéis traqueiformes. As biópsias confirmaram o diagnóstico. Fez testes alergénios com positividade para alergénios inalantes e alimentares (avelã, trigo). Iniciou fluticasona com melhoria ligeira. Associou posteriormente evicção de alimentos aos quais tinha alergia, revelando melhoria clínica, com tradução em aumento de peso (p 10-25).
Discussão/conclusões: A patogénese da EE está relacionada com atopia. O objetivo do tratamento é a melhoria da qualidade de vida do doente. Tal como este caso ilustrou, o controlo da doença englobando componente dietética conduziu a uma maior melhoria clínica.
Palavras-Chave: Esofagite eosinofílica; Alergénios; Esófago; Endoscopia
ABSTRACT
Introduction: Eosinophilic esophagitis (EE) is an entity characterized by esophageal symptoms with the presence of dense eosinophilia, in the absence of reflux disease excluded by pHmetry or lack of response to treatment with proton pump inhibitor. Various guidelines try to establish diagnostic criteria.
Clinical case: Teenager, 14 years old. A history of low birth weight from 19 months (p5) and asthma since age of 3. Started symptoms of intermittent dysphagia, being placed reflux disease hypothesis, he did prolonged treatment with PPI with no success. The patient was refered to the Digestive Pathology enquiry, because of persistence of complaints, now with dysphagia for solids and impact feeding episodes. In HDE the progression of the endoscope was not possible by the existence of stenosis, in a mucosa with traqueiform rings. A biopsy confirmed the diagnosis. Were performed allergens tests with positivity for food and inhalant allergens (hazelnut, wheat). Started fluticasonewith with slight improvement. Later, started eviction of food he had allergy, showing clinical improvement, which resulted in weight gain (p10-25).
Conclusion: The pathogenesis of EE is related to atopy. The goal of treatment is to improve the quality of life of the patient. As illustrated by this case, the control of the disease with a dietary component led to greater clinical improvement.
Keywords: Eosinophilic esophagitis; Allergens; Esophagus; Endoscopy
Introdução
O primeiro caso de esofagite eosinofílica (EE) foi descrito em 1977, sendo que até 1990 a presença de infiltrado eosinofílico foi sinónimo de doença refluxo gastroesofágico (DRGE). Apenas em 1993 a EE foi considerada como entidade clínica distinta.
De facto os sintomas de EE são semelhantes aos da DRGE, daí constituir uma importante dificuldade diagnóstica. No entanto, as características patológicas e os sintomas de EE não respondem ao tratamento de supressão ácida. A EE é uma condição clínica caracterizada por: sintomas gastrointestinais, principalmente esofágicos, associados à presença de densa eosinofilia (≥ a 15 eosinófilos intraepiteliais/CGA) no material de biópsia, com hiperplasia do epitélio escamoso. A ausência de DRGE deve ser descartada por pHmetria ou falta de resposta clínica após tratamento prolongado com elevada dose (> 2 mg/kg/dia) de inibidor da bomba de protões1-4.
A eosinofilia esofágica não é exclusiva da EE. A sua presença encontra-se em inúmeras patologias como: DRGE, oenças infeciosas, doenças do tecido conjuntivo, resposta de hipersensibilidade a drogas, síndrome hipereosinofílica, doenças inflamatórias intestinais ou gastroenterite eosinofílica, entre outras.
A EE afeta mais frequentemente o sexo masculino (3:1 a 4:1), não estando clara qualquer relação étnica ou racial. Dada a falta de mortalidade, a prevalência ao longo do tempo tende a aumentar, mesmo que a incidência continue semelhante5.
Há evidências de que a EE tem forte associação familiar.
Existe uma resposta do tipo T helper, com desgranulação de eosinófilos, que irão provocar lesão imediata. Os eosinófilos são células capazes de iniciar respostas imunológicas adaptativas, além de manterem e propagarem reações inflamatórias. Estudos in vitro têm demonstrado que os grânulos constituintes dos eosinófilos são citotóxicos, conduzem ao aumento da reatividade do músculo liso, induzindo desgranulação de mastócitos e basófilos. Os eosinófilos produzem citocinas pró-inflamatórias, levando a fibrose e angiogénese, com perda de elasticidade e estreitamento luminal. Importante salientar a boa resposta que se verifica com a modificação ambiental3,6-8.
