Serviços Personalizados
Journal
Artigo
Indicadores
-
Citado por SciELO -
Acessos
Links relacionados
-
Similares em
SciELO
Compartilhar
Portuguese Journal of Nephrology & Hypertension
versão impressa ISSN 0872-0169
Port J Nephrol Hypert vol.32 no.3 Lisboa set. 2018
CASE REPORT
Intestinal obstruction in a patient on chronic hemodialysis
Miguel Bigotte Vieira, Marta Pereira, Cristina Pinto de Abreu
Serviço de Nefrologia e Transplantação Renal, Centro Hospitalar Lisboa Norte, Portugal
ABSTRACT
Encapsulating peritoneal sclerosis (EPS) is an uncommon but serious complication of peritoneal dialysis (PD). We present a case report of EPS and a brief description of the disease.
A previously stable 47‑year‑old male patient on hemodialysis (HD) presented to the hospital with weight loss, fever, anorexia, increased abdominal volume, anemia, increased inflammatory markers, septated hemoperitoneum, and peritoneal thickening on imaging. The patient had previously been on PD for 8 years and had 7 peritonitis episodes caused by different microorganisms. Note that the patient had a previous history of multiple vascular access failure and presented poor habitational conditions and socioeconomic status. He had been transferred from PD to HD five months earlier due to hypervolemia. A diagnosis of EPS was considered. Treatment was initiated with regular peritoneal lavage, nutritional support, oral prednisolone, and tamoxifen. The patient presented complete resolution of the symptoms and regularization of inflammatory markers. Two months later he presented to the emergency room with intestinal obstruction, and surgical enterolysis with debridement of the thick cocoon of fibrous tissue was performed. However, the patient presented several complications and died two months after admission. In conclusion, a high index of clinical suspicion of EPS in susceptible patients is necessary as the disease is infrequent and may be fatal. A greater awareness of EPS may lead to earlier or increased diagnosis rates in milder cases. This case report highlights the importance of implementing preventive measures in patients with several risk factors for EPS and considering an EPS diagnosis in a patient that is no longer on PD.
Keywords: Encapsulating peritoneal sclerosis, peritoneal dialysis, peritoneal fibrosis
INTRODUCTION
Encapsulating peritoneal sclerosis (EPS) is an uncommon but serious complication of peritoneal dialysis (PD).1-3 The incidence of EPS in PD patients has been reported to be between 0.7% and 7.3%.2 Mortality rate varies depending on case series but has been reported to be as high as 69%.2 The majority of deaths occur due to intestinal obstruction or surgery complications.3
The recognition of EPS is challenging as definitive diagnosis requires the presence of clinical features resulting from intestinal encapsulation plus the detection of peritoneal membrane thickening revealed by imaging techniques or laparoscopy/laparotomy.4,5 The prognosis without treatment is ominous. Since EPS is uncommon, there is a lack of evidence regarding treatment. We present a case report of EPS in a patient on hemodialysis (HD) that had previously been on PD, and a brief description of this disease.
CASE REPORT
A previously stable 47‑year‑old Angolan black male patient presented to the emergency room (ER). The patient had a history of stage 5 chronic kidney disease due to autosomal dominant polycystic kidney disease.
Hemodialysis (HD) was started at age 32 in Angola and maintained for 6 years. During this period multiple thrombosis of HD vascular accesses occurred and non‑tunneled HD catheters were consecutively implanted in central veins. The complex HD vascular access situation led to medical evacuation to Portugal with a non‑tunneled HD catheter at the left femoral vein. A computed tomography angiography documented chronic thrombosis of the right external iliac vein and superior vena cava caliber reduction with collateral circulation compatible with superior vena cava syndrome. Peritoneal dialysis was proposed and initiated. Of concern, the patient presented poor habitational conditions and socioeconomic status as he was living alone in a bedroom with a bathroom presenting poor hygiene conditions.
The patient was initially started on continuous ambulatory peritoneal dialysis (CAPD) with 4 exchanges per day and later transitioned to continuous cyclic peritoneal dialysis (CCPD). Automated PD treatment included four short nighttime dwells of a total of 10 L 2.27% glucose solution, one long daytime dwell of 2 L of icodextrin solution, and an additional daytime exchange of 2 L of 2.27% solution at 6 pm (PD Plus). The initial peritoneal equilibration test revealed adequate aquaporin channelmediated water transport (corrected free water transport = 43.8%), and high‑average membrane transport type (dialysate‑to‑plasma ratio [D/P] of creatinine = 0.79).
