Serviços Personalizados
Journal
Artigo
Indicadores
-
Citado por SciELO -
Acessos
Links relacionados
-
Similares em
SciELO
Compartilhar
Nascer e Crescer
versão impressa ISSN 0872-0754
Nascer e Crescer v.20 n.2 Porto jun. 2011
Patologia ovárica num centro oncológico pediátrico
Marisa Carvalho1, Maria Bom Sucesso2, Ana Maia Ferreira2, Lucília Norton2, Norberto Estevinho3
1 Serviço de Pediatria, CH Trás-os-Montes e Alto Douro
2 Serviço de Pediatria, IPOF-G, Porto
3 Serviço de Cirurgia Pediátrica, IPOF-G, Porto
RESUMO
Introdução: A patologia ovárica é rara em idade pediátrica. Deve, no entanto, ser um diagnóstico a considerar em criança ou adolescente com dor abdominal, massa pélvica ou irregularidade menstrual. Os sintomas não são geralmente esclarecedores na distinção entre massas benignas e malignas e por isso a cirurgia tem um papel importante, não só no diagnóstico, mas também no estadiamento e tratamento.
Objectivo: Estudo retrospectivo do tipo de patologia do ovário referenciada ao Serviço Pediatria do IPO Porto FG de Janeiro de 2000 a Abril de 2009.
Métodos: Consulta dos processos clínicos com análise da: idade, apresentação clínica, resultados analíticos e imagiológicos, diagnóstico histológico, terapêutica, seguimento e patologias associadas.
Resultados: Durante este período foram admitidas 16 doentes com lesões do ovário, com idades entre os cinco e 15 anos. As manifestações clínicas mais comuns foram a massa palpável, dor abdominal e irregularidade menstrual. Quatro apresentavam marcadores tumorais elevados. Duas doentes foram transferidas de outro hospital, já submetidas a uma primeira cirurgia. A abordagem inicial variou entre ressecção cirúrgica (doze) e biópsia por agulha (duas). Duas doentes mantiveram-se em vigilância, com resolução espontânea das lesões quísticas. Histologicamente identificaram-se seis lesões não neoplásicas e dez lesões tumorais, sendo a maioria benigna (n=7) (teratomas maduros). O Síndrome de Mayer-Rokitansk, útero didelfos, disgenesia gonadal e síndrome do ovário poliquístico, foram identificados como patologia associada em quatro doentes. Submeteram-se a tratamento cirúrgico 14 doentes e a quimioterapia duas doentes.
Conclusão: No nosso estudo predominaram as lesões tumorais ováricas com necessidade de uma abordagem multidisciplinar e envolvimento de um centro oncológico pediátrico.
Palavras-chave: idade pediátrica, massa ovárica, tumor do ovário.
Ovarian lesions in a paediatric oncology center
ABSTRACT
Introduction: Pediatric ovarian lesions are uncommon. However they should be ruled out in a patient with abdominal pain, pelvic mass or menstrual irregularity. The symptoms are usually not useful in distinguishing between benign and malignant masses, so surgery has an important role, not only in diagnosis but also in the staging and treatment. A retrospective study was made for ovarian lesions that were referred to our Pediatric Oncology Service of IPO Porto, from January 2000 to April 2009.
Methods: Information about age, clinical presentation, imaging, analytical results, histological diagnosis, treatment, monitoring and associated diseases were collected from the patient clinical process.
Results: During this period sixteen girls were admitted with ovarian masses, aged between five and fifteen years. The most common clinical manifestations were a palpable mass, abdominal pain and menstrual irregularity. Four had elevated tumor markers. Two patients underwent a previous surgery before admission. The initial approach was surgical resection in twelve girls and only two did needle biopsy. Two patients had spontaneous lesions. Histological analyses identified six non-neoplasic lesions and ten neoplasic lesions, most benign tumors (mature teratoma). The Mayer-Rokitansk syndrome, uterus dydelphos, gonadal dysgenesis and polycystic ovary syndrome were identified as associated pathology in four patients. Underwent surgical treatment fourteen patients and chemotherapy two patients.
Conclusions: In our study there was a greater prevalence of tumoral lesions, needing a multidisciplinary approach, and the involvement of a Paediatric Oncology Center.
Keywords: pediatric, ovarian mass, ovarian lesions.