As manifestações clínicas da EE variam entre: intolerância alimentar/aversão, RGE refratário ao tratamento médico ou cirúrgico, vómitos/regurgitação, impacto alimentar/ corpos estranhos, atraso desenvolvimento estaturoponderal, dor abdominal epigástrica ou disfagia. O diagnóstico tem por base a importante suspeição clínica, que leva à realização de endoscopia digestiva alta com biópsia9,10. As alterações encontradas são as estrias longitudinais, maior friabilidade da mucosa, edema, placas/exsudados esbranquiçados, traqueização esofágica (anéis), mucosa em papel de celofane, destacamento da mucosa com microabcessos, menor motilidade e estreitamento. Não esquecer que macroscopicamente pode tratar-se de uma mucosa sem alterações visíveis.
A pHmetria é normal em 90-100% das crianças, não tem valor diagnóstico.
O estudo contrastado pode ser benéfico em crianças com vómitos para exclusão de etiologia anatómica (má rotação) e pode ser útil para realização subsequente de endoscopia, na decisão do calibre do endoscópio/necessidade de dilatação.
A histologia tipicamente associada a EE é a presença de mais de 15 eosinófilos intraepiteliais/CGA: é controverso se será critério único. Não desvalorizar a importância da clínica. Habitualmente há microabcessos eosinofílicos (agregados de 4 ou + eosinófilos), infiltrado inflamatório eosinofílico em camadas superficiais (terço superior até terço médio do epitélio escamoso), hiperplasia da camada basal (quando ocupa > 20% do epitélio) e alongamento das papilas; sendo que nenhuma destas alterações é patognomónica.
Deve realizar-se um número de biópsias considerável, a maioria dos centros realiza pelo menos 6, uma vez que se trata de uma doença focal. Devem ser efetuadas igualmente a 2 níveis, esófago proximal e distal, na tentativa de excluir outras causas de eosinofilia esofágica. A biópsia gástrica e duodenal simultânea também é aconselhada para descartar outras patologias, nomeadamente gastroenteropatia eosinofílica.
A patogénese da EE está diretamente relacionada com atopia. É sem dúvida uma doença crónica do foro imune. A maioria dos doentes apresenta evidências de hipersensibilidade a alimentos/alergénios aéreos/história de alergias respiratórias, muitas vezes associados a eosinofilia periférica e aumento de IgE. Os doentes com EE em 50-80% dos casos são atópicos (rinite alérgica/asma/dermatite atópica/sensibilização alérgica da pele). Doentes com rinite alérgica apresentam elevações sazonais dos eosinófilos esofágicos. Doentes com EE também apresentam variações sazonais dos seus sintomas. Aproximadamente 2/3 dos doentes têm testes cutâneos positivos a pelo menos um alergénio alimentar4,11.
Os alimentos mais comumente relacionados são: amendoim, ovo, soja, leite de vaca e trigo. A eliminação de alguns alimentos da dieta conduz a 77% de resolução de alterações histológicas.
Desconhece-se ainda o impacto do tratamento a longo prazo e o dano final da doença12.
A supressão ácida com inibidores da bomba de protões é útil no diagnóstico. Sabemos que a acidez irrita mais o esófago, já inflamado, logo é igualmente uma terapia adjuvante.
A dilatação esofágica de estenoses é fundamental para o bem-estar do doente. A dilatação está indicada quando ocorrem sintomas secundários à estenose. Traduz-se em riscos do próprio procedimento: perfuração, laceração (mucosal tearing) e, apesar do sucesso, 7-50% dos doentes tem recorrência dos sintomas e necessita de novas dilatações.
A corticoterapia sistémica traduz melhoria clínica e histológica. É útil na necessidade de rápido alívio dos sintomas (disfagia grave, desidratação devida a dificuldade em deglutição, perda de peso, estenose esofágica). Não esquecendo os efeitos laterais desta medicação em idade pediátrica.
O corticoesteroide tópico tem associada melhoria clínica e histológica. Os efeitos adversos mais frequentes são a candidíase esofágica e sensação de «boca seca». Entre os mais usados a fluticasona (220-440 ug 2 x /dia) dose inalada; > 750 ug/dia; apesar de não estar ainda aprovado no tratamento da EE, tem uma resposta de 95% aos 3 meses, resposta rápida. Não esquecer que os estímulos se mantêm e portanto a doença tende a perpetuar-se.