While patient was on PD, hepatitis C virus infection was diagnosed, treated, and cured. The patient underwent bilateral nephrectomy due to metachronous kidney cancer in 2011 and 2013. The patient presented five relapsing Pseudomonas aeruginosa exit‑site infections of the peritoneal dialysis catheter in 2014 which were successfully treated with cuff‑shaving of the peritoneal dialysis catheter and antibiotic treatment including ciprofloxacin and gentamicin. Of note, the patient also presented 7 peritonitis episodes.
In March 2011 due to Aeromonas hydrophila; in November 2011 due to Streptococcus pneumoniae; in 2012 due to Streptococcus agalactiae and Klebsiella pneumoniae; in May 2014 due to Klebsiella oxytoca and Aeromonas hydrophila; in August 2014 due to Aeromonas hydrophila, Citrobacter freundii, Enterobacter cloacae, and Serratia marcescens; and in November 2014 due to Staphylococcus capitis and Micrococcus sp.. An abdominal computerized tomography (CT) was performed and showed no abnormalities. Taking into consideration that the three peritonitis episodes in 2014 were polymicrobial, with gram positive and negative agents isolated, an enteric source due to bacterial translocation was admitted and rifaximin (200 mg every 8 h) was started as a preventive measure to enteric peritonitis. As the patient did not present constipation, laxatives were not started as a peritonitis preventive measure. Following initiation of rifaximin the patient did not suffer another peritonitis episode until December 2016 when he presented the 7th peritonitis episode.
There was no pathogen identified and it was rapidly and effectively treated with empiric antibiotherapy including vancomycin, ceftazidime, and gentamicin. In one of the peritonitis episodes a tear in the peritoneal dialysis catheter was detected. The patient was instructed at each hospital visit about the most common PD errors and was retrained during admission for each episode of peritonitis. A household visit was also performed after each peritonitis episode. Despite the history of successive peritonitis the patient was not transferred to HD due to his previous history of multiple vascular access failure. Renal transplantation was considered but, as he had presented metachronous kidney cancer, a cancer‑free interval was needed for inclusion on the kidney transplant list.
Over the years the patient progressively presented higher peritoneal solute transport and lower ultrafiltration.
The most recent peritoneal equilibration test revealed the following results: ultrafiltration of 480 mL after a 4‑hour dwell of a 2 L 3.86% glucose solution; impaired aquaporin channel‑mediated water transport (corrected free water transport = 19.5%) and transition to high membrane transport type ([D/P] of creatinine = 0.96). At the 7th year of PD, the patient presented with a right pleural effusion. Hypervolemia was considered as it regressed with ultrafiltration intensification during hospitalization. As soon as the patient was discharged from hospital, right pleural effusion recurred. Patient burnout along with low adherence to hydrosaline restriction were considered and transition from PD to HD was proposed again. At the angiography suite a tunneled central venous catheter was inserted at the left internal jugular vein and he was transferred to HD. Peritoneal dialysis catheter was buried under the skin due to the probable need of PD in the future. As the patient was no longer on PD, rifaximin was stopped.
The patient performed HD at an outpatient clinic, four hours per session of diurnal thrice‑weekly high‑flux HD. Five months after initiating HD, the patient presented a history of sustained fever (38.5ºC), anorexia, and progressively worsening anemia for two weeks.
As a hemodialysis catheter‑related infection was suspected, blood cultures were collected and empirical antibiotherapy with vancomycin and ceftazidime was initiated during HD sessions. A few days later, abdominal volume increased despite the absence of nausea or vomiting and the patient presented to the ER. On examination, the abdomen was soft, distended, tender to palpation, and without reflex tenderness. His weight was 61 kg. Blood analysis showed raised inflammatory markers (leukocytes 4.10 x 10^9; neutrophils 73.6%; C‑reactive protein 18.5mg/dL [<0.5 mg/dL]; procalcitonin 2.10 ng/mL [<0.5 ng/mL]). Complete blood count and coagulation tests were normal. Peritoneal fluid cultures were negative, including aerobic, fungal, and mycobacterial cultures. Blood cultures were negative and interferon‑gamma release assay (IGRA) was indeterminate.
Serologies for HIV ½ and hepatitis B were negative. Anti‑HCV antibody was positive, with a negative HCV‑RNA.