INTRODUÇÃO
Alguma da patologia ginecológica que atinge crianças e adolescentes, por ser pouco frequente em idade pediátrica pode levantar alguns problemas no diagnóstico. O tumor ginecológico é responsável por 1,2% de todos os tumores malignos na infância e 60 a 70% têm origem no ovário.(1) As massas anexiais, em raparigas com menos de 20 anos, apresentam um risco muito baixo de malignidade e assim, a preservação do ovário pode ser quase sempre a regra. Contudo, em raparigas ainda não menstruadas cerca de 40% das massas ováricas são malignas. A torção do ovário pode ocorrer em associação com a neoplasia. O uso de marcadores tumorais na avaliação de massas anexiais é uma valiosa ajuda para a exclusão de malignidade. A elevação do marcador tumoral Ca 125, mais associado a tumores epiteliais, na criança esta frequentemente elevado aquando da torção do ovário.(2) Apesar do tumor do ovário ser de tratamento cirúrgico não complexo, a má avaliação inicial e consequente orientação terapêutica podem tornar uma neoplasia maligna de bom prognóstico numa doença grave e com sérias sequelas. Por isso divulgamos a nossa casuística, que, apesar de escassa é diversificada em termos de forma de apresentação clínica, diagnósticos e terapêutica. O tempo que mediou entre o início das queixas e a realização de meios complementares de diagnóstico que justificaram avaliação por um Centro Oncológico especializado não foi alvo de estudo.
MATERIAL E MÉTODOS
Foi feito estudo retrospectivo baseado na consulta do processo clínico das doentes com patologia do ovário, referenciadas ao Serviço de Pediatria do IPO Porto FG. O período analisado foi de nove anos e quatro meses, de Janeiro de 2000 a Abril de 2009. A colheita de dados visou caracterizar a idade, apresentação clínica, resultados analíticos e imagiológicos, diagnóstico histológico, patologias associadas, terapêutica e seguimento.
RESULTADOS
Ao longo do período analisado foram referenciadas 16 doentes com lesões do ovário, com idades entre os cinco e 15 anos, oito das quais com 12 e 13 anos e três com menos de 11 anos. Verificaram-se cinco admissões em 2008, três em 2003, duas em 2002 e em 2003 e uma em cada um dos restantes anos (em 2001, 2004, 2007 e 2009). Das 16 doentes, 10 já tinham menarca na altura do início dos sintomas. As manifestações clínicas encontradas foram: massa abdominal (10/16), dor abdominal (9/16), irregularidades menstruais (4/16), puberdade precoce (1/16), hirsutismo (1/16), obstipação (1/16), diarreia (1/16), polaquiúria (1/16), retenção urinária (1/16) e ascite (1/16). Na avaliação analítica o marcador tumoral β-hCG estava elevado em duas doentes com disgerminoma e o Ca125 estava elevado num caso de torção anexial e num quisto simples do ovário.
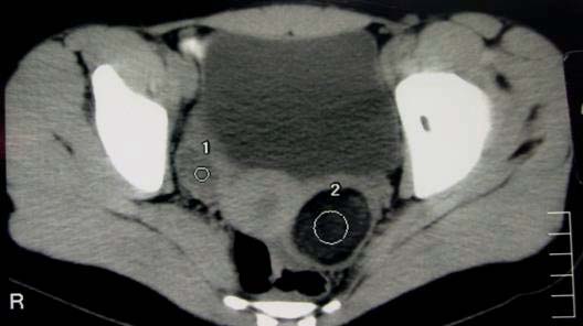
A caracterização imagiológica da lesão permitiu separar em dois grupos de acordo com o componente predominante, sólido ou líquido. Seis doentes possuíam uma lesão tumoral predominantemente quística, com distribuição equitativa pelo lado direito e esquerdo e com dimensões entre 4,7 cm e 20 cm (Figura 1).

Figura 1 - teratoma quístico
Dez doentes revelavam lesões predominantemente sólidas, localizadas preferencialmente à esquerda (6/10) e com tamanhos que variaram entre 5,5 cm e 15 cm.
Em duas doentes, com quisto ovárico simples, com cerca de cinco centímetros, manteve-se atitude expectante e verificou-se regressão espontânea.
Foram submetidas a biópsia por agulha, antes da cirurgia, duas adolescentes de 13 e 15 anos com disgerminoma. Em 12 doentes a abordagem inicial foi cirúrgica. O procedimento cirúrgico efectuado variou de acordo com o tipo de lesão: ooforectomia (7/14), quistectomia (2/14), anexectomia (1/14), anexectomia e vaginostomia (1/14), anexectomia e estadiamento cirúrgico (2/14) e ressecção alargada de massa pélvica com estadiamento cirúrgico (1/14). Na Figura 2 mostram-se algumas das peças operatórias excisadas. Duas doentes foram enviados de outro Hospital, tendo sido já feita uma abordagem cirúrgica inicial, uma ooforectomia para teratoma cístico maduro, que nos foi enviado por suspeita de lesão no ovário contralateral, e outra ooforectomia laparoscópica de tumor maligno.