Os antagonistas do recetor de leucotrienos promovem alívio dos sintomas, mas sem efeito benéfico na eosinofilia.
O tratamento dietético com remoção de antigénios alimentares/alimentos específicos (história clínica + testes) controlam os sintomas, bem como as alterações histopatológicas: ainda é um tratamento controverso. O uso de dieta empírica deve ser monitorizado de perto por nutricionista. A remoção de 6 alimentos (leite, trigo, soja, frutos secos, ovo) durante 4-6 semanas, seguida de reintrodução individual a cada 4-6 semanas. A dieta guiada por testes alergológicos (PRICK, PATCH) muitas vezes associada a evicção do leite para ser melhor aceite pelo doente. O uso de fórmula de aminoácidos é o padrão-ouro para determinar se os antigénios alimentares são responsáveis pela EE. Mas têm baixa palatabilidade, baixa adesão e elevado custo7,11-16.
Tratamentos recentes com anticorpos para já ainda sem eficácia comprovada17,18.
Caso clínico
D.T.C., sexo masculino, 14 anos de idade.
Antecedentes pessoais de relevo:
- Baixo peso desde os 19 meses (percentil 5 até aos 12 anos, sem desaceleração).
- Asma brônquica diagnosticada aos 3 anos.
Antecedentes familiares eram irrelevantes.
Adolescente seguido em consulta de imunoalergologia desde 2001. Em 2006 ocorreu a realização de phadiatop, positivo para atopia a alergénios inalantes. Em 2010 revelou: IgE 187 KU/L, atopia a alergénios inalantes, positividade para ervas daninhas, gramínea, atopia a pelo de gato, positividade para IgE específica para Dermatophagoides pteronyssinus e farinae (classe 2). Pesquisa de alergénios alimentares positivos.
Iniciou sintomas inespecíficos de disfagia intermitente, em 2010, sendo colocada a hipótese de DRGE. Fez tratamento prolongado com IBP, embora sem melhoria/melhoria muito ligeira dos sintomas.
Assim, em outubro de 2011 foi orientado para consulta de patologia digestiva por queixas mais consistentes de disfagia, agora principalmente para sólidos, com episódios de impacto alimentar, que o doente resolvia no domicílio sem recorrência ao serviço de urgência. Refere que ingeria preferencialmente líquidos, elevada quantidade de água e demorava mais tempo a realizar as refeições uma vez que mastigava repetidamente cada alimento sólido.
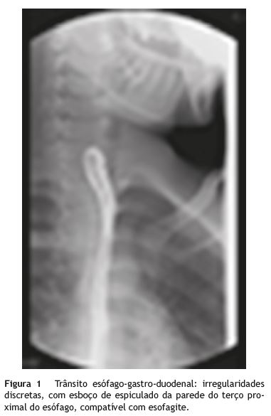
Em janeiro de 2012 realizou trânsito esófago-gastro-duodenal que revelou irregularidades discretas, com esboço de espiculado da parede do terço proximal do esófago compatível com esofagite (fig. 1).
Posteriormente realizou endoscopia digestiva alta (EDA), que revelou estenose a 30 cm não permitindo a passagem do endoscópio. A mucosa apresentava evidente edema e friabilidade, estrias longitudinais, alguns ponteados ou exsudados esbranquiçados, bem como anéis circulares fixos ou transitórios (anéis traqueiformes) (fig. 2). Foram efetuadas biópsias, compatíveis com acentuada EE.
Iniciou tratamento com fluticasona (250 2 puffs 2 x /dia- 8 semanas) com melhoria ligeira dos sintomas.
Em outubro de 2012 progrediu nos testes cutâneos que revelaram: positividade para avelã, mistura de cereais principalmente o trigo. Associou assim ao tratamento, a evicção destes alimentos, aos quais tinha alergia, revelando acentuada melhoria clínica, com tradução em aumento de peso (p 10-25).
Repetiu EDA em fevereiro de 2013: esófago traqueiforme, agora sem estenose. As biópsias mantêm EE, agora ligeira.