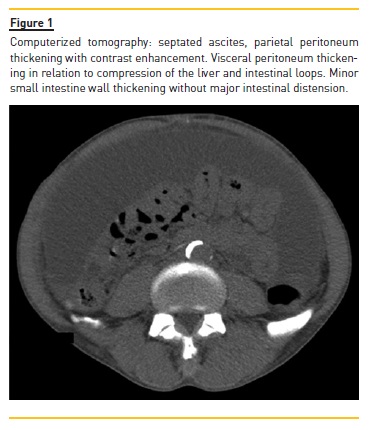
Ultrasonography showed septated echogenic non‑pure ascites. Computerized tomography showed septated ascites, visceral peritoneal thickening of the intestinal loops with contrast enhancement, and minor small intestine wall thickening without major intestinal distension (Figure 1). Peritoneal fluid obtained by paracentesis presented a bloody appearance. A peritoneal total and differential fluid cell count showed increased leukocytes (880 /uL) with predominant mononuclear cells (51.6%; 675 /μL) and raised erythrocytes (58000 /uL), and the chemical analysis was compatible with an exudate (proteins 5.4 g/dL, LDH 289 U/L, amylase 66 U/L, glucose 58 mg/dL).
In summary, a previously stable male HD patient presented to the hospital with fever, anorexia, increased abdominal volume, worsening anemia, increased inflammatory markers, septated ascites, and visceral peritoneal thickening of the intestinal loops. The embedded PD catheter was exteriorized and hemoperitoneum was confirmed. Thus, a diagnosis of EPS was considered. Treatment was initiated with daily peritoneal lavage, oral nutritional support, oral prednisolone 0.5 mg/kg/day (6 days), and tamoxifen 20 mg every 12 h. The patient presented complete resolution of the symptoms and regularization of inflammatory markers over the following days. A second CT showed less peritoneal contrast enhancement, less heterogeneity of the intraperitoneal fluid, disappearance of septated ascites, and persistence of minor small intestine thickening (Figure 2).). Despite losing weight during admission, the patient recovered appetite and was discharged on oral prednisolone and tamoxifen, with 58.2 kg. The patient received nutritional counseling from a dietician at the hemodialysis clinic, initiated a hypercaloric diet and his condition was regularly evaluated.
However, two months later, the patient presented anorexia associated with regular nausea, vomit episodes, and weight loss (54.2 kg). A gastroduodenal endoscopy revealed esophagitis and gastric stasis and a contrast gastrointestinal study was then performed.
The stomach and proximal small intestine were distended, whereas the terminal ileum caliber was preserved. It was not possible to determine with certainty the transition zone between distended and regular caliber intestine.
As intestinal obstruction due to EPS was considered, surgical enterolysis and debridement of the thick cocoon of fibrous tissue were performed without complications.
However, 48 h following surgery, the patient presented severe upper gastrointestinal bleeding. An endoscopy allowed sclerosis of the bleeding vessel and he was admitted to the intensive care unit with hypovolemic shock. Intestinal ischemia supervened, and he was submitted to a second surgery, including a right hemicolectomy and an ileostomy. During the following weeks he presented several complications including peritonitis, septic shock, and recurrent cardiopulmonary arrest episodes. The patient died two months after admission.
DISCUSSION
Encapsulating peritoneal sclerosis is also known as abdominal cocoon or sclerosing encapsulating peritonitis.4 This disease was first described in 1980.1
Encapsulating peritoneal sclerosis consists of a chronic inflammatory process that diffusely affects the peritoneum.
The peritoneum progressively becomes thicker due to fibrosis. Membrane thickening, scarring, and adhesions may encapsulate the small intestine and originate intestine obstruction.6 This case report highlights the importance of considering EPS diagnosis in a patient that is no longer on PD.
A two‑hit hypothesis has been proposed as the pathophysiology of EPS. Chronic exposure of the peritoneal membrane to PD may constitute the first hit. Peritonitis or another acute intra‑abdominal Event may represent the second hit, disrupting the peritoneal membrane.5 The differential diagnosis of EPS includes mesothelioma, tuberculosis peritonitis, carcinomatosis, and post‑transplant small intestine lymphoma.5 The mechanisms involved in the development of EPS are complex and include dysregulation of growth factors.