Figura 2 - A - Disgerminoma sem invasão; B - Disgerminoma com invasão circundante; C e D - Teratoma
A avaliação histológica dos produtos de biópsia e da peça operatória está representada na Tabela 1, assim como os dois quistos simples que sofreram regressão espontânea. A patologia associada, diagnosticada ao longo da investigação, está esquematicamente representada na Tabela 2. De salientar que a adolescente portadora de Síndrome de Swyer com disgerminoma estadio III também apresentava um gonadoblastoma do ovário contralateral. Esta criança e outra portadora de tumor de células de Sertoli-Leydig estadio III realizaram tratamento quimioterápico.
Nove doentes mantiveram vigilância no nosso Hospital, enquanto os restantes foram orientados para seguimento na área de residência.
Tabela 1 - Tipos de lesão encontrados; inclui os obtidos por avaliação histológica assim como os sugeridos por avaliação imagiológica (dois quistos simples)

Tabela 2 - Patologia associada encontrada no decursos da investigação

DISCUSSÃO
As massas ováricas mais frequentes variam de acordo com o grupo etário em que se manifestam(3):
Recém-nascido: quistos foliculares, relacionados com as hormonas maternas e que regridem, no entanto se forem maiores que cinco centímetros podem sofrer torsão;
Rapariga pré-púbere: torsão do ovário, tumor células germinativas (teratomas quisticos benignos), tumor do estroma, metástase (rabdomiossarcoma, tumor de Wilms, neuroblastoma);
Adolescentes: quisto funcional, tumor de células germinativas (teratoma), tumor do estroma, tumor do epitélio (adenoma);
Histologicamente os tumores do ovário têm origem nos três tipos de células que compõem o ovário: células epiteliais, do estroma e germinativas. Ao contrário dos adultos em que os tumores de células epiteliais são os mais comuns, nas crianças predominam os tumores com origem nas células germinativas (teratomas, disgerminomas, coriocarcinomas, tumor do seio endodérmico ). Os tumores do estroma que incluem os tumores da célula de SertoliLeydig e os tumores das células da granulosa são incomuns mas, frequentemente, estão relacionados com puberdade precoce.(4)
Clinicamente as lesões malignas e benignas são indistinguíveis, podem ser assintomáticas e por isso diagnosticadas, apenas, em exames de rotina. Quando sintomáticas, a dor abdominal é a queixa principal, no entanto também pode surgir distensão abdominal, náuseas, vómitos e urgência miccional.(5,6) Em recém-nascidos e lactentes pode ocorrer irritabilidade, recusa alimentar e distensão abdominal. No exame físico a palpação de uma massa pélvica é o achado mais comum.(1) A gonadotrofina coriónica humana (β-hCG) e a α-fetoproteína (AFP) podem estar elevadas nos tumores de células germinativas e o antigénio cancerígeno 125 (Ca125) nos tumores epiteliais.(7,8) O nível sérico de lactato desidrogenase isoenzima 1 (LDH) pode ser usado para monitorizar a resposta a terapêutica dos disgerminomas que são o equivalente feminino dos seminomas testiculares.(4) A ultrassonografia é uma técnica de imagem, não invasiva com um papel muito importante na avaliação inicial destas lesões reconhecendo a presença de uma massa pélvica em 90% dos casos. A abordagem transabdominal proporciona uma boa avaliação da pélvis e das lesões com possível extensão abdominal, não sendo a via transvaginal usada por rotina na pediatria. A possibilidade de uso da técnica Dopller permite a mensuração da velocidade sistólica e diastólica do fluxo sanguíneo, fornecendo uma medida indirecta da resistência vascular. Os neovasos das neoplasias têm uma parede muscular fina e, por isso, uma baixa resistência. No entanto não é possível fazer um diagnóstico definitivo da natureza da lesão com esta técnica. A desvantagem da ultrassonografia reside na baixa penetração no osso e ar, pelo que a sínfise púbica e o ar intestinal podem dificultar a avaliação. A TAC fornece informação importante sobre a extensão do tumor para ao espaço retroperitoneal e gordura. O uso de contraste é usado para delinear o aparelho urinário, gastrointestinal e delimitar lesão. Este exame complementar tem mais utilidade no estadiamento do que no diagnóstico. A RMN ajuda a diferenciar os diferentes tipos de tecido, penetra no osso e fornece imagens em vários planos, com uso de contraste não tóxico, por isso é um exame complementar importante para identificar lesões no tecido mole não acessíveis por outras técnicas.(9)
A atitude a tomar depende do tipo de lesão e da idade da criança. Em recém-nascidos, vários estudos indicam que lesões quísticas com menos de cinco centímetros regridem espontaneamente até ao fim do primeiro ano de vida, pelo que nestas situações a vigilância clínica e ecográfica é preferida. Se se tornam sintomáticas, persistentes ou se há incertezas quanto à sua natureza devem ser retiradas. Na adolescente o tratamento dos quistos simples depende do tamanho, da presença de sintomas e do risco de torsão.