Mantém-se atualmente em seguimento em consulta externa, estando clinicamente assintomático.
Discussão/conclusão
Dada a falta de mortalidade, a prevalência desta doença ao longo do tempo tende a aumentar, mesmo que a incidência continue semelhante5,19.
Sem dúvida, a sua patogénese está diretamente relacionada com atopia: a maioria dos doentes apresenta evidências de hipersensibilidade a alimentos/alergénios inalantes4,11,12.
O controlo da doença deve englobar componente dietético, tal como este caso clínico veio ilustrar. A remoção de alimentos específicos (história clínica + testes) conduziu a um maior alívio dos sintomas.
Fica por esclarecer, neste doente, a data exata de início do quadro de EE. O diagnóstico é por vezes tardio, principalmente pela semelhança ou coexistência de RGE.
A nível histológico ficam ainda por esclarecer os dados que permitem ao patologista afirmar o grau de eosinofilia20.
Importante refletir sobre o objetivo do tratamento. Se pretendemos uma melhoria clínica ou uma melhoria histológica (prevenção de impacto alimentar, prevenção de fibroestenose, risco de infeções HSV)15,21.
Quais serão os marcadores de maior risco ou maior gravidade da doença. Será que a estenose se traduz numa doença de mais difícil controlo?
As complicações major da EE são a remodelação e estreitamento esofágico, que devemos evitar. Para isso são necessárias estratégias para monitorizar a doença. Para já, acompanhamento destes doentes é curto. Não há ainda evidência de associação a malignidade.
De salientar a realização de biópsia para o diagnóstico desta patologia, o tratamento de 8 semanas com IBP, que não só inibe a secreção ácida como também diminui citoquinas (IL-5 e eotaxina 3), e posterior repetição de EDA com biópsia. Só aí se chega a conclusões definitivas e se considera a necessidade de estudos adicionais3,7,8.
É uma doença com uma boa correlação clínico-histológica, questiona-se assim sobre a necessidade de repetições seriadas de EDA e biópsia no doente assintomático. Ainda por definir nos consensos mundiais os timings para a sua realização21.
Este artigo pretende salientar a importância de pensar neste diagnóstico, para a melhoria da qualidade de vida do doente, redução dos riscos/impactação e prevenção de danos irreversíveis (remodelação do tecido). Devemos ponderar esta etiologia em casos de má evolução ponderal e dificuldades alimentares5.
A terapêutica de ser adequada ao doente e em articulação com o alergologista7,11,12,18.
Bibliografia
1. Silva, Marlone Cunha da, Carlos, Alexandre de Sousa, Montes, Ciro Garcia. Esofagite eosinofílica em adultos: [revisão]/ Eosinophilic esophagitis in adults: [review] RBM rev. Bras. med. 2008;65(9):273-8. [ Links ]
2. Chehade M, Lucendo AJ, Achem SR, Souza RF. Causes, evaluation, and consequences of eosinophilic esophagitis. Ann N Y Acad Sci. 2013;1300(1):110-8. [ Links ]
3. Rodrigues AL, Palha AM, Lopes AI. Eosinophilic esophagitis: Clinical expression at pediatric age. Acta Med Port. 2011;24(6):1065-74. [ Links ]
4. Davis CM. Practical management of esosinophilic esophagitis. Pediatr Ann. 2013;42(7):128-34. [ Links ]
5. Hill CA, Ramakrishna J, Fracchia MS, Sternberg D, Ojha S, Infusino S, et al. Prevalence of eosinophilic esophagitis in children with refractory aerodigestive symptoms. JAMA Otolaryngol Head Neck Surg. 2013;139(9):903-6. [ Links ]
6. Rocha R, Amil J, Dias. Eosinophilic esophagitis in children: Basic concepts. Journal of Food Allergy. 2012;1:27-35. [ Links ]
7. Aceves SS. Food allergy testing in eosinophilic esophagitis: What the gastroenterologist needs to know. Clin Gastroenterol Hepatol. 2013. [ Links ]