It is believed that glucose and glucose degradation products contained in the dialysate may play a role in peritoneal deterioration and stimulate transforming growth factor‑β and vascular endothelial growth factor production. Plasminogen activator inhibitor type 1 is also increased, leading to reduced breakdown of fibrin.5
Tumor necrosis factor and interleukin 1 increase and tissue fibrosis ensues.7
This disease is not restricted to PD patients. It has also been described in patients with other diseases, such as systemic autoimmune diseases, gastrointestinal tract diseases, and peritoneal and intra‑abdominal malignancies.5
In PD patients, the most important risk factor for EPS is duration of treatment, especially after 5 years on PD.5,6 However, the majority of long‑ term PD patients will not develop EPS.8 Other risks factors include younger age, the use of acetate as a dialysate buffer, the use of chlorhexidine as skin disinfectant in exit‑site care, beta‑blocker therapy, severe PD peritonitis (particularly due to Staphylococcus aureus, Pseudomonas, Enterococcus), dialysate glucose exposure, and discontinuation of PD.5,6,9 Our patient had various EPS risk factors, namely, relatively young age, no residual renal function, a long duration of PD treatment (8 years) and recent discontinuation of PD treatment.
Preventive measures have been suggested, including minimizing glucose exposure, reducing peritonitis rates, prescribing biocompatible PD fluids and considering preemptively discontinuing PD after some years of treatment (e.g. 8 years).5,10 Nevertheless, there is not enough evidence to support a single rule concerning length of time on PD. Thus, current guidelines do not recommend preemptively withholding PD.8,11 Our patient was on PD for a long time; 8 years. He was not transferred to HD before due to multiple vascular access failure. In fact, the only non‑occluded central vein amenable to catheterization was the left external jugular vein, where a tunneled catheter was inserted. He was also not admitted to the renal transplantation waiting list, as a cancer‑free interval had not been achieved.
Encapsulating peritoneal sclerosis is suspected in a patient with insidious clinical features resulting from intestinal encapsulation and characteristic CT or ultrasonographic imaging findings. The definitive diagnosis is obtained by peritoneal biopsy either with laparoscopy or laparotomy.12 Patients on PD may initially evolve to progressive loss of ultrafiltration and increase in small solute peritoneal transport, resulting in fluid retention and edema. They may also later present early satiety, abdominal pain, abdominal mass, ascites, nausea, vomiting, loss of appetite, weight loss, constipation, diarrhea, fatigue, fever, and bloody dialysate.4,5 Laboratory determinations may show raised inflammatory markers.
Imaging options include ultrasonography and CT, which has been shown to have a low positive predictive value in screening PD patients for EPS.13 However, CT is the preferred imaging technique for EPS diagnosis and for disease monitoring. Peritoneal thickening can be recognized by peritoneal enhancement after CT intravenous contrast.5,13 Peritoneal calcification, loculated fluid collections, tethering of the small intestine, and intestine wall thickening may also be observed.9 Magnetic resonance imaging is not recommended as it carries the risk of nephrogenic systemic fibrosis and does not effectively discriminate peritoneal calcification.5,6
A greater awareness of EPS may lead to earlier or increased diagnosis rates in milder cases.2,8
At the end of PD treatment, our patient was hypervolemic, including right pleural effusion that initially regressed with ultrafiltration intensification and recurred as soon as hydrosaline restriction diminished.
This was the main reason for transition to HD. He also presented impaired aquaporin channel‑mediated water transport and transitioned to high membrane transport type. Retrospectively these might have been the earlier signs of peritoneal membrane dysfunction. Encapsulating peritoneal sclerosis was considered as the patient presented fever, anorexia, increased abdominal volume, worsening anemia, increased inflammatory markers, septated ascites, and visceral peritoneal thickening of the intestinal loops.
As EPS can develop some time after transitioning to HD, patients should be monitored for clinical features suggestive of this disease. Although there is no evidence that regular screening of long‑term PD patients by radiology techniques can detect presymptomatic EPS or beneficially alter PD management, strategies to promote surveillance of EPS may include providing patients at the time of transition to HD with information leaflets about the disease and periodic education of nephrologists to raise awareness about EPS.8,11 We also hypothesize that these patients could be regularly followed at the PD clinic after transition from PD to another technique, at least initially during the first year. This could potentially shorten the amount of time between the appearance of the first symptoms and the diagnosis of EPS.
Treatment options include PD cessation with transfer to HD, regular peritoneal lavage, intestinal rest with total parenteral nutrition, drug therapy, and surgery.9
Tamoxifen is a selective estrogen receptor modulator, which also influences the activity of TFG‑β.