As crianças com suspeita de tumor do ovário devem ser referenciadas para um Centro Oncológico especializado de modo a realizar um estadiamento adequado que pode envolver uma biopsia aspirativa, biopsia cuneiforme, laparoscopia diagnóstica ou terapêutica e, se necessário laparotomia exploradora com cuidada inspecção de toda a cavidade abdominal e eventual estadiamento cirúrgico da doença. A presença de ascite, massas no epiplon, adenopatias aorto ilíacas, massa ovárica contralateral, envolvimento extra-axial, massas com mais de oito centímetros de diâmetro e vegetações intraquísticas são algumas das características que podem predizer uma natureza maligna, a qual, se encontrada, deve ser excisada, e feito o estadiamento cirúrgico (anexectomia, colheita de liquido peritoneal, biópsia das superfícies peritoneais, omentectomia, biópsia do ovário contralateral e biópsia dos gânglios).(10)
O tratamento do tumor benigno mais frequente, teratoma benigno quístico, é a quistectomia com preservação do ovário sempre que possível. O tratamento quimioterápico, do tumor maligno, varia de acordo com o tipo histológico e estadiamento.
CONCLUSÃO
As massas anexiais, na criança e adolescentes, quando tumorais são frequentemente benignas. No entanto no nosso estudo, cerca de 60% dos doentes tinham lesões tumorais que, sendo raras, justificam uma orientação multidisciplinar, com o envolvimento do centro oncológico pediátrico.
De acordo com a literatura, foram identificadas duas lesões tumorais malignas com origem na célula germinativa que, ao contrário dos tumores epiteliais do adulto, são mais frequentes na criança e adolescente. Também se diagnosticou uma lesão maligna com origem no estroma e não associado a puberdade precoce em criança de cinco anos.
Na nossa casuística também foi possível identificar quatro doentes com malformações/síndromes não diagnosticados anteriormente (útero didelfos, síndrome do ovário poliquístico, síndrome de Mayer-Rokitansky, síndrome de Swyer).
Os Pediatras devem estar sensibilizados para a abordagem da patologia do ovário, com a qual se prevê que sejam mais vezes confrontados, no contexto do alargamento da idade de atendimento em Pediatria até aos 18 anos.
BIBLIOGRAFIA
1. Templeman CL, Fallat ME. Benign ovarian masses. Semin Pediatr Surg 2005; 14: 93-9. [ Links ]
2. Heller DS. Diseases manifesting in the upper genital tract in children and adolescents: a review. J Pediatr Adolesc Gynecol 2006; 19:3-9. [ Links ]
3. Von Allmen D. Malignant lesions of the ovary in childhood. Semin Pediatr Surg 2005; 14:100-5. [ Links ]
4. Lanzkowsky P. Manual of Pediatric Hematology and Oncology 4th ed. Elsevier, 2005:645-60. [ Links ]
5. McCarthy JD, Erickson KM. Premenarchal ovarian mass with elevated Ca125. J Pediatr Adolesc Gynecol 2008; 21. [ Links ]
6. Hayes-Jordan A. Surgical management of incidentally identified ovarian mass. Semin Pediatr Surg 2005; 14:106-10. [ Links ]
7. Cass DL. Ovarian torsion. Semin Pediatr Surg 2005; 14: 86-92. [ Links ]
8. Quero-Hernández A, Estrada-Correa R, Tenorio-Rodríguez H, Álvarez-Solís R. Tumor de células germinales de ovario: características clínicas y resultados del tratamiento. Cir Ciruj 2007; 75: 81-5. [ Links ]
9. Emans SJ, Laufer RM, Goldstein DP. Pediatric and Adolescent Gynecology 5th ed. Philadelphia: Lippincott Williams & Wilkins, 2005: 1-50. [ Links ]
10. Stepanian M, Cohn ED. Gynecologic J Pediatr Adolesc Gynecol. Malignancies in adolescents. Adolesc Med 2004; 15: 549-68. [ Links ]
11. Boyle KJ, Torrealday S. Benign gynecologic conditions. Surg Clin N Am 2008; 88: 245-64. [ Links ]
Marisa Carvalho: miacarvalho@yahoo.com