8. Jensen ET, Kappelman MD, Kim H, Ringel-Kulka T, Dellon ES. Early life exposures as risk for pediatric eosinophilic esophagitis. J Peadiatr Gastroenterol Nutr. 2013;57(1):67-71. [ Links ]
9. Thakkar K, Chen L, Tessier ME, Gilger MA. Outcomes of children after esophagogastroduodenoscopy for chronic abdominal pain. Clin Gastroenterol Hepatol. 2013. [ Links ]
10. Pellicano R, de Angelis C, Ribaldone DG, Fagoone S, Astegiano M. Review 2013 update on celiac disease and eosinophilic esophagitis. Nutrients. 2013;5:3329-36. [ Links ]
11. Ridolo E, Montagni M, Olivieri E, Rogkakou A, DeAngelis GL, Canonica GW. Eosinophilic esophagitis: Which role for food and inhalant allergens? Asia Pac Allergy. 2012;2(4): 237-41. [ Links ]
12. AI-Hussani A, AI-Idressi E, Al-Zahrani M. The role of allergy evaluation in children with eosinophilic esophagitis. J Gastroenterol. 2013. [ Links ]
13. Aceves SS, Furuta GT, Spechler SJ. Integrated approach to treatment of children and adults with eosinophilic esophagitis. Gastrointest Endoscopy Clin N Am. 2008;18:195-217. [ Links ]
14. Gleen T, Furuta, Chris A, Liacouras, Margareth H, Collins, et al. Rothenberg, and Members of the First International Gastrointestinal Eosinophil Research Symposium (FIGERS) Subcommittees Eosinophilic Esophagitis in Children and Adults: A Systematic Review and Consensus Recommendations for Diagnosis and Treatment. Sponsored by the American Gastroenterological Association (AGA) Institute and North American Society of Pediatric Gastroenterology, Hepatology, and Nutrition. Gastroenterology. 2007;133:1342-63. [ Links ]
15. Vashi R, Hirano I. Diet therapy for eosinophilic esophagitis: When, why and how. Curr Opin Gastroenterol. 2013;29(4):407-15. [ Links ]
16. Davis BP, Rothenberg ME. Emerging concepts of dietary therapy for pediatric and adult esosinophilic esophagitis. Expert Rev Clin Immunol. 2013;9(4):285-7. [ Links ]
17. Otani M, Anilkumar AA, Newbury RO, Bhagat M, Beppu LY, Dohil R, et al. Anti-IL-5 therapy reduces mast cell and IL-9 cell numbers in pediatric patients with eosinophilic esophagitis. J Allergy Clin Immunol. 2013;131(6):1576-82. [ Links ]
18. Moreno-Borque R, Gisbert JP, Santander C. Pathophysiological bases of eosinophilic esophagitis therapy. Inflamm Allergy Drug Targets. 2013;12(1):46-53. [ Links ]
19. Sprenger RA, Arends JW, Poley JW, Kuipers EJ, ter Borg F. Eosinophilic oesophagitis: An enigmatic, emerging disease. Neth J Med. 2009;67(1). [ Links ]
20. Colombo JM, Neilan NA, Schurman JJV, Friesen CA. Validation of methods to assess potential bioarmarkers in pediatric patients with esophageal eosinofilia. World J Gastrointest Pharmacol Ther. 2013;4(4):113-9. [ Links ]
21. Rodrigues M, DAmico MF, Patino FR, Barbieri D, Daião AO, Sipahy AM. Clinical manifestations, treatment and outcomes of children and adolescentes with eosinophilic esophagitis. J Pediatr (Rio J). 2013;89(2):197-203. [ Links ]
*Autor para correspondência
Correio eletrónico: monteiro.mines@gmail.com (M.I. Monteiro).
Responsabilidades éticas
Proteção de pessoas e animais. Os autores declaram que ara esta investigação não se realizaram experiências em seres humanos e/ou animais.
Confidencialidade dos dados. Os autores declaram ter seguido os protocolos do seu centro de trabalho acerca da publicação dos dados de pacientes.
Direito à privacidade e consentimento escrito. Os autores declaram ter recebido consentimento escrito dos pacientes e/ou sujeitos mencionados no artigo. O autor para correspondência deve estar na posse deste documento.
Conflito de interesses
Os autores declaram não haver conflito de interesses.
Recebido a 17 de dezembro de 2013; aceite a 20 de janeiro de 2014