It is mainly used in patients with breast cancer but has also been shown to be effective in fibrotic diseases such as retroperitoneal fibrosis and Riedels thyroiditis.14 Tamoxifen is usually concurrently used with glucocorticoids and doses vary between 10 and 40 mg per day. Treatment is initiated at diagnosis of EPS and the duration of treatment has not been well defined. Satisfactory outcomes following the use of tamoxifen in the treatment of EPS have been reported in small series.7,15 A large retrospective Dutch study has demonstrated reduced mortality in EPS patients treated with tamoxifen (45.8%) compared to patients not treated with tamoxifen (74.4%).14 Treatment has generally been well tolerated and the most frequent side effects include hot flushes, nausea, or fatigue.16 As tamoxifen presents a prothrombotic effect, patients may benefit from concurrent antiplatelet therapy to reduce the risk of clot formation.16 The use of tamoxifen as a preventive measure for EPS has been reported but further studies are warranted.16,17
Nevertheless, the role of immunosuppression (e.g. prednisolone or azathioprine) or antifibrotic therapy (e.g. tamoxifen) is not established as EPS is uncommon and there is a lack of evidence regarding treatment.
Some authors also suggest other pharmacological strategies to ameliorate peritoneal membrane function and possibly reduce fibrosis, such as angiotensin converting enzyme inhibitors and mTOR inhibitors.7,18,19 Surgery is mandatory in cases of intestinal obstruction. Enterolysis seems to be the best surgical technique and has improved the disease prognosis, which is ominous without treatment.8,20
In our patient, the exteriorization of the PD catheter that was previously buried in the abdominal wall allowed regular peritoneal lavage. This procedure might have been beneficial in removing mediators of the inflammatory and fibrotic peritoneal process.8 Also, tamoxifen and prednisolone might have contributed to the initial favorable evolution of the patient. However, considering that two months later the patient presented clinical deterioration and intestinal obstruction, surgical enterolysis and debridement of the thick cocoon of fibrous tissue were performed. Although there were no immediate complications after surgery, the patient presented multiple sequential medical problems and died two months after admission.
In conclusion, as EPS is a devastating complication of PD with a high mortality rate, preventive measures should be implemented in patients with several risk factors for the disease.1,9 The risks and benefits of each measure should be clearly explained to patients to maximize treatment compliance. Even though the evidence to date is not definitive, we consider that tamoxifen can be used prophylactically in PD patients that are neither candidates for HD, due to multiple vascular access failure, nor for kidney transplantation.17 We believe this may allow longer PD treatment duration with a reduction in the risk of EPS. Finally, a high index of clinical suspicion of EPS in susceptible patients is necessary as the disease is uncommon and may develop insidiously.
References
1. Brown MC, Simpson K, Kerssens JJ, Mactier RA, Scottish Renal Registry. Encapsulating peritoneal sclerosis in the new millennium: a national cohort study. Clin J Am Soc Nephrol. 2009 Jul;4(7):12229. [ Links ]
2. Kawanishi H, Kawaguchi Y, Fukui H, Hara S, Imada A, Kubo H, et al. Encapsulating peritoneal sclerosis in Japan: a prospective, controlled, multicenter study. Am J Kidney Dis. 2004 Oct;44(4):72937. [ Links ]
3. Nomoto Y, Kawaguchi Y, Kubo H, Hirano H, Sakai S, Kurokawa K. Sclerosing encapsulating peritonitis in patients undergoing continuous ambulatory peritoneal dialysis: a report of the Japanese Sclerosing Encapsulating Peritonitis Study Group. Am J Kidney Dis. 1996 Sep;28(3):4207. [ Links ]
4. Burkart JM, Henrich WL. Problems with solute clearance and ultrafiltration in continuous peritoneal dialysis [Internet]. Uptodate. 2017 [cited 2016 Sep 1]. Available from: https://www.uptodate.com/contents/problems‑with‑solute‑clearance‑and‑ultrafiltration‑in‑continuous‑peritoneal‑dialysis/print?source=search_result&search=sclerosing% [ Links ]
5. Augustine T, Brown PW, Davies SD, Summers AM, Wilkie ME. Encapsulating peritoneal sclerosis: clinical significance and implications. Nephron Clin Pract. 2009 Jan;111(2): c14954; discussion c154. [ Links ]
6. Rigby RJ, Hawley CM. Sclerosing peritonitis: the experience in Australia. Nephrol Dial Transplant. 1998 Jan;13(1):1549. [ Links ]
7. Moinuddin Z, Summers A, Van Dellen D, Augustine T, Herrick SE. Encapsulating peritoneal sclerosis‑a rare but devastating peritoneal disease. Front Physiol. 2014;5:470. [ Links ]
8. Brown EA, Van Biesen W, Finkelstein FO, Hurst H, Johnson DW, Kawanishi H, et al. Length of time on peritoneal dialysis and encapsulating peritoneal sclerosis: position paper for ISPD. Perit Dial Int. 2009 Nov;29(6):595600. [ Links ]
9. Johnson DW, Cho Y, Livingston BER, Hawley CM, McDonald SP, Brown FG, et al. Encapsulating peritoneal sclerosis: incidence, predictors, and outcomes. Kidney Int. 2010 May;77(10):90412. [ Links ]
10. Kawaguchi Y, Saito A, Kawanishi H, Nakayama M, Miyazaki M, Nakamoto H, et al. Recommendations on the management of encapsulating peritoneal sclerosis in Japan, 2005: diagnosis, predictive markers, treatment, and preventive measures. Perit Dial Int. 2005 Apr;25(4):S8395. [ Links ]
11. Brown EA, Bargman J, van Biesen W, Chang M‑Y, Finkelstein FO, Hurst H, et al. Length of Time on Peritoneal Dialysis and Encapsulating Peritoneal Sclerosis Position Paper for ISPD: 2017 Update. Perit Dial Int. 2017 Jul;37(4):36274. [ Links ]
12. Nakamoto H. Encapsulating peritoneal sclerosisa clinicians approach to diagnosis and medical treatment. Perit Dial Int. 2005 Apr;25(4):S308. [ Links ]
13. Tarzi RM, Lim A, Moser S, Ahmad S, George A, Balasubramaniam G, et al. Assessing the validity of an abdominal CT scoring system in the diagnosis of encapsulating peritoneal sclerosis. Clin J Am Soc Nephrol. 2008 Nov;3(6):170210. [ Links ]
14. Korte MR, Fieren MW, Sampimon DE, Lingsma HF, Weimar W, Betjes MGH, et al. Tamoxifen is associated with lower mortality of encapsulating peritoneal sclerosis: results of the Dutch Multicentre EPS Study. Nephrol Dial Transplant. 2011 Feb;26(2):6917. [ Links ]
15. del Peso G, Bajo MA, Gil F, Aguilera A, Ros S, Costero O, et al. Clinical experience with tamoxifen in peritoneal fibrosing syndromes. Adv Perit Dial. 2003;19:325. [ Links ]
16. Guest S. Tamoxifen therapy for encapsulating peritoneal sclerosis: mechanism of action and update on clinical experiences. Perit Dial Int. 2009 May;29(3):2525. [ Links ]
17. De Sousa‑Amorim E, Del Peso G, Bajo MA, Alvarez L, Ossorio M, Gil F, et al. Can EPS development be avoided with early interventions? The potential role of tamoxifena single‑center study. Perit Dial Int. 2014 Sep;34(6):58293. [ Links ]
18. Ghadimi M, Dashti‑Khavidaki S, Khalili H. mTOR inhibitors for management of encapsulating peritoneal sclerosis: a review of literatures. Ren Fail. 2016 Nov;38(10):157480. [ Links ]
19. Kolesnyk I, Dekker FW, Noordzij M, le Cessie S, Struijk DG, Krediet RT. Impact of ACE inhibitors and AII receptor blockers on peritoneal membrane transport characteristics in long‑term peritoneal dialysis patients. Perit Dial Int. 2007 Jul;27(4):44653. [ Links ]
20. Kawanishi H, Banshodani M, Yamashita M, Shintaku S. SURGICAL TREATMENT FOR ENCAPSULATING PERITONEAL SCLEROSIS: 24 YEARS EXPERIENCE. Perit Dial Int [Internet]. 2018 Jul 10; Available from: http://dx.doi.org/10.3747/pdi.2018.00042 [ Links ]
Miguel Bigotte Vieira, MD
Serviço de Nefrologia e Transplantação Renal, Centro Hospitalar
Lisboa Norte, Av. Prof. Egas Moniz, 1649‑035
Lisboa, Portugal.
E‑mail: mbigottevieira@gmail.com
Disclosure of potential conflicts of interest: none declared.
Received for publication: Aug 6, 2018
Accepted in revised form: Sep 26, 2018













